Recombinant Human EGF Protein, CF Summary
- R&D Systems E. coli-derived Recombinant Human EGF Protein (236-EG)
- Quality control testing to verify active proteins with lot specific assays by in-house scientists
- All R&D Systems proteins are covered with a 100% guarantee
Product Specifications
Asn971-Arg1023, with an N-terminal Met
Analysis
Product Datasheets
236-EG
Carrier Free
CF stands for Carrier Free (CF). We typically add Bovine Serum Albumin (BSA) as a carrier protein to our recombinant proteins. Adding a carrier protein enhances protein stability, increases shelf-life, and allows the recombinant protein to be stored at a more dilute concentration. The carrier free version does not contain BSA.
In general, we advise purchasing the recombinant protein with BSA for use in cell or tissue culture, or as an ELISA standard. In contrast, the carrier free protein is recommended for applications, in which the presence of BSA could interfere.
236-EG
Formulation | Lyophilized from a 0.2 μm filtered solution in PBS. |
Reconstitution | Reconstitute at 500 μg/mL in sterile PBS. |
Shipping | The product is shipped at ambient temperature. Upon receipt, store it immediately at the temperature recommended below. |
Stability & Storage: | Use a manual defrost freezer and avoid repeated freeze-thaw cycles.
|
Scientific Data

Recombinant Human EGF Protein (Catalog # 236-EG) has a molecular weight (MW) of 6.7 kDa as analyzed by SEC-MALS, suggesting that this protein is a monomer.

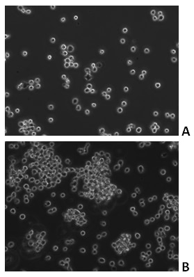
Recombinant Human EGF (Catalog # 236‑EG) stimulates cell proliferation of the Balb/3T3 mouse embryonic fibroblast cell line. The ED50 for this effect is 20‑100 pg/mL.

1 µg/lane of Recombinant Human EGF was resolved with SDS-PAGE and visualized by silver staining under reducing (R) conditions, showing a single band at 6 kDa.

iPSC-derived human intestinal organoids were cultured using Cultrex™ UltiMatrix RGF Basement Membrane Extract (BME001-05) and intestinal organoid culture medium, which includes Recombinant Human EGF (Catalog # 236-EG), Recombinant Human Noggin (6057-NG), Recombinant Human R-Spondin 1 (4645-RS), and Recombinant Human Wnt-3a (5036-WN), along with the other reagents listed in the intestinal organoid culture medium recipe in the human intestinal organoid culture protocol. (A) Human intestinal organoids were stained using a Rat Anti-Human/Mouse/Rat Vimentin Monoclonal Antibody (MAB2105; green) and a Goat Anti-Human/Mouse Desmin Antigen Affinity-purified Polyclonal Antibody (AF3844; red) to visualize myofibroblast cells and counterstained with DAPI (5748; blue). (B) Human intestinal organoids were stained using a Goat Anti-Human/Mouse E-Cadherin Antigen Affinity-purified Polyclonal Antibody (AF748; green) and a Mouse Anti-Human MUC2 Monoclonal Antibody (Novus Biologicals, Catalog # NBP2-44431; red) and counterstained with DAPI (5748; blue).

Adult stem cells isolated from human descending colon were embedded in Cultrex UltiMatrix RGF Basement Membrane Extract (BME001-05) and cultured for 30 days in intestinal organoid culture medium, which includes Recombinant Human EGF (Catalog # 236-EG), Recombinant Human Noggin (6057-NG), Recombinant Human R-Spondin 1 (4645-RS), and Recombinant Human Wnt-3a (5036-WN), along with the other reagents listed in the intestinal organoid culture medium recipe in the human intestinal organoid culture protocol. (A) Organoids were fixed and stained with a Mouse Anti-Human MUC2 Monoclonal Antibody (Novus Biologicals; Catalog # NBP2-44431; green) to visualize intestinal goblet cells and counterstained with a Goat Anti-Human/Mouse E-Cadherin Antigen Affinity-purified Polyclonal Antibody (AF748; red) and DAPI (5748; blue). The image shown was taken at 10x magnification. (B) Organoids were fixed and stained with a Mouse Anti-Human Chromogranin A Monoclonal Antibody (MAB90981; green) to visualize enteroendocrine cells and counterstained with a Goat Anti-Human/Mouse E-Cadherin Antigen Affinity-purified Polyclonal Antibody (AF748; red) and DAPI (5748; blue). The image shown was taken at 20x magnification.

D3 mouse embryonic stem cells were expanded in KO-ES Media supplemented with Bovine Fibronectin Protein (1030-FN) to support cell attachment and spreading, the ITS and N-2 Plus Media Supplements (AR013 and AR003), and a panel of growth factors for effective oligodendrocyte differentiation, including Recombinant Human FGF-basic, Recombinant Human EGF (Catalog # 236-EG), and Recombinant Human PDGF-AA (221-AA). Oligodendrocytes were detected using a Mouse Anti-Human/Mouse/Rat/Chicken Oligodendrocyte Marker O4 Monoclonal Antibody (MAB1326). The cells were stained with the NorthernLights™-557 Affinity-purified Goat Anti-Mouse IgM Secondary Antibody (NL019; red). The nuclei were counterstained with DAPI (5748;blue).
Background: EGF
Epidermal growth factor (EGF) is a small, potent growth factor capable of inducing cell proliferation, differentiation, and survival. EGF is the founding member of the EGF family that also includes TGF-alpha, amphiregulin (AR), betacellulin (BTC), epiregulin (EPR), heparin‑binding EGF‑like growth factor (HB‑EGF), epigen, and the neuregulins (NRG)-1 through -6 (1). Members of The EGF family are characterized by a shared structural motif, the EGF‑like domain, which contains three intramolecular disulfide bonds that are formed by six similarly spaced, conserved cysteine residues (2). These disulfide bonds are essential for proper protein conformation and receptor binding. All EGF family members are synthesized as type I transmembrane precursor proteins that may contain several EGF domains in the extracellular region. The mature proteins are released from the cell surface by regulated proteolysis (1). The full length EGF protein is 1207 amino acids (aa) (EGF precursor) containing nine EGF domains and nine LDLR class B repeats. However, the mature protein is much smaller, only 53 aa, and is generated by proteolytic cleavage of the EGF domain proximal to the transmembrane region (3). EGF is well conserved across mammals with mature human EGF 70% identical to mature mouse and rat EGF. Physiologically, EGF is found in various body fluids, including blood, milk, urine, saliva, seminal fluid, pancreatic juice, cerebrospinal fluid, and amniotic fluid (4). EGF is a high affinity ligand of the EGF receptor (ErbB). Four ErbB (HER) family receptor tyrosine kinases including EGFR/ErbB1, ErbB2, ErbB3 and ErbB4, mediate responses to EGF family members (5). EGF binding induces dimerization of the EGF receptor resulting in activation of the protein tyrosine kinase signaling pathway. These receptors undergo a complex pattern of ligand-induced homo- or hetero-dimerization to transduce EGF family signals (6, 7). EGF binds ErbB1 and depending on the context, induces the formation of homodimers or heterodimers containing ErbB2. Dimerization results in autophosphorylation of the receptor at specific tyrosine residues to create docking sites for a variety of signaling molecules (5, 8). Biological activities ascribed to EGF include epithelial development, angiogenesis, inhibition of gastric acid secretion, fibroblast proliferation, and colony formation of epidermal cells in culture.
- Harris, R.C. et al. (2003) Exp. Cell Res. 284:2.
- Carpenter, G. and Cohen, S. (1990) J. Biol. Chem. 265:7709.
- Bell, G.I. et al. (1986) Nucl. Acids Res. 14:8427.
- Carpenter, G. and Zendegui, J.G. (1986) Exp. Cell Res. 164:1.
- Jorissen, R.N. et al. (2003) Exp. Cell Res. 284:31.
- Gamett, D.C. et al. (1997) J. Biol. Chem. 272:12052.
- Qian, X. et al. (1994) Proc. Natl. Acad. Sci. 91:1500.
- Qian, X. et al. (1999) J. Biol. Chem. 274:574.
Citations for Recombinant Human EGF Protein, CF
R&D Systems personnel manually curate a database that contains references using R&D Systems products. The data collected includes not only links to publications in PubMed, but also provides information about sample types, species, and experimental conditions.
903
Citations: Showing 1 - 10
Filter your results:
Filter by:
-
Endothelial cells-derived SEMA3G suppresses glioblastoma stem cells by inducing c-Myc degradation
Authors: Min, PX;Feng, LL;Zhang, YX;Jiang, CC;Zhang, HZ;Chen, Y;Fukunaga, K;Liu, F;Zhang, YJ;Sasaki, T;Qian, X;Horimoto, K;Jiang, JD;Lu, YM;Han, F;
Cell death and differentiation
Species: Human
Sample Types: Whole Cells
Applications: Bioassay -
MiR-125a-5p in extracellular vesicles of neural stem cells acts as a crosstalk signal modulating neuroinflammatory microenvironment to alleviate cerebral ischemia-reperfusion injury
Authors: Liu, Q;Ma, H;Liao, J;Zhu, Z;Chen, H;Sun, D;Wang, L;Lu, L;Chen, X;Zhang, X;Wang, F;
Theranostics
Species: Human
Sample Types: Whole Cells
Applications: Bioassay -
Xenograft of bio-3D printed scaffold-free cartilage constructs derived from human iPSCs to regenerate articular cartilage in immunodeficient pigs
Authors: Nonaka, T;Nakamura, A;Murata, D;Yoshizato, H;Kashimoto, S;Nagaishi, Y;Itoh, M;Zujur, D;Zhao, C;Inada, Y;Ikeya, M;Toguchida, J;Mawatari, M;Nakayama, K;
Regenerative therapy
Species: Human
Sample Types: Whole Cells
Applications: Bioassay -
RNA-binding proteins DND1 and NANOS3 cooperatively suppress the entry of germ cell lineage
Authors: Wang, Z;Yu, H;Gu, Z;Shi, X;Ma, J;Shao, Q;Yao, Y;Yao, S;Xu, Y;Gu, Y;Dai, J;Liu, Q;Shi, J;Qi, R;Jin, Y;Liu, Y;Shen, X;Huang, W;Liu, HJ;Jin, M;Liu, W;Brook, M;Chen, D;
Nature communications
Species: Human
Sample Types: Whole Cells
Applications: Bioassay -
IGF2BP1 restricts the induction of human primordial germ cell fate in an m6A-dependent manner
Authors: Zhang, J;Gu, Y;Tong, L;Feng, B;Dong, S;Shao, Q;Chen, Y;Tu, H;Wang, Z;Wang, Y;Li, X;Yu, H;Lin, Z;Wang, X;Li, Z;Ai, Z;Xiang, Y;Jiang, Z;Jin, Z;Li, Z;Chen, Y;Shen, Z;Huang, C;Liu, J;Liu, J;Xu, P;Yu, Y;Xia, P;Liang, H;Huang, H;Chen, D;
Cell stem cell
Species: Human
Sample Types: Whole Cells
Applications: Bioassay -
CD71-Mediated Effects of Soluble Vasorin on Tumor Progression, Angiogenesis and Immunosuppression
Authors: Zhao, Y;Xiao, C;Li, S;Huang, A;Li, H;Dong, J;Qu, Q;Liu, X;Gao, B;Shao, N;
International journal of molecular sciences
Species: Human
Sample Types: Whole Cells
Applications: Bioassay -
Delayed forebrain excitatory and inhibitory neurogenesis in STRADA-related megalencephaly via mTOR hyperactivity
Authors: Pan, T;Lin, G;Li, X;VanHeyningen, D;Walker, JC;Kohli, S;Saravanan, A;Kondur, A;Jaklic, DC;Pantoja-Gutierrez, S;Vaid, S;Sturza, J;Inoki, K;Imamichi, T;Chang, W;Dang, LT;
bioRxiv : the preprint server for biology
Species: Human
Sample Types: Organoid
Applications: Bioassay -
Growth Hormone-Releasing Hormone (GHRH) Antagonist Peptides Combined with PI3K Isoform Inhibitors Enhance Cell Death in Prostate Cancer
Authors: Perez-Stable, C;de Las Pozas, A;Wangpaichitr, M;Sha, W;Wang, H;Cai, R;Schally, AV;
Cancers
Species: Human
Sample Types: Whole Cells
Applications: Bioassay -
HR eye & MMR eye: one-day assessment of DNA repair-defective tumors eligible for targeted therapy
Authors: Saito, S;Kato, S;Arai, U;En, A;Tsunezumi, J;Mizushima, T;Tateishi, K;Adachi, N;
Nature communications
Species: Human
Sample Types: Whole Cells
Applications: Bioassay -
Loss of LATS1 and LATS2 promotes ovarian tumor formation by enhancing AKT activity and PD-L1 expression
Authors: Zhu, Y;Abedini, A;Rodriguez, GM;McCloskey, CW;Abou-Hamad, J;Salah, OS;Larocque, J;Tsoi, MF;Boerboom, D;Cook, D;Vanderhyden, B;
Oncogene
Species: Transgenic Mouse
Sample Types: Whole Cells
Applications: Bioassay -
ARL8B regulates lysosomal function and predicts poor prognosis in hepatocellular carcinoma
Authors: Wu, L;Weng, Z;Yang, X;Huang, Y;Lin, Y;Li, S;Fu, L;Yun, J;
Scientific reports
Species: Human
Sample Types: Whole Cells
Applications: Bioassay -
The glycosyltransferase ALG3 is an AKT substrate that regulates protein N-glycosylation
Authors: Navarro-Traxler, AJ;Ghisolfi, L;Lien, EC;Toker, A;
bioRxiv : the preprint server for biology
Species: Human
Sample Types: Whole Cells
Applications: Bioassay -
mTORC1 activation drives astrocyte reactivity in cortical tubers and brain organoid models of TSC
Authors: Li, TL;Blair, JD;Yoo, T;Grant, GA;Hockemeyer, D;Porter, BE;Bateup, HS;
bioRxiv : the preprint server for biology
Species: Human
Sample Types: Organoid
Applications: Bioassay -
Defining the molecular identity and morphology of glia limitans superficialis astrocytes in vertebrates
Authors: Hasel, P;Cooper, ML;Marchildon, AE;Rufen-Blanchette, U;Kim, RD;Ma, TC;Groh, AMR;Hill, EJ;Lewis, EM;Januszewski, M;Light, SEW;Smith, CJ;Stratton, JA;Sloan, SA;Kang, UJ;Chao, MV;Liddelow, SA;
Cell reports
Species: Human
Sample Types: Organoid
Applications: Bioassay -
A pathogenic subpopulation of human glioma associated macrophages linked to glioma progression
Authors: Hei Yu, KK;Abou-Mrad, Z;Törkenczy, K;Schulze, I;Gantchev, J;Baquer, G;Hopland, K;Bander, ED;Tosi, U;Brennan, C;Moss, NS;Hamard, PJ;Koche, R;Lareau, C;Agar, NYR;Merghoub, T;Tabar, V;
bioRxiv : the preprint server for biology
Species: Human
Sample Types: Whole Cells
Applications: Bioassay -
De novo identification of universal cell mechanics gene signatures
Authors: Urbanska, M;Ge, Y;Winzi, M;Abuhattum, S;Ali, SS;Herbig, M;Kräter, M;Toepfner, N;Durgan, J;Florey, O;Dori, M;Calegari, F;Lolo, FN;del Pozo, MÁ;Taubenberger, A;Cannistraci, CV;Guck, J;
eLife
Species: Human
Sample Types: Whole Cells
Applications: Bioassay -
Enhanced viability and functional maturity of iPSC-derived islet organoids by collagen-VI-enriched ECM scaffolds
Authors: Zhu, D;Chen, Z;Guo, K;Xie, Q;Zou, Y;Mou, Q;Zhou, Z;Jin, G;
Cell stem cell
Species: Human
Sample Types: Organoid
Applications: Bioassay -
SERPINH1 secretion by cancer-associated fibroblasts promotes hepatocellular carcinoma malignancy through SENP3-mediated SP1/SQLE pathway
Authors: Xiao, H;Yao, Z;Li, T;Fang, X;Xu, X;Hu, S;Yang, Y;Jin, C;Fei, Y;Liu, C;Du, Q;
International immunopharmacology
Species: Human
Sample Types: Whole Cells
Applications: Bioassay -
Niche-driven phenotypic plasticity and cis-regulatory dynamics of a revised model for intestinal secretory differentiation
Authors: Bhattacharya, S;Tei, G;Singh, PNP;Malagola, E;Eskiocak, O;He, R;Kraiczy, J;Gu, W;Perlov, Y;Beyaz, S;Wang, TC;Zhou, Q;Shivdasani, RA;
bioRxiv : the preprint server for biology
Species: Human
Sample Types: Whole Cells
Applications: Bioassay -
Mechanistic elucidation of human pancreatic acinar development using single-cell transcriptome analysis on a human iPSC differentiation model
Authors: Mima, A;Kimura, A;Ito, R;Hatano, Y;Tsujimoto, H;Mae, SI;Yamane, J;Fujibuchi, W;Uza, N;Toyoda, T;Seno, H;Osafune, K;
Scientific reports
Species: Human
Sample Types: Whole Cells
Applications: Bioassay -
Genetically edited human placental organoids cast new light on the role of ACE2
Authors: Arthurs, AL;Dietrich, B;Knöfler, M;Lushington, CJ;Thomas, PQ;Adikusuma, F;Williamson, JM;Babikha, S;Damhuis, T;Jankovic-Karasoulos, T;Smith, MD;Pringle, KG;Roberts, CT;
Cell death & disease
Species: Human
Sample Types: Whole Cells, Organoid
Applications: Bioassay -
Single-cell profiling of SLC family transporters: uncovering the role of SLC7A1 in osteosarcoma
Authors: Liao, Y;Chen, J;Yao, H;Zheng, T;Tu, J;Chen, W;Guo, Z;Zou, Y;Wen, L;Xie, X;
Journal of translational medicine
Species: Human
Sample Types: Whole Cells
Applications: Bioassay -
Mapping the developmental trajectory of human astrocytes reveals divergence in glioblastoma
Authors: Sojka, C;Wang, HV;Bhatia, TN;Li, Y;Chopra, P;Sing, A;Voss, A;King, A;Wang, F;Joseph, K;Ravi, VM;Olson, J;Hoang, K;Nduom, E;Corces, VG;Yao, B;Sloan, SA;
Nature cell biology
Species: Human
Sample Types: Whole Cells
Applications: Bioassay -
Orthogonal validation of PROTAC mediated degradation of the integral membrane proteins EGFR and c-MET
Authors: Ruffilli, C;Röth, S;Zelcer, N;Moreau, K;
Scientific reports
Species: Human
Sample Types: Whole Cells
Applications: Bioassay -
The role of KLF4 in human primordial germ cell development
Authors: Lee, SM;Smela, MP;Surani, MA;
Open biology
Species: Human
Sample Types: Whole Cells
Applications: Bioassay -
Anticancer effect of the oncolytic Newcastle disease virus harboring the PTEN gene on glioblastoma
Authors: Kim, S;Jung, BK;Kim, J;Jeon, JH;Kim, M;Jang, SH;Kim, CS;Jang, H;
Oncology letters
Species: Human
Sample Types: Whole Cells
Applications: Bioassay -
Inhibition of thioredoxin reductase 1 sensitizes glucose-starved glioblastoma cells to disulfidptosis
Authors: Tang, M;Dirks, K;Kim, SY;Qiu, Z;Gao, Y;Sun, D;Peruggia, G;Sallavanti, J;Li, W;
Cell death and differentiation
Species: Human
Sample Types: Whole Cells
Applications: Bioassay -
Differences in Emotional Awareness Moderate Cytokine-Symptom Associations Among Breast Cancer Survivors
Authors: Harel, K;Czamanski-Cohen, J;Cohen, M;Lane, RD;Dines, M;Caspi, O;Weihs, KL;
Brain, behavior, and immunity
Species: Human
Sample Types: Organoid
Applications: Bioassay -
THE FAM53C/DYRK1A axis regulates the G1/S transition of the cell cycle
Authors: Hammond, T;Choi, JB;Membreño, MW;Demeter, J;Ng, R;Bhattacharya, D;Nguyen, TN;Hartmann, GG;Bossard, C;Skotheim, JM;Jackson, PK;Pasca, A;Rubin, SM;Sage, J;
bioRxiv : the preprint server for biology
Species: Human
Sample Types: Organoid
Applications: Bioassay -
Small-Molecule Modulators of Lipid Raft Stability and Protein-Raft Partitioning
Authors: Stefanski, KM;Huang, H;Luu, DD;Hutchison, JM;Saksena, N;Fisch, AJ;Hasaka, TP;Bauer, JA;Kenworthy, AK;Van Horn, WD;Sanders, CR;
bioRxiv : the preprint server for biology
Species: Human
Sample Types: Whole Cells
Applications: Bioassay -
BMP-9 mediates fibroproliferation in fibrodysplasia ossificans progressiva through TGF-? signaling
Authors: Zhao, C;Inada, Y;Motoike, S;Kamiya, D;Hino, K;Ikeya, M;
EMBO molecular medicine
Species: Human
Sample Types: Whole Cells
Applications: Bioassay -
Liver Organoids From Hepatocytes of Healthy Humans and Non-alcoholic Fatty Liver Disease (NAFLD) Patients Display Multilineage Architecture and can be Used to Develop an In Vitro Model of Steatohepatitis
Authors: Goswami, Y;Baghel, A;Sharma, G;Sharma, PK;Biswas, S;Yadav, R;Garg, PK;Shalimar, ;Tandon, R;
Journal of clinical and experimental hepatology
Species: Human
Sample Types: Organoid
Applications: Bioassay -
Acoustic virtual 3D scaffold for direct-interacting tumor organoid-immune cell coculture systems
Authors: Shan, H;Chen, M;Zhao, S;Wei, X;Zheng, M;Li, Y;Lin, Q;Jiang, Z;Chen, Z;Fei, C;Li, Z;Chen, Z;Chen, X;
Science advances
Species: Human
Sample Types: Organoid
Applications: Bioassay -
Spatial multiomic landscape of the human placenta at molecular resolution
Authors: Ounadjela, JR;Zhang, K;Kobayashi-Kirschvink, KJ;Jin, K;J C Russell, A;Lackner, AI;Callahan, C;Viggiani, F;Dey, KK;Jagadeesh, K;Maxian, T;Prandstetter, AM;Nadaf, N;Gong, Q;Raichur, R;Zvezdov, ML;Hui, M;Simpson, M;Liu, X;Min, W;Knöfler, M;Chen, F;Haider, S;Shu, J;
Nature medicine
Species: Human
Sample Types: Organoid
Applications: Bioassay -
Parallel phosphoproteomics and metabolomics map the global metabolic tyrosine phosphoproteome
Authors: Hillis, AL;Tamir, T;Perry, GE;Asara, JM;Johnson, JL;Yaron, TM;Cantley, LC;White, FM;Toker, A;
Proceedings of the National Academy of Sciences of the United States of America
Species: Human
Sample Types: Whole Cells
Applications: Bioassay -
Down-regulation of ESRP2 inhibits breast cancer cell proliferation via inhibiting cyclinD1
Authors: He, C;Chen, Y;Zhang, X;Feng, H;Rao, Y;Ji, T;Wang, W;
Scientific reports
Species: Human
Sample Types: Whole Cells
Applications: Bioassay -
Activation of the mTOR pathway enhances PPAR?/SREBP-mediated lipid synthesis in human meibomian gland epithelial cells
Authors: Jun, I;Choi, YJ;Kim, BR;Lee, HK;Seo, KY;Kim, TI;
Scientific reports
Species: Human
Sample Types: Whole Cells
Applications: Bioassay -
Sertraline/chloroquine combination therapy to target hypoxic and immunosuppressive serine/glycine synthesis-dependent glioblastomas
Authors: Sánchez-Castillo, A;Savelkouls, KG;Baldini, A;Hounjet, J;Sonveaux, P;Verstraete, P;De Keersmaecker, K;Dewaele, B;Björkblom, B;Melin, B;Wu, WY;Sjöberg, RL;Rouschop, KMA;Broen, MPG;Vooijs, M;Kampen, KR;
Oncogenesis
Species: Human
Sample Types: Whole Cells
Applications: Bioassay -
Inter-chromosomal contacts demarcate genome topology along a spatial gradient
Authors: Mokhtaridoost, M;Chalmers, JJ;Soleimanpoor, M;McMurray, BJ;Lato, DF;Nguyen, SC;Musienko, V;Nash, JO;Espeso-Gil, S;Ahmed, S;Delfosse, K;Browning, JWL;Barutcu, AR;Wilson, MD;Liehr, T;Shlien, A;Aref, S;Joyce, EF;Weise, A;Maass, PG;
Nature communications
Species: Human
Sample Types: Whole Cells
Applications: Bioassay -
High incidence and geographic distribution of cleft palate in Finland are associated with the IRF6 gene
Authors: Rahimov, F;Nieminen, P;Kumari, P;Juuri, E;Nikopensius, T;Paraiso, K;German, J;Karvanen, A;Kals, M;Elnahas, AG;Karjalainen, J;Kurki, M;Palotie, A;FinnGen, ;Estonian Biobank Research Team, ;Heliövaara, A;Esko, T;Jukarainen, S;Palta, P;Ganna, A;Patni, AP;Mar, D;Bomsztyk, K;Mathieu, J;Ruohola-Baker, H;Visel, A;Fakhouri, WD;Schutte, BC;Cornell, RA;Rice, DP;
Nature communications
Species: Human
Sample Types: Whole Cells
Applications: Bioassay -
Favourable HDL composition in endurance athletes is not associated with changes in HDL in vitro antioxidant and endothelial anti-inflammatory function
Authors: Beazer, JD;Sillars, A;Beck, S;Christoffersen, C;Ferraz, MJ;Mulder, MT;Graham, D;Karlsson, H;Ljunggren, S;Gill, J;Freeman, DJ;
Bioscience reports
Species: Human
Sample Types: Whole Cells
Applications: Bioassay -
Thyroid hormone receptor beta (THR?1) is the major regulator of T3 action in human iPSC-derived hepatocytes
Authors: Soares De Oliveira, L;Kaserman, JE;Van Der Spek, AH;Lee, NJ;Undeutsch, HJ;Werder, RB;Wilson, AA;Hollenberg, AN;
Molecular metabolism
Species: Human
Sample Types: Whole Cells
Applications: Bioassay -
Single Nuclei Sequencing Reveals Intratumoral Cellular Heterogeneity and Replication Stress in Adrenocortical Carcinoma
Authors: Popova, LV;Garfinkle, EAR;Chopyk, DM;Navarro, JB;Rivaldi, A;Shu, Y;Lomonosova, E;Phay, JE;Miller, BS;Sattuwar, S;Mullen, M;Mardis, ER;Miller, KE;Dedhia, PH;
bioRxiv : the preprint server for biology
Species: Human
Sample Types: Organoid
Applications: Bioassay -
Fetal Liver-like Organoids Recapitulate Blood-Liver Niche Development and Multipotent Hematopoiesis from Human Pluripotent Stem Cells
Authors: Rezvani, M;Lewis, K;Quach, S;Iwasawa, K;Weihs, J;Reza, H;Cai, Y;Kimura, M;Zhang, R;Milton, Y;Chaturvedi, P;Thorner, K;Nayak, RC;Munera, JO;Kramer, P;Davis, B;Balamurugan, A;Ait Ahmed, Y;Finke, M;Behncke, RY;Guillot, A;Haegerling, R;Polansky, J;Bufler, P;Cancelas, J;Wells, J;Yoshimoto, M;Takebe, T;
bioRxiv : the preprint server for biology
Species: Human
Sample Types: Whole Cells
Applications: Bioassay -
Homology-independent targeted insertion-mediated derivation of M1-biased macrophages harbouring Megf10 and CD3? from human pluripotent stem cells
Authors: Zhen, X;Kim, J;Kang, JS;Choi, BJ;Park, KH;Lee, DS;Hong, SH;Lee, JH;
EBioMedicine
Species: Human
Sample Types: Spheroid
Applications: Bioassay -
Photoactivated growth factor release from bio-orthogonally crosslinked hydrogels for the regeneration of corneal defects
Authors: Kang, NW;Seo, YA;Jackson, KJ;Jang, K;Song, E;Han, U;Chen, F;Heilshorn, SC;Myung, D;
Bioactive materials
Species: Human
Sample Types: Whole Cells
Applications: Bioassay -
Screening a Compound Library to Identify Additives That Boost Cytochrome P450 Enzyme Function in Vascularised Liver Spheres
Authors: Lucendo-Villarin, B;Wang, Y;Mallanna, SK;Kimbrel, EA;Hay, DC;
Cells
Species: Human
Sample Types: Whole Cells
Applications: Bioassay -
Advancing Clinical Response Against Glioblastoma: Evaluating SHP1705 CRY2 Activator Efficacy in Preclinical Models and Safety in Phase I Trials
Authors: Chan, P;Nagai, Y;Wu, Q;Hovsepyan, A;Mkhitaryan, S;Wang, J;Karapetyan, G;Kamenecka, T;Solt, LA;Cope, J;Moats, RA;Hirota, T;Rich, JN;Kay, SA;
bioRxiv : the preprint server for biology
Species: Human
Sample Types: Whole Cells
Applications: Bioassay -
Microgravity Effect on Pancreatic Islets
Authors: Zeger, L;Barasa, P;Han, Y;Hellgren, J;Redwan, IN;Reiche, ME;Florin, G;Christoffersson, G;Kozlova, EN;
Cells
Species: Mouse
Sample Types: Whole Cells
Applications: Bioassay -
A Comparison of in vivo Tumor-Homing Abilities of Placental-Derived and Bone Marrow-Derived Mesenchymal Stromal Cells in High-Risk Neuroblastoma
Authors: Doyle, K;Hassan, AE;Sutter, M;Rodriguez, M;Kumar, P;Brown, E;
Journal of pediatric surgery
Species: Human
Sample Types: Whole Cells
Applications: Bioassay -
Activin A inhibits the migration of human lung adenocarcinoma A549 cells induced by EGF
Authors: Zhang, F;Cui, X;Yang, K;Guo, R;Zhu, L;Zhao, W;Liu, Z;Liu, B;
International immunopharmacology
Species: Human
Sample Types: Whole Cells
Applications: Bioassay -
Hypoxia and loss of GCM1 expression prevents differentiation and contact inhibition in human trophoblast stem cells
Authors: Cinkornpumin, JK;Kwon, SY;Prandstetter, AM;Maxian, T;Sirois, J;Goldberg, J;Zhang, J;Saini, D;Dasgupta, P;Jeyarajah, MJ;Renaud, SJ;Paul, S;Haider, S;Pastor, WA;
bioRxiv : the preprint server for biology
Species: Human
Sample Types: Whole Cells
Applications: Bioassay -
New dual inducible cellular model to investigate temporal control of oncogenic cooperating genes
Authors: Kent, MR;Jay, AN;Kendall, GC;
Scientific reports
Species: Human
Sample Types: Whole Cells
Applications: Bioassay -
Multi-Omics Profiles of Small Intestine Organoids in Reaction to Breast Milk and Different Infant Formula Preparations
Authors: Wang, X;Yang, S;Zheng, C;Huang, C;Yao, H;Guo, Z;Wu, Y;Wang, Z;Wu, Z;Ge, R;Cheng, W;Yan, Y;Jiang, S;Sun, J;Li, X;Xie, Q;Wang, H;
Nutrients
Species: Human
Sample Types: Whole Cells
Applications: Bioassay -
Developmental DNA demethylation is a determinant of neural stem cell identity and gliogenic competence
Authors: MacArthur, IC;Ma, L;Huang, CY;Bhavsar, H;Suzuki, M;Dawlaty, MM;
Science advances
Species: Transgenic Mouse
Sample Types: Whole Cells
Applications: Bioassay -
Dynamic convergence of autism disorder risk genes across neurodevelopment
Authors: Fernandez Garcia, M;Retallick-Townsley, K;Pruitt, A;Davidson, E;Dai, Y;Fitzpatrick, SE;Sen, A;Cohen, S;Livoti, O;Khan, S;Dossou, G;Cheung, J;Deans, PJM;Wang, Z;Huckins, L;Hoffman, E;Brennand, K;
bioRxiv : the preprint server for biology
Species: Human
Sample Types: Transduced Whole Cells
Applications: Bioassay -
Mutant huntingtin impairs neurodevelopment in human brain organoids through CHCHD2-mediated neurometabolic failure
Authors: Lisowski, P;Lickfett, S;Rybak-Wolf, A;Menacho, C;Le, S;Pentimalli, TM;Notopoulou, S;Dykstra, W;Oehler, D;López-Calcerrada, S;Mlody, B;Otto, M;Wu, H;Richter, Y;Roth, P;Anand, R;Kulka, LAM;Meierhofer, D;Glazar, P;Legnini, I;Telugu, NS;Hahn, T;Neuendorf, N;Miller, DC;Böddrich, A;Polzin, A;Mayatepek, E;Diecke, S;Olzscha, H;Kirstein, J;Ugalde, C;Petrakis, S;Cambridge, S;Rajewsky, N;Kühn, R;Wanker, EE;Priller, J;Metzger, JJ;Prigione, A;
Nature communications
Species: Human
Sample Types: Organoid
Applications: Bioassay -
Development of novel humanized VHH synthetic libraries based on physicochemical analyses
Authors: Nakakido, M;Kinoshita, S;Tsumoto, K;
Scientific reports
Species: Human
Sample Types: Antibody
Applications: Surface Plasmon Resonance (SPR) -
PrPC controls epithelial-to-mesenchymal transition in EGFR-mutated NSCLC: implications for TKI resistance and patient follow-up
Authors: Lailler, C;Didelot, A;Garinet, S;Berthou, H;Sroussi, M;de Reyniès, A;Dedhar, S;Martin-Lannerée, S;Fabre, E;Le Pimpec-Barthes, F;Perrier, A;Poindessous, V;Mansuet-Lupo, A;Djouadi, F;Launay, JM;Laurent-Puig, P;Blons, H;Mouillet-Richard, S;
Oncogene
Species: Human
Sample Types: Whole Cells
Applications: Bioassay -
The interferon ? pathway enhances pluripotency and X-chromosome reactivation in iPSC reprogramming
Authors: Barrero, M;Lazarenkov, A;Blanco, E;Palma, LG;López-Rubio, AV;Bauer, M;Bigas, A;Di Croce, L;Sardina, JL;Payer, B;
Science advances
Species: Mouse
Sample Types: Whole Cells
Applications: Bioassay -
Critical role of thrombospondin-1 in promoting intestinal mucosal wound repair
Authors: Wilson, ZS;Raya-Sandino, A;Miranda, J;Fan, S;Brazil, JC;Quiros, M;Garcia-Hernandez, V;Liu, Q;Kim, CH;Hankenson, KD;Nusrat, A;Parkos, CA;
JCI insight
Species: Mouse
Sample Types: Organoid
Applications: Bioassay -
Targeting Cholesterol Biosynthesis with Statins Synergizes with AKT Inhibitors in Triple-Negative Breast Cancer
Authors: Hillis, AL;Martin, TD;Manchester, HE;Högström, J;Zhang, N;Lecky, E;Kozlova, N;Lee, J;Persky, NS;Root, DE;Brown, M;Cichowski, K;Elledge, SJ;Muranen, T;Fruman, DA;Barry, ST;Clohessy, JG;Madsen, RR;Toker, A;
Cancer research
Species: Human
Sample Types: Whole Cells
Applications: Bioassay -
Reprogramming human urine cells into intestinal organoids with long-term expansion ability and barrier function
Authors: Zhang, R;Chen, Y;Feng, Z;Cai, B;Cheng, Y;Du, Y;Ou, S;Chen, H;Pan, M;Liu, H;Pei, D;Cao, S;
Heliyon
Species: Human
Sample Types: Whole Cells
Applications: Bioassay -
Generation of musculoskeletal cells from human urine epithelium-derived presomitic mesoderm cells
Authors: Gao, H;Huang, X;Cai, Z;Cai, B;Wang, K;Li, J;Kuang, J;Wang, B;Zhai, Z;Ming, J;Cao, S;Qin, Y;Pei, D;
Cell & bioscience
Species: Human
Sample Types: Whole Cells
Applications: Bioassay -
Oncogenic KRAS-dependent stromal interleukin-33 directs the pancreatic microenvironment to promote tumor growth
Authors: Donahue, KL;Watkoske, HR;Kadiyala, P;Du, W;Brown, K;Scales, MK;Elhossiny, AM;Espinoza, CE;Lasse Opsahl, EL;Griffith, BD;Wen, Y;Sun, L;Velez-Delgado, A;Renollet, NM;Morales, J;Nedzesky, NM;Baliira, RK;Menjivar, RE;Medina-Cabrera, PI;Rao, A;Allen, B;Shi, J;Frankel, TL;Carpenter, ES;Bednar, F;Zhang, Y;Pasca di Magliano, M;
Cancer discovery
Species: Human
Sample Types: Whole Cells
Applications: Bioassay -
Contribution of Streptococcus pseudopneumoniae and Streptococcus salivarius to vocal fold mucosal integrity and function
Authors: Lungova, V;Gowda, M;Fernandez, JM;Bartley, S;Venkatraman, A;Rey, FE;Thibeault, SL;
Disease models & mechanisms
Species: Human
Sample Types: Whole Cells
Applications: Cell Culture -
Detrimental interactions of hypoxia and complement MASP-1 in endothelial cells as a model for atherosclerosis-related diseases
Authors: Demeter, F;Németh, Z;Kajdácsi, E;Bihari, G;Dobó, J;Gál, P;Cervenak, L;
Scientific reports
Species: Human
Sample Types: Whole Cells
Applications: Bioassay -
An iPSC-derived small intestine-on-chip with self-organizing epithelial, mesenchymal, and neural cells
Authors: Moerkens, R;Mooiweer, J;Ramírez-Sánchez, AD;Oelen, R;Franke, L;Wijmenga, C;Barrett, RJ;Jonkers, IH;Withoff, S;
Cell reports
Species: Human
Sample Types: Whole Cells
Applications: Bioassay -
The Histogenetic Origin of Malignant Cells Predicts Their Susceptibility towards Synthetic Lethality Utilizing the TK.007 System
Authors: Pallasch, FB;Freytag, V;Kriegs, M;Gatzemeier, D;Mair, T;Voss, H;Riecken, K;Dawood, M;Fehse, B;Efferth, T;Schlüter, H;Schumacher, U;
Cancers
Species: Human
Sample Types: Whole Cells
Applications: Bioassay -
Establishment and characterization of cMYB-expressing human salivary adenoid cystic carcinoma cell lines (UM-HACC-14, UM-HACC-6) and matching patient-derived xenograft model (UM-PDX-HACC-14)
Authors: Warner, KA;Herzog, AE;Sahara, S;Nör, F;Castilho, RM;Demirci, H;Chepeha, DB;Polverini, PJ;Nör, JE;
Oral surgery, oral medicine, oral pathology and oral radiology
Species: Human
Sample Types: Whole Cells
Applications: Bioassay -
First Application of a Mixed Porcine-Human Repopulated Bioengineered Liver in a Preclinical Model of Post-Resection Liver Failure
Authors: Felgendreff, P;Hosseiniasl, SM;Minshew, A;Amiot, BP;Wilken, S;Ahmadzada, B;Huebert, RC;Sakrikar, NJ;Engles, NG;Halsten, P;Mariakis, K;Barry, J;Riesgraf, S;Fecteau, C;Ross, JJ;Nyberg, SL;
Biomedicines
Species: Human, Porcine
Sample Types: Whole Cells
Applications: Bioassay -
The manganese transporter SLC39A8 links alkaline ceramidase 1 to inflammatory bowel disease
Authors: Choi, EK;Rajendiran, TM;Soni, T;Park, JH;Aring, L;Muraleedharan, CK;Garcia-Hernandez, V;Kamada, N;Samuelson, LC;Nusrat, A;Iwase, S;Seo, YA;
Nature communications
Species: Mouse
Sample Types: Organoid
Applications: Bioassay -
Inhibition of EGFR/ErbB does not protect against C. difficile toxin B
Authors: Siddiqi, U;Lunnemann, HM;Childress, KO;Shupe, JA;Rutherford, SA;Farrow, MA;Washington, MK;Coffey, RJ;Lacy, DB;Markham, NO;
bioRxiv : the preprint server for biology
Species: Human
Sample Types: Whole Cells
Applications: Bioassay -
linc-ADAIN, a human adipose lincRNA, regulates adipogenesis by modulating KLF5 and IL-8 mRNA stability
Authors: O'Reilly, ME;Ho, S;Coronel, J;Zhu, L;Liu, W;Xue, C;Kim, E;Cynn, E;Matias, CV;Soni, RK;Wang, C;Ionita-Laza, I;Bauer, RC;Ross, L;Zhang, Y;Corvera, S;Fried, SK;Reilly, MP;
Cell reports
Species: Human
Sample Types: Whole Cells
Applications: Bioassay -
Non-pituitary growth hormone enables colon cell senescence evasion
Authors: Chesnokova, V;Zonis, S;Apaydin, T;Barrett, R;Melmed, S;
Aging cell
Species: Human
Sample Types: Whole Cells
Applications: Bioassay -
D3S-001, a KRAS G12C inhibitor with rapid target engagement kinetics, overcomes nucleotide cycling and demonstrates robust preclinical and clinical activities
Authors: Zhang, J;Lim, SM;Yu, MR;Chen, C;Wang, J;Wang, W;Rui, H;Lu, J;Lu, S;Mok, T;Chen, ZJ;Cho, BC;
Cancer discovery
Species: Human
Sample Types: Whole Cells
Applications: Bioassay -
WNT2B Deficiency Causes Enhanced Susceptibility to Colitis Due to Increased Inflammatory Cytokine Production
Authors: O'Connell, AE;Raveenthiraraj, S;Oliveira, LFS;Adegboye, C;Dasuri, VS;Qi, W;Khetani, RS;Singh, A;Sundaram, N;Lin, J;Nandivada, P;Rincón-Cruz, L;Goldsmith, JD;Thiagarajah, JR;Carlone, DL;Turner, JR;Agrawal, PB;Helmrath, M;Breault, DT;
Cellular and molecular gastroenterology and hepatology
Species: Human
Sample Types: Whole Cells
Applications: Bioassay -
Heparan sulfate regulates amphiregulin signaling towards reparative lung mesenchymal cells during influenza A infection
Authors: Loffredo, LF;Surpur, A;Ringham, OR;Li, F;de Los Santos-Alexis, K;Arpaia, N;
bioRxiv : the preprint server for biology
Species: Human
Sample Types: Whole Cells
Applications: Bioassay -
Anti-inflammatory effect of curcuminoids and their analogs in hyperosmotic human corneal limbus epithelial cells
Authors: Kasetsuwan, N;Reinprayoon, U;Uthaithammarat, L;Sereemaspun, A;Sae-Liang, N;Chaichompoo, W;Suksamrarn, A;
BMC complementary medicine and therapies
Species: Human
Sample Types: Whole Cells
Applications: Bioassay -
Topology-guided polar ordering of collective cell migration
Authors: Lång, E;Lång, A;Blicher, P;Rognes, T;Dommersnes, PG;Bøe, SO;
Science advances
Species: Human
Sample Types: Whole Cells
Applications: Bioassay -
Human-Induced Pluripotent Stem Cell-Derived Neural Progenitor Cells Showed Neuronal Differentiation, Neurite Extension, and Formation of Synaptic Structures in Rodent Ischemic Stroke Brains
Authors: Kanemura, Y;Yamamoto, A;Katsuma, A;Fukusumi, H;Shofuda, T;Kanematsu, D;Handa, Y;Sumida, M;Yoshioka, E;Mine, Y;Yamaguchi, R;Okada, M;Igarashi, M;Sekino, Y;Shirao, T;Nakamura, M;Okano, H;
Cells
Species: Human
Sample Types: Whole Cells
Applications: Bioassay -
Transcription factor ZIC2 regulates the tumorigenic phenotypes associated with both bulk and cancer stem cells in epithelial ovarian cancer
Authors: Chen, H;Lee, LJ;Vincent, KM;Xu, Z;Liu, J;Zhang, G;Nakevska, Z;Smith, D;Lee, CH;Postovit, LM;Fu, Y;
Oncogene
Species: Human
Sample Types: Whole Cells
Applications: Bioassay -
The secreted protein Amuc_1409 from Akkermansia muciniphila improves gut health through intestinal stem cell regulation
Authors: Kang, EJ;Kim, JH;Kim, YE;Lee, H;Jung, KB;Chang, DH;Lee, Y;Park, S;Lee, EY;Lee, EJ;Kang, HB;Rhyoo, MY;Seo, S;Park, S;Huh, Y;Go, J;Choi, JH;Choi, YK;Lee, IB;Choi, DH;Seo, YJ;Noh, JR;Kim, KS;Hwang, JH;Jeong, JS;Kwon, HJ;Yoo, HM;Son, MY;Kim, YG;Lee, DH;Kim, TY;Kwon, HJ;Kim, MH;Kim, BC;Kim, YH;Kang, D;Lee, CH;
Nature communications
Species: Human
Sample Types: Spheroid
Applications: Bioassay -
Viscoelastic high-molecular-weight hyaluronic acid hydrogels support rapid glioblastoma cell invasion with leader-follower dynamics
Authors: Carvalho, EM;Ding, EA;Saha, A;Weldy, A;Zushin, PH;Stahl, A;Aghi, MK;Kumar, S;
bioRxiv : the preprint server for biology
Species: Human
Sample Types: Whole Cells
Applications: Bioassay -
Antisense oligonucleotide therapeutic approach for Timothy syndrome
Authors: Chen, X;Birey, F;Li, MY;Revah, O;Levy, R;Thete, MV;Reis, N;Kaganovsky, K;Onesto, M;Sakai, N;Hudacova, Z;Hao, J;Meng, X;Nishino, S;Huguenard, J;Pa?ca, SP;
Nature
Species: Human
Sample Types: Organoid
Applications: Bioassay -
EGFR targeting PhosTACs as a dual inhibitory approach reveals differential downstream signaling
Authors: Hu, Z;Chen, PH;Li, W;Krone, M;Zheng, S;Saarbach, J;Velasco, IU;Hines, J;Liu, Y;Crews, CM;
Science advances
Species: Human
Sample Types: Transfected Whole Cells
Applications: Bioassay -
Regenerative human liver organoids (HLOs) in a pillar/perfusion plate for hepatotoxicity assays
Authors: Shrestha, S;Acharya, P;Kang, SY;Vanga, MG;Lekkala, VKR;Liu, J;Yang, Y;Joshi, P;Lee, MY;
bioRxiv : the preprint server for biology
Species: Human
Sample Types: cell culture
-
Chronic hypoxia remodels the tumor microenvironment to support glioma stem cell growth
Authors: Nicholson, JG;Cirigliano, S;Singhania, R;Haywood, C;Shahidi Dadras, M;Yoshimura, M;Vanderbilt, D;Liechty, B;Fine, HA;
Acta neuropathologica communications
Species: Human
Sample Types: Whole Cells
Applications: Bioassay -
RBBP6 maintains glioblastoma stem cells through CPSF3-dependent alternative polyadenylation
Authors: Lin, P;Chen, W;Long, Z;Yu, J;Yang, J;Xia, Z;Wu, Q;Min, X;Tang, J;Cui, Y;Liu, F;Wang, C;Zheng, J;Li, W;Rich, JN;Li, L;Xie, Q;
Cell discovery
Species: Xenograft
Sample Types: Whole Cells
Applications: Bioassay -
Human assembloid model of the ascending neural sensory pathway
Authors: Kim, JI;Imaizumi, K;Thete, MV;Hudacova, Z;Jurju?, O;Amin, ND;Scherrer, G;Pa?ca, SP;
bioRxiv : the preprint server for biology
Species: Human
Sample Types: Organoid
Applications: Bioassay -
miR-644a is a tumor cell-intrinsic mediator of sex bias in glioblastoma
Authors: Hong, ES;Wang, SZ;Ponti, AK;Hajdari, N;Lee, J;Mulkearns-Hubert, EE;Volovetz, J;Kay, KE;Lathia, JD;Dhawan, A;
bioRxiv : the preprint server for biology
Species: Human
Sample Types: Whole Cells
Applications: Bioassay -
Inhibition of the AURKA/YAP1 axis is a promising therapeutic option for overcoming cetuximab resistance in colorectal cancer stem cells
Authors: Rio-Vilariño, A;Cenigaonandia-Campillo, A;García-Bautista, A;Mateos-Gómez, PA;Schlaepfer, MI;Del Puerto-Nevado, L;Aguilera, O;García-García, L;Galeano, C;de Miguel, I;Serrano-López, J;Baños, N;Fernández-Aceñero, MJ;Lacal, JC;Medico, E;García-Foncillas, J;Cebrián, A;
British journal of cancer
Species: Human
Sample Types: Whole Cells
Applications: Bioassay -
Human Pluripotent Stem Cell Derived Organoids Reveal a Role for WNT Signaling in Dorsal-Ventral Patterning of the Hindgut
Authors: Qu, N;Daoud, A;Kechele, DO;Múnera, JO;
bioRxiv : the preprint server for biology
Species: Human
Sample Types: Whole Cells
Applications: Bioassay -
Silencing of the PHLDA1 leads to global proteome changes and differentiation pathways of human neuroblastoma cells
Authors: Bugara, B;Durbas, M;Kudrycka, M;Malinowska, A;Horwacik, I;Rokita, H;
Frontiers in pharmacology
Species: Human
Sample Types: Whole Cells
Applications: Bioassay -
RGS4 controls airway hyperresponsiveness through GAP-independent mechanisms
Authors: Joshi, IV;Chan, EC;Lack, JB;Liu, C;Druey, KM;
The Journal of biological chemistry
Species: Human
Sample Types: Whole Cells
Applications: Bioassay -
Proliferative Effects of Mesenchymal Stromal Cells on Neuroblastoma Cell Lines: Are They Tumor Promoting or Tumor Inhibiting?
Authors: Doyle, K;Sutter, M;Rodriguez, M;Hassan, AE;Kumar, P;Brown, E;
Journal of pediatric surgery
Species: Human
Sample Types: Whole Cells
Applications: Bioassay -
Identifying PLAUR as a Pivotal Gene of Tumor Microenvironment and Regulating Mesenchymal Phenotype of Glioblastoma
Authors: Fu, Z;Chen, Z;Ye, J;Ji, J;Ni, W;Lin, W;Lin, H;Lu, L;Zhu, G;Xie, Q;Yan, F;Chen, G;Liu, F;
Cancers
Species: Human
Sample Types: Whole Cells
Applications: Bioassay -
Transcriptomic analysis of intestinal organoids, derived from pigs divergent in feed efficiency, and their response to Escherichia coli
Authors: Madsen, O;Rikkers, RSC;Wells, JM;Bergsma, R;Kar, SK;Taverne, N;Taverne-Thiele, AJ;Ellen, ED;Woelders, H;
BMC genomics
Species: Porcine
Sample Types: Organoid
Applications: Bioassay -
IDHwt glioblastomas can be stratified by their transcriptional response to standard treatment, with implications for targeted therapy
Authors: Tanner, G;Barrow, R;Ajaib, S;Al-Jabri, M;Ahmed, N;Pollock, S;Finetti, M;Rippaus, N;Bruns, AF;Syed, K;Poulter, JA;Matthews, L;Hughes, T;Wilson, E;Johnson, C;Varn, FS;Brüning-Richardson, A;Hogg, C;Droop, A;Gusnanto, A;Care, MA;Cutillo, L;Westhead, DR;Short, SC;Jenkinson, MD;Brodbelt, A;Chakrabarty, A;Ismail, A;Verhaak, RGW;Stead, LF;
Genome biology
Species: Human
Sample Types: Whole Cells
Applications: Bioassay -
Logical design of synthetic cis-regulatory DNA for genetic tracing of cell identities and state changes
Authors: Company, C;Schmitt, MJ;Dramaretska, Y;Serresi, M;Kertalli, S;Jiang, B;Yin, JA;Aguzzi, A;Barozzi, I;Gargiulo, G;
Nature communications
Species: Human
Sample Types: Whole Cells
Applications: Bioassay -
3D bioprinting of human neural tissues with functional connectivity
Authors: Yan, Y;Li, X;Gao, Y;Mathivanan, S;Kong, L;Tao, Y;Dong, Y;Li, X;Bhattacharyya, A;Zhao, X;Zhang, SC;
Cell Stem Cell
Species: Human
Sample Types: Whole Cells
Applications: Bioassay -
Herpes simplex virus infection induces necroptosis of neurons and astrocytes in human fetal organotypic brain slice cultures
Authors: Rashidi, AS;Tran, DN;Peelen, CR;van Gent, M;Ouwendijk, WJD;Verjans, GMGM;
Journal of neuroinflammation
Species: Human
Sample Types: Whole Tissue
Applications: Bioassay -
Eicosatetraynoic Acid Regulates Pro-Fibrotic Pathways in an Induced Pluripotent Stem Cell Derived Macrophage:Human Intestinal Organoid Model of Crohn's Disease
Authors: Jurickova, I;Dreskin, BW;Angerman, E;Bonkowski, E;Tominaga, K;Iwasawa, K;Braun, T;Takebe, T;Helmrath, MA;Haberman, Y;Wells, JM;Denson, LA;
bioRxiv : the preprint server for biology
Species: Human
Sample Types: Organoid
Applications: Bioassay -
Chemically-defined and scalable culture system for intestinal stem cells derived from human intestinal organoids
Authors: Kwon, O;Lee, H;Jung, J;Son, YS;Jeon, S;Yoo, WD;Son, N;Jung, KB;Choi, E;Lee, IC;Kwon, HJ;Kim, C;Lee, MO;Cho, HS;Kim, DS;Son, MY;
Nature communications
Species: Human
Sample Types: Whole Cells
Applications: Differentiation -
iPSC-derived models of PACS1 syndrome reveal transcriptional and functional deficits in neuron activity
Authors: Rylaarsdam, L;Rakotomamonjy, J;Pope, E;Guemez-Gamboa, A;
Nature communications
Species: Human
Sample Types: Organoid
Applications: Bioassay -
Methyl vinyl ketone and its analogs covalently modify PI3K and alter physiological functions by inhibiting PI3K signaling
Authors: Morimoto, A;Takasugi, N;Pan, Y;Kubota, S;Dohmae, N;Abiko, Y;Uchida, K;Kumagai, Y;Uehara, T;
The Journal of biological chemistry
Species: Human
Sample Types: Whole Cells
Applications: Bioassay -
Sox9 regulates alternative splicing and pancreatic beta cell function
Authors: Puri, S;Maachi, H;Nair, G;Russ, HA;Chen, R;Pulimeno, P;Cutts, Z;Ntranos, V;Hebrok, M;
Nature communications
Species: Human
Sample Types: Whole Cells
Applications: Bioassay -
TC2N inhibits distant metastasis and stemness of breast cancer via blocking fatty acid synthesis
Authors: Hao, XL;Lv, YF;Li, DF;Bai, FH;Gong, J;Pan, GQ;Su, LX;Wang, YL;Fu, WL;Liu, B;Huang, L;Yan, D;Tan, QL;Liu, JY;Guo, QN;
Journal of translational medicine
Species: Human
Sample Types: Whole Cells
Applications: Bioassay -
Pharmacological inhibition of MYC to mitigate chemoresistance in preclinical models of squamous cell carcinoma
Authors: Liu, S;Qin, Z;Mao, Y;Wang, N;Zhang, W;Wang, Y;Chen, Y;Jia, L;Peng, X;
Theranostics
Species: Human
Sample Types: Spheroid
Applications: Bioassay -
Combining microfluidic chip and low-attachment culture devices to isolate oral cancer stem cells
Authors: Chen, HH;Nguyen, TV;Shih, YH;Chang, KC;Chiu, KC;Hsia, SM;Fuh, LJ;Shieh, TM;
Journal of dental sciences
Species: Human
Sample Types: Whole Cells
Applications: Bioassay -
miRNA-211 maintains metabolic homeostasis in medulloblastoma through its target gene long-chain acyl-CoA synthetase 4
Authors: Yuan, M;Mahmud, I;Katsushima, K;Joshi, K;Saulnier, O;Pokhrel, R;Lee, B;Liyanage, W;Kunhiraman, H;Stapleton, S;Gonzalez-Gomez, I;Kannan, RM;Eisemann, T;Kolanthai, E;Seal, S;Garrett, TJ;Abbasi, S;Bockley, K;Hanes, J;Chapagain, P;Jallo, G;Wechsler-Reya, RJ;Taylor, MD;Eberhart, CG;Ray, A;Perera, RJ;
Acta neuropathologica communications
Species: Human
Sample Types: Whole Cells
Applications: Bioassay -
A novel patient-derived meningioma spheroid model as a tool to study and treat epithelial-to-mesenchymal transition (EMT) in meningiomas
Authors: van de Weijer, LL;Ercolano, E;Zhang, T;Shah, M;Banton, MC;Na, J;Adams, CL;Hilton, D;Kurian, KM;Hanemann, CO;
Acta neuropathologica communications
Species: Human
Sample Types: Whole Cells, Spheroid
Applications: Bioassay -
A Novel LncRNA MASCC1 Regulates the Progression and Metastasis of Head and Neck Squamous Cell Carcinoma by Sponging miR-195
Authors: Wang, Y;Qin, Z;Chen, Y;Zheng, Y;Jia, L;
Cancers
Species: Human
Sample Types: Whole Cells
Applications: Cell Culture -
Antitumor Activity of the Xanthonoside XGAc in Triple-Negative Breast, Ovarian and Pancreatic Cancer by Inhibiting DNA Repair
Authors: Calheiros, J;Raimundo, L;Morais, J;Matos, AC;Minuzzo, SA;Indraccolo, S;Sousa, E;Silva, MCD;Saraiva, L;
Cancers
Species: Human
Sample Types: Whole Cells
Applications: Bioassay -
CRISPR loss of function screening to identify genes involved in human primordial germ cell-like cell development
Authors: Hwang, YS;Seita, Y;Blanco, MA;Sasaki, K;
PLoS genetics
Species: Human
Sample Types: Whole Cells
Applications: Cell Culture -
Proteomic analysis of exosomes secreted during the epithelial-mesenchymal transition and potential biomarkers of mesenchymal high-grade serous ovarian carcinoma
Authors: Ferreira, GA;Thomé, CH;Izumi, C;Grassi, ML;Lanfredi, GP;Smolka, M;Faça, VM;Candido Dos Reis, FJ;
Journal of ovarian research
Species: Human
Sample Types: Whole Cells
Applications: Bioassay -
CASC4/GOLM2 drives high grade serous carcinoma anoikis resistance through the recycling of EGFR
Authors: Bapat, J;Yamamoto, TM;Woodruff, ER;Qamar, L;Mikeska, RG;Aird, KM;Watson, ZL;Brubaker, LW;Bitler, BG;
Cancer gene therapy
Species: Human
Sample Types: Spheroid, Transduced Whole Cells, Whole Cells
Applications: Bioassay -
Disrupting cellular memory to overcome drug resistance
Authors: Harmange, G;Hueros, RAR;Schaff, DL;Emert, B;Saint-Antoine, M;Kim, LC;Niu, Z;Nellore, S;Fane, ME;Alicea, GM;Weeraratna, AT;Simon, MC;Singh, A;Shaffer, SM;
Nature communications
Species: Human
Sample Types: Whole Cells
Applications: Bioassay -
MAP kinase ERK5 modulates cancer cell sensitivity to extrinsic apoptosis induced by death-receptor agonists
Authors: Espinosa-Gil, S;Ivanova, S;Alari-Pahissa, E;Denizli, M;Villafranca-Magdalena, B;Viñas-Casas, M;Bolinaga-Ayala, I;Gámez-García, A;Faundez-Vidiella, C;Colas, E;Lopez-Botet, M;Zorzano, A;Lizcano, JM;
Cell death & disease
Species: Xenograft
Sample Types: Organoid
Applications: Bioassay -
Novel family of [RuCp(N,N)(P)]+ compounds with simultaneous anticancer and antibacterial activity: Biological evaluation and solution chemistry studies
Authors: Teixeira, RG;Mészáros, JP;Matos, B;Côrte-Real, L;Xavier, CPR;Fontrodona, X;Garcia, MH;Romero, I;Spengler, G;Vasconcelos, MH;Tomaz, AI;Enyedy, ÉA;Valente, A;
European journal of medicinal chemistry
Species: Human
Sample Types: Whole Cells
Applications: Cell Culture -
Precise Therapeutic Targeting of Distinct NRXN1+/- Mutations
Authors: Fernando, MB;Fan, Y;Zhang, Y;Kammourh, S;Murphy, AN;Ghorbani, S;Onatzevitch, R;Pero, A;Padilla, C;Cao, L;Williams, S;Fang, G;Slesinger, PA;Brennand, KJ;
bioRxiv : the preprint server for biology
Species: Human
Sample Types: Embryoid Bodies
Applications: Bioassay -
Bovine oviductal organoids: a multi-omics approach to capture the cellular and extracellular molecular response of the oviduct to heat stress
Authors: Menjivar, NG;Gad, A;Thompson, RE;Meyers, MA;Hollinshead, FK;Tesfaye, D;
BMC genomics
Species: Bovine
Sample Types: Organoids
Applications: Bioassay -
Single-cell long-read sequencing in human cerebral organoids uncovers cell-type-specific and autism-associated exons
Authors: Yang, Y;Yang, R;Kang, B;Qian, S;He, X;Zhang, X;
Cell reports
Species: Human
Sample Types: Organoid
Applications: Bioassay -
A Spatiotemporal and Machine-Learning Platform Accelerates the Manufacturing of hPSC-derived Esophageal Mucosa
Authors: Yang, Y;McCullough, CG;Seninge, L;Guo, L;Kwon, WJ;Zhang, Y;Li, NY;Gaddam, S;Pan, C;Zhen, H;Torkelson, J;Glass, IA;Birth Defects Research Laboratory, ;Charville, G;Que, J;Stuart, J;Ding, H;Oro, A;
bioRxiv : the preprint server for biology
Species: Human
Sample Types: Whole Cells
Applications: Bioassay -
Polyphyllin VII induces CTC anoikis to inhibit lung cancer metastasis through EGFR pathway regulation
Authors: Que, Z;Luo, B;Yu, P;Qi, D;Shangguan, W;Wang, P;Liu, J;Li, Y;Li, H;Ke, R;Wu, E;Tian, J;
International journal of biological sciences
Species: Human
Sample Types: Whole Cells
Applications: Cell Culture -
Epigenetic Activation of TUSC3 Sensitizes Glioblastoma to Temozolomide Independent of MGMT Promoter Methylation Status
Authors: Wu, Q;Berglund, AE;Macaulay, RJ;Etame, AB;
International journal of molecular sciences
Species: Human
Sample Types: Whole Cells
Applications: Bioassay -
Identification of a fundamental cryoinjury mechanism in MSCs and its mitigation through cell-cycle synchronization prior to freezing
Authors: Johnstone, BH;Gu, D;Lin, CH;Du, J;Woods, EJ;
Cryobiology
Species: Human
Sample Types: Whole Cells
Applications: Bioassay -
Tissue morphology influences the temporal program of human brain organoid development
Authors: Chiaradia, I;Imaz-Rosshandler, I;Nilges, BS;Boulanger, J;Pellegrini, L;Das, R;Kashikar, ND;Lancaster, MA;
Cell stem cell
Species: Human
Sample Types: Organoids
Applications: Bioassay -
Claudin-23 reshapes epithelial tight junction architecture to regulate barrier function
Authors: Raya-Sandino, A;Lozada-Soto, KM;Rajagopal, N;Garcia-Hernandez, V;Luissint, AC;Brazil, JC;Cui, G;Koval, M;Parkos, CA;Nangia, S;Nusrat, A;
Nature communications
Species: Transgenic Mouse
Sample Types: Organoid
Applications: Bioassay -
Function of hepatocyte spheroids in bioactive microcapsules is enhanced by endogenous and exogenous hepatocyte growth factor
Authors: Gwon, K;Choi, D;de Hoyos-Vega, JM;Baskaran, H;Gonzalez-Suarez, AM;Lee, S;Hong, HJ;Nguyen, KM;Dharmesh, E;Sugahara, G;Ishida, Y;Saito, T;Stybayeva, G;Revzin, A;
Bioactive materials
Species: N/A
Sample Types:
Applications: Bioassay -
Annexin A2 Stabilizes Oncogenic JAG1 Intracellular Domain by Inhibiting Proteasomal Degradation in Glioblastoma Cells
Authors: Ham, SW;Kim, JY;Seo, S;Hong, N;Park, MJ;Kim, Y;Jang, J;Park, S;Lee, SJ;Kim, JK;Kim, EJ;Kim, SO;Kim, SC;Park, JW;Kim, H;
International journal of molecular sciences
Species: Human
Sample Types: Whole Cells
Applications: Bioassay -
Direct regulation of FNIP1 and FNIP2 by MEF2 sustains MTORC1 activation and tumor progression in pancreatic cancer
Authors: Xia, L;Nie, T;Lu, F;Huang, L;Shi, X;Ren, D;Lu, J;Li, X;Xu, T;Cui, B;Wang, Q;Gao, G;Yang, Q;
Autophagy
Species: Human
Sample Types: Whole Cells, Transfected Whole Cells
Applications: Bioassay -
Near-Infrared Imaging of Colonic Adenomas In Vivo Using Orthotopic Human Organoids for Early Cancer Detection
Authors: Wu, X;Chen, CW;Jaiswal, S;Chang, TS;Zhang, R;Dame, MK;Duan, Y;Jiang, H;Spence, JR;Hsieh, SY;Wang, TD;
Cancers
Species: Human
Sample Types: Organoids
Applications: Bioassay -
Oncogenic KRAS drives lipo-fibrogenesis to promote angiogenesis and colon cancer progression
Authors: Hsu, WH;LaBella, KA;Lin, Y;Xu, P;Lee, R;Hsieh, CE;Yang, L;Zhou, A;Blecher, JM;Wu, CJ;Lin, K;Shang, X;Jiang, S;Spring, DJ;Xia, Y;Chen, P;Shen, JP;Kopetz, S;DePinho, RA;
Cancer discovery
Species: Xenograft
Sample Types: Whole Cells
Applications: Bioassay -
Defining super-enhancers by highly ranked histone H4 multi-acetylation levels identifies transcription factors associated with glioblastoma stem-like properties
Authors: Das, ND;Chang, JC;Hon, CC;Kelly, ST;Ito, S;Lizio, M;Kaczkowski, B;Watanabe, H;Katsushima, K;Natsume, A;Koseki, H;Kondo, Y;Minoda, A;Umehara, T;
BMC genomics
Species: Human
Sample Types: Whole Cells
Applications: Bioassay -
Target gene regulatory network of miR-497 in angiosarcoma
Authors: Benton, A;Terwilliger, E;Moriarty, NM;Liu, B;Murphy, A;Maluvac, H;Shu, M;Gartenhaus, LE;Janson, ND;Pfeffer, CM;Utturkar, SM;Parkinson, EI;Lanman, NA;Hanna, JA;
bioRxiv : the preprint server for biology
Species: Human
Sample Types: Whole Cells
Applications: Bioassay -
Crosstalk between PARN and EGFR-STAT3 Signaling Facilitates Self-Renewal and Proliferation of Glioblastoma Stem Cells
Authors: Yin, J;Seo, Y;Rhim, J;Jin, X;Kim, TH;Kim, SS;Hong, JH;Gwak, HS;Yoo, H;Park, JB;Kim, JH;
Cancer research
Species: Human
Sample Types: Whole Cells
Applications: Bioassay -
Kirigami electronics for long-term electrophysiological recording of human neural organoids and assembloids
Authors: Yang, X;Forró, C;Li, TL;Miura, Y;Zaluska, TJ;Tsai, CT;Kanton, S;McQueen, JP;Chen, X;Mollo, V;Santoro, F;Pa?ca, SP;Cui, B;
bioRxiv : the preprint server for biology
Species: Human
Sample Types: Organoids
Applications: Bioassay -
Targeting the multidrug and toxin extrusion 1 gene (SLC47A1) sensitizes glioma stem cells to temozolomide
Authors: Batara, DC;Park, SW;Kim, HJ;Choi, SY;Ohn, T;Choi, MC;Park, SI;Kim, SH;
American journal of cancer research
Species: Human
Sample Types: Whole Cells
Applications: Bioassay -
ESRRG-PKM2 axis reprograms metabolism to suppress esophageal squamous carcinoma progression and enhance anti-PD-1 therapy efficacy
Authors: Wang, T;Zhu, Y;Chen, L;Zhang, W;Qi, H;Shi, X;Zhong, M;Chen, H;Li, Q;
Journal of translational medicine
Species: Human
Sample Types: Organoids
Applications: Bioassay -
Modeling Gut Neuro-Epithelial Connections in a Novel Microfluidic Device
Authors: De Hoyos, M;Yu, X;Gonzalez-Suarez, A;Mercado-Perez, A;Krueger, E;Hernandez, J;Druliner, B;Linden, DR;Beyder, A;Chen, S;Fedyshyn, Y;Revzin, A;
Research square
Species: Human
Sample Types: Whole Cells
Applications: Bioassay -
Human Oral Mucosa as a Potentially Effective Source of Neural Crest Stem Cells for Clinical Practice
Authors: Bardag Gorce, F;Al Dahan, M;Narwani, K;Terrazas, J;Ferrini, M;Calhoun, CC;Uyanne, J;Royce-Flores, J;Crum, E;Niihara, Y;
Cells
Species: Human
Sample Types: Cell Culture Supernates
Applications: Bioassay -
High Salt Promotes Inflammatory and Fibrotic Response in Peritoneal Cells
Authors: Pap, D;Pajtók, C;Veres-Székely, A;Szebeni, B;Szász, C;Bokrossy, P;Zrufkó, R;Vannay, Á;Tulassay, T;Szabó, AJ;
International journal of molecular sciences
Species: Human
Sample Types: Whole Cells
Applications: Bioassay -
Girdin regulates both migration and angiogenesis in pancreatic cancer cell lines
Authors: Hayashi, Y;Matsuo, Y;Denda, Y;Nonoyama, K;Murase, H;Ueda, G;Aoyama, Y;Kato, T;Omi, K;Imafuji, H;Saito, K;Morimoto, M;Ogawa, R;Takahashi, H;Mitsui, A;Kimura, M;Takiguchi, S;
Oncology reports
Species: Human
Sample Types: Whole Cells
Applications: Bioassay -
Feasibility of an implantable bioreactor for renal cell therapy using silicon nanopore membranes
Authors: Kim, EJ;Chen, C;Gologorsky, R;Santandreu, A;Torres, A;Wright, N;Goodin, MS;Moyer, J;Chui, BW;Blaha, C;Brakeman, P;Vartanian, S;Tang, Q;David Humes, H;Fissell, WH;Roy, S;
Nature communications
Species: Human
Sample Types: Whole Cells
Applications: Bioassay -
Cross-species analysis identifies mitochondrial dysregulation as a functional consequence of the schizophrenia-associated 3q29 deletion
Authors: Purcell, RH;Sefik, E;Werner, E;King, AT;Mosley, TJ;Merritt-Garza, ME;Chopra, P;McEachin, ZT;Karne, S;Raj, N;Vaglio, BJ;Sullivan, D;Firestein, BL;Tilahun, K;Robinette, MI;Warren, ST;Wen, Z;Faundez, V;Sloan, SA;Bassell, GJ;Mulle, JG;
Science advances
Species: Human
Sample Types: Organoids
Applications: Bioassay -
SETD1A drives stemness by reprograming epigenetic landscape in hepatocellular carcinoma stem cells
Authors: Chen, J;Xu, Z;Huang, H;Tang, Y;Shan, H;Xiao, F;
JCI insight
Species: Human
Sample Types: Whole Cells, Spheroid, Transfected Whole Cells
Applications: Bioassay -
Production of Tissue-Engineered Skin Substitutes for Clinical Applications: Elimination of Serum
Authors: Doucet, EJ;Cortez Ghio, S;Barbier, MA;Savard, É;Magne, B;Safoine, M;Larouche, D;Fradette, J;Germain, L;
International journal of molecular sciences
Species: Human
Sample Types: Whole Cells
Applications: Bioassay -
Origin and segregation of the human germline
Authors: Aracely Castillo-Venzor, Christopher A Penfold, Michael D Morgan, Walfred WC Tang, Toshihiro Kobayashi, Frederick CK Wong et al.
Life Science Alliance
Species: Human
Sample Types: Whole Cells
Applications: Bioassay -
TRIB1 confers therapeutic resistance in GBM cells by activating the ERK and Akt pathways
Authors: Singh, K;Han, C;Fleming, JL;Becker, AP;McElroy, J;Cui, T;Johnson, B;Kumar, A;Sebastian, E;Showalter, CA;Schrock, MS;Summers, MK;Becker, V;Tong, ZY;Meng, X;Manring, HR;Venere, M;Bell, EH;Robe, PA;Grosu, AL;Haque, SJ;Chakravarti, A;
Scientific reports
Species: Human
Sample Types: Whole Cells
Applications: Bioassay -
Circular RNA encoded MET variant promotes glioblastoma tumorigenesis
Authors: Zhong, J;Wu, X;Gao, Y;Chen, J;Zhang, M;Zhou, H;Yang, J;Xiao, F;Yang, X;Huang, N;Qi, H;Wang, X;Bai, F;Shi, Y;Zhang, N;
Nature communications
Species: Human
Sample Types: Whole Cells
Applications: Bioassay -
Endocytic vesicles act as vehicles for glucose uptake in response to growth factor stimulation
Authors: Tsutsumi, R;Ueberheide, B;Liang, FX;Neel, BG;Sakai, R;Saito, Y;
bioRxiv : the preprint server for biology
Species: Mouse
Sample Types: Whole Cells
Applications: Bioassay -
TET1 facilitates specification of early human lineages including germ cells
Authors: Fei-Man Hsu, Qiu Ya Wu, Emily B. Fabyanic, Alex Wei, Hao Wu, Amander T. Clark
iScience
Species: Human
Sample Types: Whole Cells
Applications: Bioassay -
Identification of ligand-receptor pairs that drive human astrocyte development
Authors: Voss, AJ;Lanjewar, SN;Sampson, MM;King, A;Hill, EJ;Sing, A;Sojka, C;Bhatia, TN;Spangle, JM;Sloan, SA;
Nature neuroscience
Species: Human
Sample Types: Organoid
Applications: Bioassay -
Dissecting peri-implantation development using cultured human embryos and embryo-like assembloids
Authors: Ai, Z;Niu, B;Yin, Y;Xiang, L;Shi, G;Duan, K;Wang, S;Hu, Y;Zhang, C;Zhang, C;Rong, L;Kong, R;Chen, T;Guo, Y;Liu, W;Li, N;Zhao, S;Zhu, X;Mai, X;Li, Y;Wu, Z;Zheng, Y;Fu, J;Ji, W;Li, T;
Cell research
Species: Human
Sample Types: Whole Cells
Applications: Bioassay -
METTL3-mediated m6A modification of LINC00839 maintains glioma stem cells and radiation resistance by activating Wnt/ beta -catenin signaling
Authors: Yin, J;Ding, F;Cheng, Z;Ge, X;Li, Y;Zeng, A;Zhang, J;Yan, W;Shi, Z;Qian, X;You, Y;Ding, Z;Ji, J;Wang, X;
Cell death & disease
Species: Human
Sample Types: Whole Cells
Applications: Bioassay -
Targeting GBM with an Oncolytic Picornavirus SVV-001 alone and in combination with fractionated Radiation in a Novel Panel of Orthotopic PDX models
Authors: Zhang, H;Du, Y;Qi, L;Xiao, S;Braun, FK;Kogiso, M;Huang, Y;Huang, F;Abdallah, A;Suarez, M;Karthick, S;Ahmed, NM;Salsman, VS;Baxter, PA;Su, JM;Brat, DJ;Hellenbeck, PL;Teo, WY;Patel, AJ;Li, XN;
Journal of translational medicine
Species: Human
Sample Types: Whole Cells
Applications: Bioassay -
MOBILE pipeline enables identification of context-specific networks and regulatory mechanisms
Authors: Erdem, C;Gross, SM;Heiser, LM;Birtwistle, MR;
Nature communications
Species: Human
Sample Types: Whole Cells
Applications: Bioassay -
Patterning and folding of intestinal villi by active mesenchymal dewetting
Authors: Huycke, TR;Miyazaki, H;Häkkinen, TJ;Srivastava, V;Barruet, E;McGinnis, CS;Kalantari, A;Cornwall-Scoones, J;Vaka, D;Zhu, Q;Jo, H;DeGrado, WF;Thomson, M;Garikipati, K;Boffelli, D;Klein, OD;Gartner, ZJ;
bioRxiv : the preprint server for biology
Species: Human
Sample Types: Organoids
Applications: Bioassay -
Efficient and scalable generation of primordial germ cells in 2D culture using basement membrane extract overlay
Authors: Arend W. Overeem, Yolanda W. Chang, Ioannis Moustakas, Celine M. Roelse, Sanne Hillenius, Talia Van Der Helm et al.
Cell Reports Methods
Species: Human
Sample Types: Whole Cells
Applications: Bioassay -
Polarized RPE Secretome Preserves Photoreceptors in Retinal Dystrophic RCS Rats
Authors: Ahluwalia, K;Martinez-Camarillo, JC;Thomas, BB;Naik, A;Gonzalez-Calle, A;Pollalis, D;Lebkowski, J;Lee, SY;Mitra, D;Louie, SG;Humayun, MS;
Cells
Species: Human
Sample Types: Whole Cells
Applications: Bioassay -
Exploring olfactory receptor family 7 subfamily C member 1 as a novel oral cancer stem cell target for immunotherapy
Authors: Miyamoto, S;Hirohashi, Y;Morita, R;Miyazaki, A;Ogi, K;Kanaseki, T;Ide, K;Shirakawa, J;Tsukahara, T;Murai, A;Sasaya, T;Koike, K;Kina, S;Kawano, T;Goto, T;Ntege, EH;Shimizu, Y;Torigoe, T;
Cancer science
Species: Human
Sample Types: Whole Cells
Applications: Bioassay -
SARS-CoV-2 infection and viral fusogens cause neuronal and glial fusion that compromises neuronal activity
Authors: Martínez-Mármol, R;Giordano-Santini, R;Kaulich, E;Cho, AN;Przybyla, M;Riyadh, MA;Robinson, E;Chew, KY;Amor, R;Meunier, FA;Balistreri, G;Short, KR;Ke, YD;Ittner, LM;Hilliard, MA;
Science advances
Species: Human
Sample Types: Organoid
Applications: Bioassay -
Laryngeal Cartilage Regeneration of Nude Rats by Transplantation of Mesenchymal Stem Cells Derived from Human-Induced Pluripotent Stem Cells
Authors: Mizuno, K;Ohnishi, H;Yoshimatsu, M;Zhao, C;Hayashi, Y;Kuwata, F;Kaba, S;Okuyama, H;Kawai, Y;Hiwatashi, N;Kishimoto, Y;Sakamoto, T;Ikeya, M;Omori, K;
Cell transplantation
Species: Human
Sample Types: Whole Cells
Applications: Bioassay -
Sialylation of EGFR by ST6GAL1 induces receptor activation and modulates trafficking dynamics
Authors: Ankenbauer, KE;Rao, TC;Mattheyses, AL;Bellis, SL;
bioRxiv : the preprint server for biology
Species: Human
Sample Types: Whole Cells
Applications: Bioassay -
Elucidation of HHEX in pancreatic endoderm differentiation using a human iPSC differentiation model
Authors: Ito, R;Kimura, A;Hirose, Y;Hatano, Y;Mima, A;Mae, SI;Keidai, Y;Nakamura, T;Fujikura, J;Nishi, Y;Ohta, A;Toyoda, T;Inagaki, N;Osafune, K;
Scientific reports
Species: Human
Sample Types: Whole Cells
Applications: Bioassay -
SPI1-mediated MIR222HG transcription promotes proneural-to-mesenchymal transition of glioma stem cells and immunosuppressive polarization of macrophages
Authors: Fan, Y;Gao, Z;Xu, J;Wang, H;Guo, Q;Li, B;Li, M;Xu, H;Qi, Y;Zhao, S;Qiu, W;Pan, Z;Wang, Q;Xue, H;Zhao, R;Guo, X;Li, G;
Theranostics
Species: Human
Sample Types: Whole Cells
Applications: Bioassay -
Cross-species transcriptomic analysis identifies mitochondrial dysregulation as a functional consequence of the schizophrenia-associated 3q29 deletion
Authors: RH Purcell, E Sefik, E Werner, AT King, TJ Mosley, ME Merritt-Ga, P Chopra, ZT McEachin, S Karne, N Raj, K Tilahun, M Robinette, ST Warren, Z Wen, V Faundez, SA Sloan, GJ Bassell, JG Mulle
bioRxiv : the preprint server for biology, 2023-05-26;0(0):.
Species: Human
Sample Types: Whole Cells
Applications: Bioassay -
Cooperation of Complement MASP-1 with Other Proinflammatory Factors to Enhance the Activation of Endothelial Cells
Authors: Németh, Z;Debreczeni, ML;Kajdácsi, E;Dobó, J;Gál, P;Cervenak, L;
International journal of molecular sciences
Species: Human
Sample Types: Whole Cells
Applications: Bioassay -
pYtags enable spatiotemporal measurements of receptor tyrosine kinase signaling in living cells
Authors: Farahani, PE;Yang, X;Mesev, EV;Fomby, KA;Brumbaugh-Reed, EH;Bashor, CJ;Nelson, CM;Toettcher, JE;
eLife
Species: Mouse, Human
Sample Types: Transduced Whole Cells, Transfected Whole Cells
Applications: Bioassay -
Lysine catabolism reprograms tumour immunity through histone crotonylation
Authors: Yuan, H;Wu, X;Wu, Q;Chatoff, A;Megill, E;Gao, J;Huang, T;Duan, T;Yang, K;Jin, C;Yuan, F;Wang, S;Zhao, L;Zinn, PO;Abdullah, KG;Zhao, Y;Snyder, NW;Rich, JN;
Nature
Species: Human
Sample Types: Whole Cells
Applications: Bioassay -
Blockage of retinoic acid signaling via RAR? suppressed the proliferation of pancreatic cancer cells by arresting the cell cycle progression of the G1-S phase
Authors: Yamakawa, K;Koyanagi-Aoi, M;Machinaga, A;Kakiuchi, N;Hirano, T;Kodama, Y;Aoi, T;
Cancer cell international
Species: Human
Sample Types: Organoid
Applications: Cell Culture -
Cytosolic EpCAM cooperates with H-Ras to regulate epithelial to mesenchymal transition through ZEB1
Authors: Omar, FA;Brown, TC;Gillanders, WE;Fleming, TP;Smith, MA;Bremner, RM;Sankpal, NV;
PloS one
Species: Human
Sample Types: Whole Cells
Applications: Bioassay -
Spatial genomic, biochemical, and cellular mechanisms drive meningioma heterogeneity and evolution
Authors: Lucas, CH;Mirchia, K;Seo, K;Najem, H;Chen, W;Zakimi, N;Choudhury, A;Liu, SJ;Phillips, J;Magill, S;Horbinski, C;Solomon, D;Perry, A;Vasudevan, H;Heimberger, A;Raleigh, D;
Research square
Species: Human
Sample Types: Whole Cells
Applications: Bioassay -
7SK methylation by METTL3 promotes transcriptional activity
Authors: Perez-Pepe, M;Desotell, AW;Li, H;Li, W;Han, B;Lin, Q;Klein, DE;Liu, Y;Goodarzi, H;Alarc�n, CR;
Science advances
Species: Human
Sample Types: Whole Cells, Transfected Whole Cells
Applications: Bioassay -
Mitochondrial citrate metabolism and efflux regulate BeWo differentiation
Authors: Mahr, RM;Jena, S;Nashif, SK;Nelson, AB;Rauckhorst, AJ;Rome, FI;Sheldon, RD;Hughey, CC;Puchalska, P;Gearhart, MD;Taylor, EB;Crawford, PA;Wernimont, SA;
Scientific reports
Species: Human
Sample Types: Whole Cells
Applications: Bioassay -
Crystalline silica-exposed human lung epithelial cells presented enhanced anchorage-independent growth with upregulated expression of BRD4 and EZH2 in autocrine and paracrine manners
Authors: Katabami, M;Kinoshita, I;Ariga, S;Shimizu, Y;Dosaka-Akita, H;
PloS one
Species: Human
Sample Types: Whole Cells
Applications: Bioassay -
Organoid modeling of lung-resident immune responses to SARS-CoV-2 infection
Authors: Kuo, C;Choi, S;van Unen, V;Zhang, H;Rustagi, A;Alwahabi, S;Santos, A;Chan, J;Lam, B;Solis, D;Mah, J;R�ltgen, K;Trope, W;Guh-Siesel, A;Lin, Z;Beck, A;Edwards, C;Mallajosyula, V;Martin, B;Dunn, J;Shrager, J;Baric, R;Pinsky, B;Boyd, S;Blish, C;Davis, M;
Research square
Species: Human
Sample Types: Tissue Homogenates
Applications: Bioassay -
Opposing roles for TGF?- and BMP-signaling during nascent alveolar differentiation in the developing human lung
Authors: Frum, T;Hsu, PP;Hein, RFC;Conchola, AS;Zhang, CJ;Utter, OR;Anand, A;Zhang, Y;Clark, SG;Glass, I;Sexton, JZ;Spence, JR;
bioRxiv : the preprint server for biology
Species: Human
Sample Types: Organoids
Applications: Bioassay -
Engineering Adenoviral Vectors with Improved GBM Selectivity
Authors: Bates, EA;Lovatt, C;Plein, AR;Davies, JA;Siebzehnrubl, FA;Parker, AL;
Viruses
Species: Human
Sample Types: Whole Cells
Applications: Bioassay -
Generation of gastirc insulin-secreting organoids from human stomach sample
Authors: Huang, X;Zhou, Q;
Research square
Species: Human
Sample Types: Whole Cells
Applications: Bioassay -
Developmental and hormonal regulation of FBN1 and OR4M1 mRNA in bovine granulosa cells
Authors: Maylem, ERS;Spicer, LJ;Batalha, IM;Sch�tz, LF;
Domestic animal endocrinology
Species: Bovine
Sample Types: Whole Cells
Applications: Bioassay -
Organoids from mouse molar and incisor as new tools to study tooth-specific biology and development
Authors: F Hermans, L Hemeryck, C Bueds, M Torres Per, S Hasevoets, H Kobayashi, D Lambrechts, I Lambrichts, A Bronckaers, H Vankelecom
Stem Cell Reports, 2023-04-20;18(5):1166-1181.
Species: Mouse
Sample Types: Whole Cell
Applications: Bioassay -
Syngeneic mouse model of human HER2+ metastatic breast cancer for the evaluation of trastuzumab emtansine combined with oncolytic rhabdovirus
Authors: Zaid Taha, Mathieu J.F. Crupi, Nouf Alluqmani, Faiha Fareez, Kristy Ng, Judy Sobh et al.
Frontiers in Immunology
Species: Human
Sample Types: Whole Cells
Applications: Bioassay -
Preclinical Studies with Glioblastoma Brain Organoid Co-Cultures Show Efficient 5-ALA Photodynamic Therapy
Authors: Pedrosa, L;Bedia, C;Diao, D;Mosteiro, A;Ferr�s, A;Stanzani, E;Mart�nez-Soler, F;Tortosa, A;Pineda, E;Aldecoa, I;Centellas, M;Mu�oz-Tudur�, M;Sevilla, A;Sierra, �;Gonz�lez S�nchez, JJ;
Cells
Species: Human
Sample Types: Organoids
Applications: Bioassay -
PTPN2 Is a Critical Regulator of Ileal Paneth Cell Viability and Function in Mice
Authors: Vinicius Canale, Marianne R. Spalinger, Rocio Alvarez, Anica Sayoc-Becerra, Golshid Sanati, Salomon Manz et al.
Cellular and Molecular Gastroenterology and Hepatology
Species: Transgenic Mouse
Sample Types: Whole Cells
Applications: Bioassay -
PGC-1alpha degradation suppresses mitochondrial biogenesis to confer radiation resistance in glioma
Authors: M Zhao, Y Li, C Lu, F Ding, M Xu, X Ge, M Li, Z Wang, J Yin, J Zhang, X Wang, Z Ge, H Xiao, Y Xiao, H Liu, W Liu, Y Cao, Q Wang, Y You, X Wang, K Yang, Z Shi, X Qian
Cancer Research, 2023-04-04;0(0):.
Species: Human
Sample Types: Whole Cells
Applications: Bioassay -
Astrocytes mediate cell non-autonomous correction of aberrant firing in human FXS neurons
Authors: SD Sharma, BK Reddy, R Pal, TE Ritakari, JD Cooper, BT Selvaraj, PC Kind, S Chandran, DJA Wyllie, S Chattarji
Cell Reports, 2023-04-04;42(4):112344.
Species: Human
Sample Types: Whole Cells
Applications: Bioassay -
Fibroblast-derived EGF ligand Neuregulin-1 induces fetal-like reprogramming of the intestinal epithelium without supporting tumorigenic growth
Authors: TT Lemmetyine, EW Viitala, L Wartiovaar, T Kaprio, J Hagström, C Haglund, P Katajisto, TC Wang, E Domènech-M, S Ollila
Disease Models & Mechanisms, 2023-04-03;0(0):.
Species: Mouse
Sample Types: Organoid
Applications: Bioassay -
Effect of LGR4/EGFR signaling on cell growth and cancer stem cell-like characteristics in liver cancer
Authors: Y Liu, Y Zhang, S Chen, X Zhong, Q Liu
Cytokine, 2023-03-29;165(0):156185.
Species: Human, Xenograft
Sample Types: In Vivo, Spheroid
Applications: Bioassay, In Vivo -
IGFBP5 is an ROR1 ligand promoting glioblastoma invasion via ROR1/HER2-CREB signaling axis
Authors: W Lin, R Niu, SM Park, Y Zou, SS Kim, X Xia, S Xing, Q Yang, X Sun, Z Yuan, S Zhou, D Zhang, HJ Kwon, S Park, C Il Kim, H Koo, Y Liu, H Wu, M Zheng, H Yoo, B Shi, JB Park, J Yin
Nature Communications, 2023-03-22;14(1):1578.
Species: Human
Sample Types: Whole Cells
Applications: Bioassay -
Sorting-nexin-10 sustains platelet-derived growth factor receptor signaling in glioblastoma stem cells via endosomal protein sorting
Authors: RC Gimple, G Zhang, S Wang, T Huang, J Lee, S Taori, D Lv, D Dixit, ME Halbert, AR Morton, RL Kidwell, Z Dong, BC Prager, L Kim, Z Qiu, L Zhao, Q Xie, Q Wu, S Agnihotri, JN Rich
JCI Insight, 2023-03-22;0(0):.
Species: Human
Sample Types: Whole Cells
Applications: Bioassay -
Expanding the Chemical Space of Arsenicin A-C Related Polyarsenicals and Evaluation of Some Analogs as Inhibitors of Glioblastoma Stem Cell Growth
Authors: J Vigna, D Sighel, EF Rosatti, A Defant, M Pancher, V Sidarovich, A Quattrone, I Mancini
Marine Drugs, 2023-03-17;21(3):.
Species: Human
Sample Types: Whole Cells
Applications: Bioassay -
Tellu: an object detector algorithm for automatic classification of intestinal organoids
Authors: E Domènech-M, A Brandt, TT Lemmetyine, L Wartiovaar, TP Mäkelä, S Ollila
Disease Models & Mechanisms, 2023-03-13;0(0):.
Species: Mouse
Sample Types: Organoid
Applications: Bioassay -
Induction of primordial germ cell-like cells from common marmoset embryonic stem cells by inhibition of WNT and retinoic acid signaling
Authors: M Shono, K Kishimoto, O Hikabe, M Hayashi, K Semi, Y Takashima, E Sasaki, K Kato, K Hayashi
Scientific Reports, 2023-02-23;13(1):3186.
Species: Human
Sample Types: Transfected Whole Cells
Applications: Bioassay -
Natural variation in gene expression and viral susceptibility revealed by neural progenitor cell villages
Authors: MF Wells, J Nemesh, S Ghosh, JM Mitchell, MR Salick, CJ Mello, D Meyer, O Pietilaine, F Piccioni, EJ Guss, K Raghunatha, M Tegtmeyer, D Hawes, A Neumann, KA Worringer, D Ho, S Kommineni, K Chan, BK Peterson, JJ Raymond, JT Gold, MT Siekmann, E Zuccaro, R Nehme, A Kaykas, K Eggan, SA McCarroll
Cell Stem Cell, 2023-02-15;0(0):.
Species: Human
Sample Types: Whole Cells
Applications: Bioassay -
Circadian regulator CLOCK promotes tumor angiogenesis in glioblastoma
Authors: L Pang, M Dunterman, W Xuan, A Gonzalez, Y Lin, WH Hsu, F Khan, RS Hagan, WA Muller, AB Heimberger, P Chen
Cell Reports, 2023-02-14;42(2):112127.
Species: Human
Sample Types: Whole Cells
Applications: Bioassay -
Pervasive environmental chemicals impair oligodendrocyte development
Authors: EF Cohn, BLL Clayton, M Madhavan, S Yacoub, Y Federov, K Paul-Fried, TJ Shafer, PJ Tesar
bioRxiv : the preprint server for biology, 2023-02-12;0(0):.
Species: Human
Sample Types: Organoid
Applications: Bioassay -
Extracellular Vesicle Treatment Alleviates Neurodevelopmental and Neurodegenerative Pathology in Cortical Spheroid Model of Down Syndrome
Authors: NB Campbell, Y Patel, TL Moore, M Medalla, E Zeldich
International Journal of Molecular Sciences, 2023-02-09;24(4):.
Species: Human
Sample Types: Spheroid
Applications: Bioassay -
Activation of AKT induces EZH2-mediated beta-catenin trimethylation in colorectal cancer
Authors: AH Ghobashi, TT Vuong, JW Kimani, HM O'Hagan
bioRxiv : the preprint server for biology, 2023-02-04;0(0):.
Species: Human
Sample Types: Organoids
Applications: Bioassay -
Bifurcated Asymmetric Field Flow Fractionation of Nanoparticles in PDMS-Free Microfluidic Devices for Applications in Label-Free Extracellular Vesicle Separation
Authors: M Priedols, G Paidere, CB Santos, A Miscenko, RG Bergmanis, A Spule, B Bekere, G Mozolevski, A Abols, R Rimsa
Polymers, 2023-02-04;15(4):.
Species: Human
Sample Types: Whole Cells
Applications: Bioassay -
Combined PD-1, BRAF and MEK inhibition in BRAFV600E colorectal cancer: a phase 2 trial
Authors: J Tian, JH Chen, SX Chao, K Pelka, M Giannakis, J Hess, K Burke, V Jorgji, P Sindurakar, J Braverman, A Mehta, T Oka, M Huang, D Lieb, M Spurrell, JN Allen, TA Abrams, JW Clark, AC Enzinger, PC Enzinger, SJ Klempner, NJ McCleary, JA Meyerhardt, DP Ryan, MB Yurgelun, K Kanter, EE Van Sevent, I Baiev, G Chi, J Jarnagin, WB Bradford, E Wong, AG Michel, IJ Fetter, G Siravegna, AJ Gemma, A Sharpe, S Demehri, R Leary, CD Campbell, O Yilmaz, GA Getz, AR Parikh, N Hacohen, RB Corcoran
Nature Medicine, 2023-01-26;0(0):.
Species: Human
Sample Types: Organoids
Applications: Bioassay -
Hypoxia-tolerant apical-out intestinal organoids to model host-microbiome interactions
Authors: P Kakni, B Jutten, D Teixeira O, J Penders, R Truckenmül, P Habibovic, S Giselbrech
Journal of tissue engineering, 2023-01-18;14(0):2041731422114.
Species: Human
Sample Types: Whole Cells
Applications: Bioassay -
The Generation of Human iPSC Lines from Three Individuals with Dravet Syndrome and Characterization of Neural Differentiation Markers in iPSC-Derived Ventral Forebrain Organoid Model
Authors: V Zayat, Z Kuczynska, M Liput, E Metin, S Rzonca-Nie, M Smyk, T Mazurczak, A Goszczansk, P Leszczynsk, D Hoffman-Za, L Buzanska
Cells, 2023-01-16;12(2):.
Species: Human
Sample Types: Whole Cells
Applications: Bioassay -
Effects of a monoclonal antibody against (pro)renin receptor on gliomagenesis
Authors: T Fujimori, Y Shibayama, T Kanda, K Suzuki, D Ogawa, R Ishikawa, K Kadota, T Matsunaga, T Tamiya, A Nishiyama, K Miyake
Scientific Reports, 2023-01-16;13(1):808.
Species: Human
Sample Types: Whole Cells
Applications: Cell Culture -
Targeting TBK1 to overcome resistance to cancer immunotherapy
Authors: Y Sun, OY Revach, S Anderson, EA Kessler, CH Wolfe, A Jenney, CE Mills, EJ Robitschek, TGR Davis, S Kim, A Fu, X Ma, J Gwee, P Tiwari, PP Du, P Sindurakar, J Tian, A Mehta, AM Schneider, K Yizhak, M Sade-Feldm, T LaSalle, T Sharova, H Xie, S Liu, WA Michaud, R Saad-Beret, KB Yates, A Iracheta-V, JKE Spetz, X Qin, KA Sarosiek, G Zhang, JW Kim, MY Su, AM Cicerchia, MQ Rasmussen, SJ Klempner, D Juric, SI Pai, DM Miller, A Giobbie-Hu, JH Chen, K Pelka, DT Frederick, S Stinson, E Ivanova, AR Aref, CP Paweletz, DA Barbie, DR Sen, DE Fisher, RB Corcoran, N Hacohen, PK Sorger, KT Flaherty, GM Boland, RT Manguso, RW Jenkins
Nature, 2023-01-12;0(0):.
Species: Human
Sample Types: Organoids
Applications: Bioassay -
Mutations in the transcriptional regulator MeCP2 severely impact key cellular and molecular signatures of human astrocytes during maturation
Authors: J Sun, S Osenberg, A Irwin, LH Ma, N Lee, Y Xiang, F Li, YW Wan, IH Park, M Maletic-Sa, N Ballas
Cell Reports, 2023-01-05;42(1):111942.
Species: Human
Sample Types: Organoid
Applications: Bioassay -
Functional characterization of acid-sensing ion channels in the cerebellum-originating medulloblastoma cell line DAOY and in cerebellar granule neurons
Authors: Pissas, K;Schilling, M;Tian, Y;Gründer, S;
Research Square
Species: Human
Sample Types: Whole Cells
Applications: Bioassay -
Biofabrication of synthetic human liver tissue with advanced programmable functions
Authors: Rodrigo M. Florentino, Kazutoyo Morita, Nils Haep, Takashi Motomura, Ricardo Diaz-Aragon, Lanuza A.P. Faccioli et al.
iScience
Species: Human
Sample Types: Transduced Whole Cells
Applications: Bioassay -
Glucocorticoid-induced microRNA-378 signaling mediates the progression of pancreatic cancer by enhancing autophagy
Authors: L Liu, S Han, X Xiao, X An, J Gladkich, U Hinz, S Hillmer, T Hoppe-Tich, Y Xu, M Schaefer, O Strobel, I Herr
Cell Death & Disease, 2022-12-19;13(12):1052.
Species: Human
Sample Types: Whole Cells
Applications: Bioassay -
Glioblastoma cells have increased capacity to repair radiation-induced DNA damage after migration to the olfactory bulb
Authors: C Degorre, IC Sutton, SL Lehman, UT Shankavara, K Camphausen, PJ Tofilon
Cancer Cell International, 2022-12-08;22(1):389.
Species: Human
Sample Types: Whole Cells
Applications: Cell Culture -
Human iPSC-hepatocyte modeling of alpha-1 antitrypsin heterozygosity reveals metabolic dysregulation and cellular heterogeneity
Authors: JE Kaserman, RB Werder, F Wang, T Matte, MI Higgins, M Dodge, J Lindstrom-, P Bawa, A Hinds, E Bullitt, IS Caballero, X Shi, RE Gerszten, N Brunetti-P, M Liesa, C Villacorta, AN Hollenberg, DN Kotton, AA Wilson
Cell Reports, 2022-12-06;41(10):111775.
Species: Human
Sample Types: Whole Cells
Applications: Bioassay -
Stem-Cell-Derived beta-Like Cells with a Functional PTPN2 Knockout Display Increased Immunogenicity
Authors: TM Triolo, JQ Matuschek, R Castro-Gut, AH Shilleh, SPM Williams, MS Hansen, K McDaniel, JM Barra, A Michels, HA Russ
Cells, 2022-11-30;11(23):.
Species: Human
Sample Types: Whole Cells
Applications: Differentiation, Differentiation -
Streptogramin A derivatives as mitochondrial translation inhibitors to suppress glioblastoma stem cell growth
Authors: D Sighel, G Battistini, EF Rosatti, J Vigna, M Pavan, R Belli, D Peroni, F Alessandri, S Longhi, M Pancher, J Rorbach, S Moro, A Quattrone, I Mancini
European Journal of Medicinal Chemistry, 2022-11-30;246(0):114979.
Species: Human
Sample Types: Whole Cells
Applications: Bioassay -
The oncogenic JAG1 intracellular domain is a transcriptional cofactor that acts in concert with DDX17/SMAD3/TGIF2
Authors: EJ Kim, JY Kim, SO Kim, N Hong, SH Choi, MG Park, J Jang, SW Ham, S Seo, SY Lee, K Lee, HJ Jeong, SJ Kim, S Jeong, K Min, SC Kim, X Jin, SH Kim, SH Kim, H Kim
Cell Reports, 2022-11-22;41(8):111626.
Species: Human, Transgenic Mouse
Sample Types: Whole Cells
Applications: Bioassay -
Tumor-associated macrophages promote resistance of hepatocellular carcinoma cells against sorafenib by activating CXCR2 signaling
Authors: HC Wang, LY Haung, CJ Wang, YJ Chao, YC Hou, CJ Yen, YS Shan
Journal of Biomedical Science, 2022-11-21;29(1):99.
Species: Human
Sample Types: Whole Cells
Applications: Bioassay -
Generation and cryopreservation of feline oviductal organoids
Authors: RE Thompson, MA Meyers, C Premananda, FK Hollinshea
Theriogenology, 2022-11-17;196(0):167-173.
Species: Feline
Sample Types: Organoids
Applications: Bioassay -
Estrone, the major postmenopausal estrogen, binds ERa to induce SNAI2, epithelial-to-mesenchymal transition, and ER+ breast cancer metastasis
Authors: R Qureshi, M Picon-Ruiz, M Sho, D Van Booven, V Nunes de P, AB Diaz-Ruano, TA Ince, J Slingerlan
Cell Reports, 2022-11-15;41(7):111672.
-
7beta-22 Dihydroxyhopane, Isolated from the Sub-Antarctic Lichen, Inhibits the Viability and Stemness in Glioma Stem Like Cells
Authors: HJ Kim, SS Suh, J Park, MJ Shin, MH Koo, SJ Lee, YJ Jeon, S Lee, UJ Youn, SH Kim
OncoTargets and Therapy, 2022-11-15;15(0):1375-1383.
Species: Human
Sample Types: Whole Cells
Applications: Bioassay -
Loss of mismatch repair promotes a direct selective advantage in human stem cells
Authors: K Madden-Hen, D Gupta, AA Radecki, C Guild, A Rath, CD Heinen
Stem Cell Reports, 2022-11-10;0(0):.
Species: Human
Sample Types: Whole Cells
Applications: Bioassay -
The balance between NANOG and SOX17 mediated by TET proteins regulates specification of human primordial germ cell fate
Authors: Z Li, F Fang, Y Long, Q Zhao, X Wang, Z Ye, T Meng, X Gu, W Xiang, C Xiong, H Li
Cell & bioscience, 2022-11-04;12(1):181.
Species: Human
Sample Types: Whole Cells
Applications: Bioassay -
Long noncoding RNA-mediated activation of PROTOR1/PRR5-AKT signaling shunt downstream of PI3K in�triple-negative breast cancer
Authors: Z Tu, Y Hu, D Raizada, MA Bassal, DG Tenen, AE Karnoub
Proceedings of the National Academy of Sciences of the United States of America, 2022-10-21;119(43):e2203180119.
Species: Human
Sample Types: Whole Cells
Applications: Bioassay -
Long-term maintenance of human endometrial epithelial stem cells and their therapeutic effects on intrauterine adhesion
Authors: W He, X Zhu, A Xin, H Zhang, Y Sun, H Xu, H Li, T Yang, D Zhou, H Yan, X Sun
Cell & bioscience, 2022-10-18;12(1):175.
Species: Human
Sample Types: Whole Cells
Applications: Bioassay -
Crocetin protects against mitochondrial damage induced by UV-A irradiation in corneal epithelial cell line HCE-T cells
Authors: W Otsu, T Yako, E Sugisawa, S Nakamura, H Tsusaki, N Umigai, M Shimazawa, H Hara
Journal of pharmacological sciences, 2022-10-14;150(4):279-288.
Species: Human
Sample Types: Whole Cells
Applications: Bioassay -
Maturation and circuit integration of transplanted human cortical organoids
Authors: O Revah, F Gore, KW Kelley, J Andersen, N Sakai, X Chen, MY Li, F Birey, X Yang, NL Saw, SW Baker, ND Amin, S Kulkarni, R Mudipalli, B Cui, S Nishino, GA Grant, JK Knowles, M Shamloo, JR Huguenard, K Deisseroth, SP Pa?ca
Nature, 2022-10-12;610(7931):319-326.
Species: Human
Sample Types: Spheroid
Applications: Bioassay -
Efficient Gene Expression in Human Stem Cell Derived-Cortical Organoids Using Adeno Associated Virus
Authors: AN Cho, F Bright, N Morey, C Au, LM Ittner, YD Ke
Cells, 2022-10-11;11(20):.
Species: Human
Sample Types: Organoid
Applications: Bioassay -
The HASTER lncRNA promoter is a cis-acting transcriptional stabilizer of HNF1A
Authors: A Beucher, I Miguel-Esc, D Balboa, MG De Vas, MA Maestro, J Garcia-Hur, A Bernal, R Gonzalez-F, P Vargiu, H Heyn, P Ravassard, S Ortega, J Ferrer
Nature Cell Biology, 2022-10-06;0(0):.
Species: Human
Sample Types: Whole Cells
Applications: Bioassay -
Cross-lineage potential of Ascl1 uncovered by comparing diverse reprogramming regulatomes
Authors: H Wang, B Keepers, Y Qian, Y Xie, M Colon, J Liu, L Qian
Cell Stem Cell, 2022-10-06;29(10):1491-1504.e9.
Species: Mouse
Sample Types: Whole Cells
Applications: Bioassay -
Computational modeling implicates protein scaffolding in p38 regulation of Akt
Authors: PC Kinnunen, GD Luker, KE Luker, JJ Linderman
Journal of theoretical biology, 2022-10-01;555(0):111294.
Species: Human
Sample Types: Transfected Whole Cells
Applications: Bioassay -
Nuclear Factor I-C Regulates Stemness Genes and Proliferation of Stem Cells in Various Mineralized Tissue through Epithelial-Mesenchymal Interactions in Dental Epithelial Stem Cells
Authors: DS Lee, YJ Song, HR Gug, JH Lee, HS Bae, JC Park
Stem Cells International, 2022-09-27;2022(0):1092184.
Species: Mouse
Sample Types: Whole Cells
Applications: Cell Culture -
Antibody targeting of E3 ubiquitin ligases for receptor degradation
Authors: H Marei, WK Tsai, YS Kee, K Ruiz, J He, C Cox, T Sun, S Penikalapa, P Dwivedi, M Choi, D Kan, P Saenz-Lope, K Dorighi, P Zhang, YT Kschonsak, N Kljavin, D Amin, I Kim, AG Mancini, T Nguyen, C Wang, E Janezic, A Doan, E Mai, H Xi, C Gu, M Heinlein, B Biehs, J Wu, I Lehoux, S Harris, L Comps-Agra, D Seshasayee, FJ de Sauvage, M Grimmer, J Li, NJ Agard, F de Sousa E
Nature, 2022-09-21;610(7930):182-189.
Species: Human
Sample Types: Organoid
Applications: Bioassay -
CDK4/6 inhibition enhances oncolytic virus efficacy by potentiating tumor-selective cell killing and T cell activation in refractory glioblastoma
Authors: D Guo, J Xiao, J Liang, J Fan, P Hou, X Li, H Zhang, K Li, L Bu, P Li, M He, Y Zhong, L Guo, P Jia, Q Xiao, J Wu, H Peng, C Li, F Xing
Cancer Research, 2022-09-16;0(0):.
Species: Human
Sample Types: Whole Cells
Applications: Bioassay -
beta2-microglobulin maintains glioblastoma stem cells and induces M2-like polarization of tumor-associated macrophages
Authors: D Li, Q Zhang, L Li, K Chen, J Yang, D Dixit, RC Gimple, S Ci, C Lu, L Hu, J Gao, D Shan, Y Li, J Zhang, ZM Shi, D Gu, W Yuan, Q Wu, K Yang, L Zhao, Z Qiu, D Lv, W Gao, H Yang, F Lin, Q Wang, J Man, C Li, W Tao, S Agnihotri, X Qian, Y Shi, Y You, N Zhang, JN Rich, X Wang
Oncogene, 2022-09-16;0(0):.
Species: Human
Sample Types: Whole Cells
Applications: Bioassay -
Pharmacological targeting of TFIIH suppresses KRAS mutant pancreatic ductal adenocarcinoma and synergizes with TRAIL
Authors: R Moser, J Annis, O Nikolova, CJ Whatcott, KE Gurley, E Mendez, K Moran-Jone, C Dorrell, RC Sears, CJ Kuo, H Han, AV Biankin, C Grandori, DD Von Hoff, CJ Kemp
Cancer Research, 2022-09-16;0(0):.
Species: Human
Sample Types: Organoids
Applications: Bioassay -
Effects of a novel hepatitis B anti-viral drug E-CFCP in renal organic acid transporters
Authors: M Ishibane, H Hashimoto, M Kaneko, S Saito, S Pae, S Saito, Y Reien, Y Hirayama, N Higashi-Ku, H Mitsuya, N Anzai
Journal of pharmacological sciences, 2022-09-16;150(4):201-203.
Species: Transgenic Mouse
Sample Types: Cells
Applications: Bioassay -
Epithelial JAM-A is fundamental for intestinal wound repair in-vivo
Authors: S Fan, K Boerner, CK Muraleedha, A Nusrat, M Quiros, CA Parkos
JCI Insight, 2022-09-08;0(0):.
Species: Mouse
Sample Types: Organoid
Applications: Bioassay -
Influence of the Postmortem/Storage Time of Human Corneas on the Properties of Cultured Limbal Epithelial Cells
Authors: G Le-Bel, P Desjardins, C Gross, S Cortez Ghi, C Couture, L Germain, SL Guérin
Cells, 2022-08-31;11(17):.
Species: Human
Sample Types: Whole Cells
Applications: Bioassay -
Organoids capture tissue-specific innate lymphoid cell development in mice and humans
Authors: GM Jowett, E Read, LB Roberts, D Coman, M Vilà Gonzá, T Zabinski, U Niazi, R Reis, TJ Trieu, D Danovi, E Gentleman, L Vallier, MA Curtis, GM Lord, JF Neves
Cell Reports, 2022-08-30;40(9):111281.
Species: Mouse
Sample Types: Organoid
Applications: Bioassay -
Combination of Ad-SGE-REIC and bevacizumab modulates glioma progression by suppressing tumor invasion and angiogenesis
Authors: Y Hattori, K Kurozumi, Y Otani, A Uneda, N Tsuboi, K Makino, S Hirano, K Fujii, Y Tomita, T Oka, Y Matsumoto, Y Shimazu, H Michiue, H Kumon, I Date
PLoS ONE, 2022-08-25;17(8):e0273242.
Species: Human
Sample Types: Whole Cells
Applications: Bioassay -
Exposure to e-cigarette vapor extract induces vocal fold epithelial injury and triggers intense mucosal remodeling
Authors: V Lungova, K Wendt, SL Thibeault
Oncogene, 2022-08-23;0(0):.
Species: Human
Sample Types: Whole Cells
Applications: Bioassay -
Activation of ADRB2/PKA Signaling Pathway Facilitates Lipid Synthesis in Meibocytes, and Beta-Blocker Glaucoma Drug Impedes PKA-Induced Lipid Synthesis by Inhibiting ADRB2
Authors: I Jun, YJ Choi, BR Kim, KY Seo, TI Kim
International Journal of Molecular Sciences, 2022-08-22;23(16):.
Species: Human
Sample Types: Whole Cells
Applications: Cell Culture -
Differential gene expression in iPSC-derived human intestinal epithelial cell layers following exposure to two concentrations of butyrate, propionate and acetate
Authors: M Grouls, AWF Janssen, LPM Duivenvoor, GJEJ Hooiveld, H Bouwmeeste, M van der Za
Scientific Reports, 2022-08-17;12(1):13988.
Species: Human
Sample Types: Whole Cells
Applications: Bioassay -
Differentially expression and function of circular RNAs in ovarian cancer stem cells
Authors: EJ Sohn
Journal of ovarian research, 2022-08-17;15(1):97.
Species: Human
Sample Types: Whole Cells
Applications: Cell Culture -
Engineered extracellular vesicles with high collagen-binding affinity present superior in situ retention and therapeutic efficacy in tissue repair
Authors: D Hao, L Lu, H Song, Y Duan, J Chen, R Carney, JJ Li, P Zhou, J Nolta, KS Lam, JK Leach, DL Farmer, A Panitch, A Wang
Theranostics, 2022-08-08;12(13):6021-6037.
Species: Human
Sample Types: Whole Cells
Applications: Cell Culture -
In-Vitro Use of Verteporfin for Photodynamic Therapy in Glioblastoma
Authors: S Jeising, G Geerling, R Guthoff, D Hänggi, M Sabel, M Rapp, AC Nickel
Photodiagnosis and photodynamic therapy, 2022-08-04;0(0):103049.
Species: Human
Sample Types: Whole Cells
Applications: Bioassay -
EGF promotes PKM2 O-GlcNAcylation by stimulating O-GlcNAc transferase phosphorylation at Y976 and their subsequent association
Authors: Y Wang, H Shu, J Liu, X Jin, L Wang, Y Qu, M Xia, P Peng, Y Feng, M Wei
The Journal of Biological Chemistry, 2022-08-03;0(0):102340.
Species: Human
Sample Types: Whole Cells
Applications: Bioassay -
Cardioprotection of Klotho against myocardial infarction-induced heart failure through inducing autophagy
Authors: K Wang, Z Li, Y Li, X Liu, Y Sun, J Hong, Y Ding, W Zheng, L Qian, D Xu
Mechanisms of Ageing and Development, 2022-08-03;207(0):111714.
Species: Mouse
Sample Types: In Vivo
Applications: In Vivo -
Interplay Between Chemotherapy-Activated Cancer Associated Fibroblasts and Cancer Initiating Cells Expressing CD44v6 Promotes Colon Cancer Resistance
Authors: Shibnath Ghatak, Vincent C. Hascall, Nikos Karamanos, Roger R. Markwald, Suniti Misra
Frontiers in Oncology
Species: Human
Sample Types: Whole Cells
Applications: Flow Cytometry -
PI3K drives the de novo synthesis of coenzyme A from vitamin B5
Authors: CC Dibble, SA Barritt, GE Perry, EC Lien, RC Geck, SE DuBois-Coy, D Bartee, TT Zengeya, EB Cohen, M Yuan, BD Hopkins, JL Meier, JG Clohessy, JM Asara, LC Cantley, A Toker
Nature, 2022-07-27;608(7921):192-198.
Species: Human
Sample Types: Whole Cells
Applications: Bioassay -
Sox9 directs divergent epigenomic states in brain tumor subtypes
Authors: D Sardar, HC Chen, A Reyes, S Varadharaj, A Jain, C Mohila, R Curry, B Lozzi, K Rajendran, A Cervantes, K Yu, A Jalali, G Rao, SC Mack, B Deneen
Oncogene, 2022-07-15;119(29):e2202015119.
Species: Mouse
Sample Types: Whole Cells
Applications: Bioassay -
Sec61 Inhibitor Apratoxin S4 Potently Inhibits SARS-CoV-2 and Exhibits Broad-Spectrum Antiviral Activity
Authors: Marie O. Pohl, Laura Martin-Sancho, Ranjala Ratnayake, Kris M. White, Laura Riva, Qi-Yin Chen et al.
ACS Infectious Diseases
Species: Human
Sample Types: Whole Cells
Applications: Bioassay -
Synchronous intracellular delivery of EGFR-targeted antibody-drug conjugates by p38-mediated non-canonical endocytosis
Authors: JI Takahashi, S Nakamura, I Onuma, Y Zhou, S Yokoyama, H Sakurai
Scientific Reports, 2022-07-07;12(1):11561.
Species: Human
Sample Types: Whole Cells
Applications: Bioassay -
Long noncoding RNA Smyca coactivates TGF-beta/Smad and Myc pathways to drive tumor progression
Authors: HY Chen, SJ Chan, X Liu, AC Wei, RI Jian, KW Huang, YD Lang, JH Shih, CC Liao, CL Luan, YT Kao, SY Chiang, PW Hsiao, YS Jou, Y Chen, RH Chen
Journal of hematology & oncology, 2022-07-06;15(1):85.
Species: Human
Sample Types: Spheroids
Applications: Bioassay -
Neutralizing Antibodies to Human Cytomegalovirus Recombinant Proteins Reduce Infection in an Ex Vivo Model of Developing Human Placentas
Authors: T Tabata, M Petitt, J Li, X Chi, W Chen, I Yurgelonis, S Wellnitz, S Bredl, T Vicente, X Yang, PR Dormitzer, L Pereira
Vaccines, 2022-07-04;10(7):.
Species: Human
Sample Types: Whole Cells
Applications: Bioassay -
Dexamethasone Promotes a Stem-Like Phenotype in Human Melanoma Cells via Tryptophan 2,3 Dioxygenase
Authors: M Cecchi, A Mannini, A Lapucci, A Silvano, M Lulli, C Luceri, M D'Ambrosio, A Chiarugi, AH Eid, A Parenti
Frontiers in Pharmacology, 2022-06-30;13(0):911019.
Species: Human
Sample Types: Whole Cells
Applications: Bioassay -
PIK3R3, a regulatory subunit of PI3K, modulates ovarian cancer stem cells and ovarian cancer development and progression by integrative analysis
Authors: EJ Sohn
BMC Cancer, 2022-06-27;22(1):708.
Species: Human
Sample Types: Organoid
Applications: Bioassay -
Cytoplasmic LMO2-LDB1 Complex Activates STAT3 Signaling through Interaction with gp130-JAK in Glioma Stem Cells
Authors: CG Park, SH Choi, SY Lee, K Eun, MG Park, J Jang, HJ Jeong, SJ Kim, S Jeong, K Lee, H Kim
Cells, 2022-06-26;11(13):.
Species: Human
Sample Types: Whole Cells
Applications: Bioassay -
Kir4.2 Potassium Channels in Retinal Pigment Epithelial Cells In Vitro: Contribution to Cell Viability and Proliferation, and Down-Regulation by Vascular Endothelial Growth Factor
Authors: MC Beer, H Kuhrt, L Kohen, P Wiedemann, A Bringmann, M Hollborn
Biomolecules, 2022-06-18;12(6):.
Species: Human
Sample Types: Whole Cells
Applications: Bioassay -
Equine Oviductal Organoid Generation and Cryopreservation
Authors: RE Thompson, MA Meyers, DNR Veeramacha, BS Pukazhenth, FK Hollinshea
Methods and protocols, 2022-06-15;5(3):.
Species: Equine
Sample Types: Organoid
Applications: Bioassay -
Patient-Derived Tumor Organoids for Guidance of Personalized Drug Therapies in Recurrent Glioblastoma
Authors: M Ratliff, H Kim, H Qi, M Kim, B Ku, DD Azorin, D Hausmann, RK Khajuria, A Patel, E Maier, L Cousin, A Ogier, F Sahm, N Etminan, L Bunse, F Winkler, V El-Khoury, M Platten, YJ Kwon
International Journal of Molecular Sciences, 2022-06-12;23(12):.
Species: Human
Sample Types: Whole Cells
Applications: Bioassay -
Integrative analysis of cell adhesion molecules in glioblastoma identified prostaglandin F2 receptor inhibitor (PTGFRN) as an essential gene
Authors: U Mala, TK Baral, K Somasundar
BMC Cancer, 2022-06-11;22(1):642.
Species: Human
Sample Types: Whole Cells
Applications: Bioassay -
Molecularly cleavable bioinks facilitate high-performance digital light processing-based bioprinting of functional volumetric soft tissues
Authors: M Wang, W Li, J Hao, A Gonzales, Z Zhao, RS Flores, X Kuang, X Mu, T Ching, G Tang, Z Luo, CE Garciamend, JK Sahoo, MF Wells, G Niu, P Agrawal, A Quiñones-H, K Eggan, YS Zhang
Nature Communications, 2022-06-09;13(1):3317.
Species: Human
Sample Types: Whole Cells
Applications: Bioassay -
JMJD3 intrinsically disordered region links the 3D-genome structure to TGFbeta-dependent transcription activation
Authors: M Vicioso-Ma, R Fueyo, C Navarro, S Cruz-Molin, WFJ van Ijcken, E Rebollo, Á Rada-Igles, MA Martínez-B
Nature Communications, 2022-06-07;13(1):3263.
Species: Mouse
Sample Types: Whole Cells
Applications: Bioassay -
IQGAP1 is positively correlated with PD-L1 and regulates its expression via mediating STAT proteins phosphorylation
Authors: Y Chen, J Mei, P Zhang, J Liu, L Chen, L Wu, Y Zhang
Oncogene, 2022-05-31;108(0):108897.
Species: Human
Sample Types: Whole Cells
Applications: Bioassay -
TOPK/PBK is phosphorylated by ERK2 at serine 32, promotes tumorigenesis and is involved in sorafenib resistance in RCC
Authors: H Sun, J Zheng, J Xiao, J Yue, Z Shi, Z Xuan, C Chen, Y Zhao, W Tang, S Ye, J Li, Q Deng, L Zhang, F Zhu, C Shao
Cell Death & Disease, 2022-05-11;13(5):450.
Species: Human
Sample Types: Whole Cells
Applications: Bioassay -
Generation of Isogenic hiPSCs with Targeted Edits at Multiple Intronic SNPs to Study the Effects of the Type 2 Diabetes Associated KCNQ1 Locus in American Indians
Authors: AK Nair, M Traurig, JR Sutherland, YL Muller, ED Grellinger, L Saporito, RG Nelson, C Bogardus, LJ Baier
Cells, 2022-04-25;11(9):.
Species: Human
Sample Types: Whole Cells
Applications: Bioassay -
Dynamics of Metabolic Pathways and Stress Response Patterns during Human Neural Stem Cell Proliferation and Differentiation
Authors: V Semkova, S Haupt, M Segschneid, C Bell, M Ingelman-S, M Hajo, B Weykopf, P Muthukotti, A Till, O Brüstle
Cells, 2022-04-20;11(9):.
Species: Human
Sample Types: Whole Cells
Applications: Bioassay -
CHMP2A regulates tumor sensitivity to natural killer cell-mediated cytotoxicity
Authors: D Bernareggi, Q Xie, BC Prager, J Yun, LS Cruz, TV Pham, W Kim, X Lee, M Coffey, C Zalfa, P Azmoon, H Zhu, P Tamayo, JN Rich, DS Kaufman
Nature Communications, 2022-04-07;13(1):1899.
Species: Human
Sample Types: Whole Cells
Applications: Bioassay -
Mesenchymal and stem-like prostate cancer linked to therapy-induced lineage plasticity and metastasis
Authors: H Han, Y Wang, J Curto, S Gurrapu, S Laudato, A Rumandla, G Chakrabort, X Wang, H Chen, Y Jiang, D Kumar, EG Caggiano, M Capogiri, B Zhang, Y Ji, SN Maity, M Hu, S Bai, AM Aparicio, E Efstathiou, CJ Logothetis, N Navin, NM Navone, Y Chen, FG Giancotti
Cell Reports, 2022-04-05;39(1):110595.
Species: Human
Sample Types: Whole Cells
Applications: Bioassay -
Physical and functional interactome atlas of human receptor tyrosine kinases.
Authors: Salokas K, Liu X, Ohman T, Chowdhury I, Gawriyski L, Keskitalo S, Varjosalo M
EMBO Rep, 2022-04-05;23(6):e54041.
Species: Human
Sample Types: Transfected Whole Cells
Applications: Bioassay -
Autophagy and protein aggregation as a mechanism of dopaminergic degeneration in a primary human dopaminergic neuronal model
Authors: E Cuevas, A Guzman, SM Burks, A Ramirez-Le, SF Ali, SZ Imam
Toxicology reports, 2022-04-01;9(0):806-813.
Species: Human
Sample Types: Whole Cells
Applications: Bioassay -
MicroRNA 3928 Suppresses Glioblastoma through Downregulation of Several Oncogenes and Upregulation of p53
Authors: EQX Mulcahy, Y Zhang, RR Col?n, SR Cain, MK Gibert, CJ Dube, M Hafner, R Abounader
International Journal of Molecular Sciences, 2022-04-01;23(7):.
Species: Human
Sample Types: Whole Cells
Applications: Bioassay -
Tissue extracellular matrix hydrogels as alternatives to Matrigel for culturing gastrointestinal organoids
Authors: S Kim, S Min, YS Choi, SH Jo, JH Jung, K Han, J Kim, S An, YW Ji, YG Kim, SW Cho
Nature Communications, 2022-03-30;13(1):1692.
Species: Human
Sample Types: Whole Cells
Applications: Bioassay -
Counterintuitive production of tumor-suppressive secretomes from Oct4- and c-Myc-overexpressing tumor cells and MSCs
Authors: K Li, X Sun, R Zha, S Liu, Y Feng, T Sano, UK Aryal, A Sudo, BY Li, H Yokota
Theranostics, 2022-03-28;12(7):3084-3103.
Species: Mouse
Sample Types: Whole Cells
Applications: Bioassay -
Microwell bag culture for large-scale production of homogeneous islet-like clusters
Authors: R Suenaga, S Konagaya, J Yamaura, R Ito, S Tanaka, Y Ishizaki, T Toyoda
Scientific Reports, 2022-03-25;12(1):5221.
Species: Human
Sample Types: Whole Cells
Applications: Bioassay -
Epithelial-derived factors induce muscularis mucosa of human induced pluripotent stem cell-derived gastric organoids
Authors: K Uehara, M Koyanagi-A, T Koide, T Itoh, T Aoi
Stem Cell Reports, 2022-03-03;0(0):.
Species: Human
Sample Types: Whole Cells
Applications: Bioassay -
HER2-CDH1 Interaction via Wnt/B-Catenin Is Associated with Patients' Survival in HER2-Positive Metastatic Gastric Adenocarcinoma
Authors: V De Re, L Alessandri, G Brisotto, L Caggiari, M De Zorzi, M Casarotto, G Miolo, F Puglisi, SK Garattini, S Lonardi, R Cannizzaro, V Canzonieri, M Fassan, A Steffan
Cancers, 2022-02-28;14(5):.
Species: Human
Sample Types: Whole Cells
Applications: Cell Culture -
Degradation of DRAK1 by CUL3/SPOP E3 Ubiquitin ligase promotes tumor growth of paclitaxel-resistant cervical cancer cells
Authors: K Pang, J Lee, J Kim, J Park, Y Park, E Hong, H An, A Ooshima, M Son, KS Park, JH Cho, C Lee, YS Song, KM Yang, SJ Kim
Cell Death & Disease, 2022-02-22;13(2):169.
Species: Human
Sample Types: Whole Cells
Applications: Bioassay -
Cooperative regulation of adherens junction expansion through Epidermal Growth Factor Receptor (EGFR) activation
Authors: C Fu, A Arora, W Engl, M Sheetz, V Viasnoff
Journal of Cell Science, 2022-02-22;0(0):.
Species: Mouse
Sample Types: Whole Cells
Applications: Bioassay -
A peptide toxin in ant venom mimics vertebrate EGF-like hormones to cause long-lasting hypersensitivity in mammals
Authors: DA Eagles, NJ Saez, B Krishnarju, JJ Bradford, YK Chin, H Starobova, A Mueller, ME Reichelt, EAB Undheim, RS Norton, WG Thomas, I Vetter, GF King, SD Robinson
Proceedings of the National Academy of Sciences of the United States of America, 2022-02-15;119(7):.
Species: Human
Sample Types: Whole Cells
Applications: Bioassay -
Suspension culture promotes serosal mesothelial development in human intestinal organoids
Authors: MM Capeling, S Huang, CJ Childs, JH Wu, YH Tsai, A Wu, N Garg, EM Holloway, N Sundaram, C Bouffi, M Helmrath, JR Spence
Cell Reports, 2022-02-15;38(7):110379.
Species: Human
Sample Types: Organoids
Applications: Bioassay -
CERS6-AS1 contributes to the malignant phenotypes of colorectal cancer cells by interacting with miR-15b-5p to regulate SPTBN2
Authors: SY Zhao, Z Wang, XB Wu, S Zhang, Q Chen, DD Wang, QF Tan
The Kaohsiung journal of medical sciences, 2022-02-11;0(0):.
Species: Human
Sample Types: Whole Cells
Applications: Bioassay -
Glioblastoma mutations alter EGFR dimer structure to prevent ligand bias
Authors: C Hu, CA Leche, A Kiyatkin, Z Yu, SE Stayrook, KM Ferguson, MA Lemmon
Nature, 2022-02-09;602(7897):518-522.
Species: Human
Sample Types: Whole Cells
Applications: Bioassay -
Conversion of Human Fibroblasts into Induced Neural Stem Cells by Small Molecules
Authors: D Liu, G Rychkov, P Hurtado, HY Luo, T Zhang, L Bobrovskay, XF Zhou
International Journal of Molecular Sciences, 2022-02-03;23(3):.
Species: Human, Mouse
Sample Types: Whole Cells
Applications: Cell Culture -
Phosphoproteomic profiling of influenza virus entry reveals infection-triggered filopodia induction counteracted by dynamic cortactin phosphorylation
Authors: A Hunziker, I Glas, MO Pohl, S Stertz
Cell Reports, 2022-01-25;38(4):110306.
Species: Human
Sample Types: Whole Cells
Applications: Bioassay -
EWSR1-induced circNEIL3 promotes glioma progression and exosome-mediated macrophage immunosuppressive polarization via stabilizing IGF2BP3
Authors: Z Pan, R Zhao, B Li, Y Qi, W Qiu, Q Guo, S Zhang, S Zhao, H Xu, M Li, Z Gao, Y Fan, J Xu, H Wang, S Wang, J Qiu, Q Wang, X Guo, L Deng, P Zhang, H Xue, G Li
Molecular Cancer, 2022-01-14;21(1):16.
Species: Human
Sample Types: Whole Cells
Applications: Bioassay -
Increased Expression and Altered Cellular Localization of Fibroblast Growth Factor Receptor-Like 1 (FGFRL1) Are Associated with Prostate Cancer Progression
Authors: L Yu, M Toriseva, S Afshan, M Cangiano, V Fey, A Erickson, H Seikkula, K Alanen, P Taimen, O Ettala, M Nurmi, PJ Boström, M Kallajoki, J Tuomela, T Mirtti, IJ Beumer, M Nees, P Härkönen
Cancers, 2022-01-07;14(2):.
Species: Human
Sample Types: Whole Cells
Applications: Bioassay -
Mutations and clinical significance of calcium voltage-gated channel subunit alpha 1E (CACNA1E) in non-small cell lung cancer
Authors: SH Gao, GZ Wang, LP Wang, L Feng, YC Zhou, XJ Yu, F Liang, FY Yang, Z Wang, BB Sun, D Wang, LJ Liang, DW Xie, S Zhao, HP Feng, X Li, KK Li, TS Tang, YC Huang, SQ Wang, GB Zhou
Cell Calcium, 2022-01-06;102(0):102527.
Species: Human
Sample Types: Whole Cells
Applications: Bioassay -
Engineering brain assembloids to interrogate human neural circuits
Authors: Y Miura, MY Li, O Revah, SJ Yoon, G Narazaki, SP Pa?ca
Nature Protocols, 2022-01-06;17(1):15-35.
Species: Human
Sample Types: Whole Cells
Applications: Bioassay -
Substratum stiffness regulates Erk signaling dynamics through receptor-level control
Authors: PE Farahani, SB Lemke, E Dine, G Uribe, JE Toettcher, CM Nelson
Cell Reports, 2021-12-28;37(13):110181.
Species: Human
Sample Types: Whole Cells
Applications: Bioassay -
D-Mannose Slows Glioma Growth by Modulating Myeloperoxidase Activity
Authors: N Jalali Mot, C Wang, EG Kuellenber, GR Wojtkiewic, S Schmidt, JW Chen
Cancers, 2021-12-18;13(24):.
Species: Human
Sample Types: Whole Cells
Applications: Bioassay -
Local non-pituitary growth hormone is induced with aging and facilitates epithelial damage
Authors: V Chesnokova, S Zonis, A Apostolou, HQ Estrada, S Knott, K Wawrowsky, K Michelsen, A Ben-Shlomo, R Barrett, V Gorbunova, K Karalis, S Melmed
Cell Reports, 2021-12-14;37(11):110068.
Species: Human
Sample Types: Organoid
Applications: Bioassay -
Concomitant activation of GLI1 and Notch1 contributes to racial disparity of human triple negative breast cancer progression
Authors: S Siddharth, S Parida, N Muniraj, S Hercules, D Lim, A Nagalingam, C Wang, B Gyorffy, JM Daniel, D Sharma
Elife, 2021-12-10;10(0):.
Species: Human
Sample Types: Spheroid
Applications: Bioassay -
Cross-Talk between Probiotic Nissle 1917 and Human Colonic Epithelium Affects the Metabolite Composition and Demonstrates Host Antibacterial Effect
Authors: K Dokladny, JK Crane, AJ Kassicieh, JB Kaper, O Kovbasnjuk
Metabolites, 2021-12-05;11(12):.
Species: Human
Sample Types: Whole Cells
Applications: Bioassay -
Functional human gastrointestinal organoids can be engineered from three primary germ layers derived separately from pluripotent stem cells
Authors: AK Eicher, DO Kechele, N Sundaram, HM Berns, HM Poling, LE Haines, JG Sanchez, K Kishimoto, M Krishnamur, L Han, AM Zorn, MA Helmrath, JM Wells
Cell Stem Cell, 2021-12-01;0(0):.
Species: Human
Sample Types: Whole Cells
Applications: Bioassay -
ABHD5 inhibits YAP-induced c-Met overexpression and colon cancer cell stemness via suppressing YAP methylation
Authors: Y Gu, Y Chen, L Wei, S Wu, K Shen, C Liu, Y Dong, Y Zhao, Y Zhang, C Zhang, W Zheng, J He, Y Wang, Y Li, X Zhao, H Wang, J Tan, L Wang, Q Zhou, G Xie, H Liang, J Ou
Nature Communications, 2021-11-18;12(1):6711.
Species: Human
Sample Types: Whole Cells
Applications: Bioassay -
Sequence logic at enhancers governs a dual mechanism of endodermal organ fate induction by FOXA pioneer factors
Authors: RJ Geusz, A Wang, DK Lam, NK Vinckier, KD Alysandrat, DA Roberts, J Wang, S Kefalopoul, A Ramirez, Y Qiu, J Chiou, KJ Gaulton, B Ren, DN Kotton, M Sander
Nature Communications, 2021-11-17;12(1):6636.
Species: Human
Sample Types: Whole Cells
Applications: Bioassay -
Positive correlation between transcriptomic stemness and PI3K/AKT/mTOR signaling scores in breast cancer, and a counterintuitive relationship with PIK3CA genotype
Authors: RR Madsen, EC Erickson, OM Rueda, X Robin, C Caldas, A Toker, RK Semple, B Vanhaesebr
PloS Genetics, 2021-11-11;17(11):e1009876.
Species: Human
Sample Types: Whole Cells
Applications: Bioassay -
Generation of Primordial Germ Cell-like Cells from iPSCs Derived from Turner Syndrome Patients
Authors: AF de Souza, FF Bressan, NCG Pieri, RC Botigelli, T Revay, SK Haddad, DT Covas, ES Ramos, WA King, FV Meirelles
Cells, 2021-11-10;10(11):.
Species: Human
Sample Types: Whole Cells
Applications: Bioassay -
Conversion of Osteoclasts into Bone-Protective, Tumor-Suppressing Cells
Authors: KX Li, X Sun, BY Li, H Yokota
Cancers, 2021-11-09;13(22):.
Species: Human
Sample Types: Whole Cells
Applications: Bioassay -
The Q61H mutation decouples KRAS from upstream regulation and renders cancer cells resistant to SHP2 inhibitors
Authors: T Gebregiwor, Y Kano, J St-Germain, N Radulovich, ML Udaskin, A Mentes, R Huang, BPK Poon, W He, I Valencia-S, CM Robinson, M Huestis, J Miao, JJ Yeh, ZY Zhang, MS Irwin, JE Lee, MS Tsao, B Raught, CB Marshall, M Ohh, M Ikura
Nature Communications, 2021-11-01;12(1):6274.
Species: Human
Sample Types: Whole Cells
Applications: Bioassay -
CRMP2 as a Candidate Target to Interfere with Lung Cancer Cell Migration
Authors: X Morales, R Peláez, S Garasa, C Ortiz de S, A Rouzaut
Biomolecules, 2021-10-18;11(10):.
Species: Human
Sample Types: Whole Cells
Applications: Bioassay -
Tracing the emergence of primordial germ cells from bilaminar disc rabbit embryos and pluripotent stem cells
Authors: T Kobayashi, A Castillo-V, CA Penfold, M Morgan, N Mizuno, WWC Tang, Y Osada, M Hirao, F Yoshida, H Sato, H Nakauchi, M Hirabayash, MA Surani
Cell Reports, 2021-10-12;37(2):109812.
Species: Rabbit
Sample Types: Whole Cells
Applications: Bioassay -
The Chemokine-Based Peptide, CXCL9(74-103), Inhibits Angiogenesis by Blocking Heparan Sulfate Proteoglycan-Mediated Signaling of Multiple Endothelial Growth Factors
Authors: A De Zutter, H Crijns, N Berghmans, M García-Cab, L Vanbrabant, N Pörtner, V Vanheule, P Verscheure, MM Siddiquei, AM Abu El-Asr, P Carmeliet, P Van Wielen, I De Meester, J Van Damme, P Proost, S Struyf
Cancers, 2021-10-12;13(20):.
Species: Human
Sample Types: Whole Cells
Applications: Cell Culture -
FBXL2 counteracts Grp94 to destabilize EGFR and inhibit EGFR-driven NSCLC growth
Authors: M Niu, J Xu, Y Liu, Y Li, T He, L Ding, Y He, Y Yi, F Li, R Guo, Y Gao, R Li, L Li, M Fu, Q Hu, Y Luo, C Zhang, K Qin, J Yi, S Yu, J Yang, H Chen, L Wang, Z Li, B Dong, S Qi, L Ouyang, Y Zhang, Y Cao, ZJ Xiao
Nature Communications, 2021-10-11;12(1):5919.
Species: Human
Sample Types: Whole Cells
Applications: Cell Culture -
CD200 -dependent and -independent immune-modulatory functions of neural stem cells
Authors: T Arad, N Fainstein, S Goldfarb, M Lachish, T Ganz, T Ben-Hur
Stem Cell Research, 2021-10-07;56(0):102559.
Species: Mouse
Sample Types: Whole Cells
Applications: Cell Culture -
Correction of oxidative stress enhances enzyme replacement therapy in Pompe disease
Authors: A Tarallo, C Damiano, S Strollo, N Minopoli, A Indrieri, E Polishchuk, F Zappa, E Nusco, S Fecarotta, C Porto, M Coletta, R Iacono, M Moracci, R Polishchuk, DL Medina, P Imbimbo, DM Monti, MA De Matteis, G Parenti
Embo Molecular Medicine, 2021-10-04;0(0):e14434.
Species: Human
Sample Types: Whole Cells
Applications: Bioassay -
CD44v6 Defines a New Population of Circulating Tumor Cells Not Expressing EpCAM
Authors: G Belthier, Z Homayed, F Grillet, C Duperray, J Vendrell, I Krol, S Bravo, JC Boyer, O Villeronce, J Vitre-Boub, D Heaug-Wane, F Macari-Fin, J Smith, M Merlot, G Lossaint, T Mazard, F Portales, J Solassol, M Ychou, N Aceto, E Mamessier, F Bertucci, JM Pascussi, E Samalin, F Hollande, J Pannequin
Cancers, 2021-10-02;13(19):.
Species: Human
Sample Types: Whole Cells
Applications: Cell Culture -
Glioblastoma patient-derived cell-based phenotypic drug screening and identification of possible action mechanisms through proteomic analysis.
Authors: Kim Y, Kim H, Jung D, Kang D, Nam D, Nam H, Cho H
STAR Protoc, 2021-09-24;2(4):100849.
Species: Human
Sample Types: Whole Cells
Applications: Bioassay -
Profiling of Human Neural Crest Chemoattractant Activity as a Replacement of Fetal Bovine Serum for In Vitro Chemotaxis Assays
Authors: X Dolde, C Karreman, M Wiechers, S Schildknec, M Leist
International Journal of Molecular Sciences, 2021-09-18;22(18):.
Species: Human
Sample Types: Whole Cells
Applications: Bioassay -
Abnormally elevated ubiquilin?1 expression in breast cancer regulates metastasis and stemness via AKT signaling
Authors: X Feng, A Cao, T Qin, Q Zhang, S Fan, B Wang, B Song, X Yu, L Li
Oncology reports, 2021-09-16;46(5):.
Species: Human
Sample Types: Whole Cells
Applications: Bioassay -
Microvessels support engraftment and functionality of human islets and hESC-derived pancreatic progenitors in diabetes models
Authors: Y Aghazadeh, F Poon, F Sarangi, FTM Wong, ST Khan, X Sun, R Hatkar, BJ Cox, SS Nunes, MC Nostro
Cell Stem Cell, 2021-09-03;0(0):.
Species: Human
Sample Types: Whole Cells
Applications: Bioassay -
alpha-glucosyl-rutin activates immediate early genes in human induced pluripotent stem cells
Authors: T Miyake, M Kuge, Y Matsumoto, M Shimada
Stem Cell Research, 2021-08-20;56(0):102511.
Species: Human
Sample Types: Whole Cells
Applications: Bioassay -
Selective deletion of human leukocyte antigens protects stem cell-derived islets from immune rejection
Authors: AV Parent, G Faleo, J Chavez, M Saxton, DI Berrios, NR Kerper, Q Tang, M Hebrok
Cell Reports, 2021-08-17;36(7):109538.
Species: Human
Sample Types: Whole Cells
Applications: Bioassay -
A pan-cancer organoid platform for precision medicine
Authors: BM Larsen, M Kannan, LF Langer, BD Leibowitz, A Bentaieb, A Cancino, I Dolgalev, BE Drummond, JR Dry, CS Ho, G Khullar, BA Krantz, B Mapes, KE McKinnon, J Metti, JF Perera, TA Rand, V Sanchez-Fr, JM Shaxted, MM Stein, MA Streit, YC Tan, Y Zhang, E Zhao, J Venkataram, MC Stumpe, JA Borgia, A Masood, DVT Catenacci, JV Mathews, DB Gursel, JJ Wei, TH Welling, DM Simeone, KP White, AA Khan, C Igartua, AA Salahudeen
Cell Reports, 2021-07-27;36(4):109429.
Species: Human
Sample Types: Organoid
Applications: Bioassay -
Pulmonary fibrosis distal airway epithelia are dynamically and structurally dysfunctional
Authors: IT Stancil, JE Michalski, D Davis-Hall, HW Chu, JA Park, CM Magin, IV Yang, BJ Smith, E Dobrinskik, DA Schwartz
Nature Communications, 2021-07-27;12(1):4566.
Species: Human
Sample Types: Whole Cells
Applications: Bioassay -
Development of a quantitative prediction algorithm for target organ-specific similarity of human pluripotent stem cell-derived organoids and cells
Authors: MO Lee, SG Lee, CR Jung, YS Son, JW Ryu, KB Jung, JH Ahn, JH Oh, HA Lee, JH Lim, J Kim, I Jang, J Choi, J Jung, K Park, B Lee, DS Kim, MY Son, HS Cho
Nature Communications, 2021-07-23;12(1):4492.
Species: Human
Sample Types: Whole Cells
Applications: Bioassay -
D-Propranolol Impairs EGFR Trafficking and Destabilizes Mutant p53 Counteracting AKT Signaling and Tumor Malignancy
Authors: J Barra, J Cerda-Infa, L Sandoval, P Gajardo-Me, JF Henriquez, M Labarca, C Metz, J Venegas, C Retamal, C Oyanadel, J Cancino, A Soza, MA Cuello, JC Roa, VP Montecinos, A Gonzalez
Cancers, 2021-07-20;13(14):.
Species: Human
Sample Types: Whole Cells
Applications: Bioassay -
Degradation of CCNK/CDK12 is a druggable vulnerability of colorectal cancer
Authors: SM Dieter, C Siegl, PL Codó, M Huerta, AL Ostermann-, E Schulz, MK Zowada, S Martin, K Laaber, A Nowrouzi, M Blatter, S Kreth, F Westermann, A Benner, U Uhrig, K Putzker, J Lewis, A Haegebarth, D Mumberg, SJ Holton, J Weiske, LM Toepper, U Scheib, G Siemeister, CR Ball, B Kuster, G Stoehr, H Hahne, S Johannes, M Lange, F Herbst, H Glimm
Cell Reports, 2021-07-20;36(3):109394.
Species: Human
Sample Types: Organoid
Applications: Bioassay -
Anaphylatoxins orchestrate Th17 response via interactions between CD16+ monocytes and pleural mesothelial cells in tuberculous pleural effusion
Authors: S Deng, X Hu, L Luo, W Tang, Y Jiang, F Yin, C Hu, J Feng, X Li
PloS Neglected Tropical Diseases, 2021-07-08;15(7):e0009508.
Species: Human
Sample Types: Whole Cells
Applications: Bioassay -
In Vitro Study of Human Immune Responses to Hyaluronic Acid Hydrogels, Recombinant Spidroins and Human Neural Progenitor Cells of Relevance to Spinal Cord Injury Repair
Authors: C Lin, Å Ekblad-Nor, J Michaëlsso, C Götherströ, CC Hsu, H Ye, J Johansson, A Rising, E Sundström, E Åkesson
Cells, 2021-07-06;10(7):.
Species: Human
Sample Types: Whole Cells
Applications: Bioassay -
Biomarkers for Comorbidities Modulate the Activity of T-Cells in COPD
Authors: K Jamal Jame, WJ Gallert, SD Yanik, S Panek, J Kronsbein, D Jungck, A Koch, J Knobloch
International Journal of Molecular Sciences, 2021-07-02;22(13):.
Species: Human
Sample Types: Whole Cells
Applications: Bioassay -
Myogenic Differentiation of iPS Cells Shows Different Efficiency in Simultaneous Comparison of Protocols
Authors: A Ulman, M Kot, K Skrzypek, B Szewczyk, M Majka
Cells, 2021-07-02;10(7):.
Species: Human
Sample Types: Whole Cells
Applications: Bioassay -
Transcriptional super-enhancers control cancer stemness and metastasis genes in squamous cell carcinoma
Authors: J Dong, J Li, Y Li, Z Ma, Y Yu, CY Wang
Nature Communications, 2021-06-25;12(1):3974.
Species: Human
Sample Types: Whole Cells
Applications: Bioassay -
Pdcd10-Stk24/25 complex controls kidney water reabsorption by regulating Aqp2 membrane targeting
Authors: R Wang, ST Wu, X Yang, Y Qian, JP Choi, R Gao, S Song, Y Wang, T Zhuang, JJ Wong, Y Zhang, Z Han, HA Lu, SI Alexander, R Liu, Y Xia, X Zheng
JCI Insight, 2021-06-22;6(12):.
Species: Mouse
Sample Types: Whole Cells
Applications: Bioassay -
Anti-Angiogenic Treatment in Pseudomyxoma Peritonei-Still a Strong Preclinical Rationale
Authors: Y Andersson, KG Fleten, TW Abrahamsen, W Reed, B Davidson, K Flatmark
Cancers, 2021-06-05;13(11):.
Species: Human
Sample Types: Whole Cells
Applications: Bioassay -
The development of a functional human small intestinal epithelium model for drug absorption
Authors: O Kwon, KB Jung, KR Lee, YS Son, H Lee, JJ Kim, K Kim, S Lee, YK Song, J Jung, K Park, DS Kim, MJ Son, MO Lee, TS Han, HS Cho, SJ Oh, H Chung, SH Kim, KS Chung, J Kim, CR Jung, MY Son
Science Advances, 2021-06-02;7(23):.
Species: Human
Sample Types: Whole Cells
Applications: Bioassay -
hnRNPA2B1 regulates the alternative splicing of BIRC5 to promote gastric cancer progression
Authors: WZ Peng, J Zhao, X Liu, CF Li, S Si, R Ma
Cancer Cell International, 2021-05-27;21(1):281.
Species: Human
Sample Types: Whole Cells
Applications: Bioassay -
Sex-Specific Isolation and Propagation of Human Premeiotic Fetal Germ Cells and Germ Cell-Like Cells
Authors: S Mishra, J Taelman, YW Chang, A Boel, P De Sutter, B Heindryckx, SM Chuva De S
Cells, 2021-05-16;10(5):.
Species: Human
Sample Types: Whole Cells
Applications: Bioassay -
EGFR phosphorylates HDAC1 to regulate its expression and anti-apoptotic function
Authors: S Bahl, H Ling, NPN Acharige, I Santos-Bar, MKH Pflum, E Seto
Cell Death & Disease, 2021-05-11;12(5):469.
Species: Human
Sample Types: Whole Cells
Applications: Bioassay -
CD276 expression enables squamous cell carcinoma stem cells to evade immune surveillance
Authors: C Wang, Y Li, L Jia, JK Kim, J Li, P Deng, W Zhang, PH Krebsbach, CY Wang
Cell Stem Cell, 2021-05-03;0(0):.
Species: Human
Sample Types: Whole Cells
Applications: Bioassay -
Inhibition of mitochondrial translation suppresses glioblastoma stem cell growth
Authors: D Sighel, M Notarangel, S Aibara, A Re, G Ricci, M Guida, A Soldano, V Adami, C Ambrosini, F Broso, EF Rosatti, S Longhi, M Buccarelli, QG D'Alessand, S Giannetti, S Pacioni, L Ricci-Viti, J Rorbach, R Pallini, S Roulland, A Amunts, I Mancini, A Modelska, A Quattrone
Cell Reports, 2021-04-27;35(4):109024.
Species: Human
Sample Types: Whole Cells
Applications: Bioassay -
Netrin-1 functions as a suppressor of bone morphogenetic protein (BMP) signaling
Authors: A Abdullah, C Herdenberg, H Hedman
Scientific Reports, 2021-04-21;11(1):8585.
Species: Human
Sample Types: Whole Cells
Applications: Bioassay -
Repositioning Trimebutine Maleate as a Cancer Treatment Targeting Ovarian Cancer Stem Cells
Authors: H Lee, OB Kwon, JE Lee, YH Jeon, DS Lee, SH Min, JW Kim
Cells, 2021-04-16;10(4):.
Species: Human
Sample Types: Whole Cells
Applications: Bioassay -
Measuring the elastic modulus of soft culture surfaces and three-dimensional hydrogels using atomic force microscopy
Authors: MDA Norman, SA Ferreira, GM Jowett, L Bozec, E Gentleman
Nature Protocols, 2021-04-14;0(0):.
Species: Human
Sample Types: Whole Cells
Applications: Bioassay -
Neurodegeneration Induced by Anti-IgLON5 Antibodies Studied in Induced Pluripotent Stem Cell-Derived Human Neurons
Authors: M Ryding, M Gamre, MS Nissen, AC Nilsson, J Okarmus, AAE Poulsen, M Meyer, M Blaabjerg
Cells, 2021-04-08;10(4):.
Species: Human
Sample Types: Whole Cells
Applications: Bioassay -
Capturing human trophoblast development with naive pluripotent stem cells in�vitro
Authors: S Io, M Kabata, Y Iemura, K Semi, N Morone, A Minagawa, B Wang, I Okamoto, T Nakamura, Y Kojima, C Iwatani, H Tsuchiya, B Kaswandy, E Kondoh, S Kaneko, K Woltjen, M Saitou, T Yamamoto, M Mandai, Y Takashima
Cell Stem Cell, 2021-04-07;28(6):1023-1039.e13.
Species: Human
Sample Types: Whole Cells
Applications: Bioassay -
NOX1-dependent redox signaling potentiates colonic stem cell proliferation to adapt to the intestinal microbiota by linking EGFR and TLR activation
Authors: S van der Po, GMH Birchenoug, JM Held
Cell Reports, 2021-04-06;35(1):108949.
Species: Mouse
Sample Types: Organoid
Applications: Bioassay -
Simultaneous readout of multiple FRET pairs using photochromism
Authors: T Roebroek, W Vandenberg, F Sipieter, S Hugelier, C Stove, J Zhang, P Dedecker
Nature Communications, 2021-03-31;12(1):2005.
Species: Human
Sample Types: Whole Cells
Applications: Bioassay -
Effects of selected hormones and their combination on progesterone and estradiol production and proliferation of feline granulosa cells cultured in�vitro
Authors: M Chiara Per, N Bellitto, ERS Maylem, F Caloni, LJ Spicer
Theriogenology, 2021-03-28;168(0):1-12.
Species: Feline
Sample Types: Whole Cells
Applications: Bioassay -
Effects of islatravir (4'-ethynyl-2-fluoro-2'-deoxyadenosine or EFdA) on renal tubular cells and islatravir's interactions with organic anion transporters
Authors: M Kaneko, Y Reien, H Morio, T Fukuuchi, K Kaneko, Y Hirayama, H Hashimoto, N Kuwata, H Mitsuya, N Anzai
Journal of pharmacological sciences, 2021-03-19;146(2):82-87.
Species: Transgenic Mouse
Sample Types: Whole Cells
Applications: Bioassay -
Primate cell fusion disentangles gene regulatory divergence in neurodevelopment
Authors: RM Agoglia, D Sun, F Birey, SJ Yoon, Y Miura, K Sabatini, SP Pa?ca, HB Fraser
Nature, 2021-03-17;0(0):.
Species: Human, Primate
Sample Types: Organoid
Applications: Bioassay -
Heterozygous APC germline mutations impart predisposition to colorectal cancer
Authors: L Preisler, A Habib, G Shapira, L Kuznitsov-, Y Mayshar, I Carmel-Gro, M Malcov, F Azem, N Shomron, R Kariv, D Hershkovit, D Ben-Yosef
Scientific Reports, 2021-03-04;11(1):5113.
Species: Human
Sample Types: Whole Cells
Applications: Bioassay -
TDRD7 participates in lens development and spermiogenesis by mediating autophagosome maturation
Authors: C Tu, H Li, X Liu, Y Wang, W Li, L Meng, W Wang, Y Li, D Li, J Du, G Lu, G Lin, YQ Tan
Autophagy, 2021-03-03;0(0):.
Species: Mouse
Sample Types: Whole Cells
Applications: Bioassay -
Antisense oligonucleotide development for the selective modulation of CYP3A5 in renal disease
Authors: KA Lidberg, AJ Annalora, M Jozic, DJ Elson, L Wang, TK Bammler, S Ramm, MB Monteiro, J Himmelfarb, CB Marcus, PL Iversen, EJ Kelly
Scientific Reports, 2021-02-25;11(1):4722.
Species: Human
Sample Types: Whole Cells
Applications: Bioassay -
Long-term maturation of human cortical organoids matches key early postnatal transitions
Authors: A Gordon, SJ Yoon, SS Tran, CD Makinson, JY Park, J Andersen, AM Valencia, S Horvath, X Xiao, JR Huguenard, SP Pa?ca, DH Geschwind
Nature Neuroscience, 2021-02-22;0(0):.
Species: Human
Sample Types: Whole Cells
Applications: Bioassay -
Chronic intermittent hypoxia promoted lung cancer stem cell-like properties via enhancing Bach1 expression
Authors: S Hao, X Zhu, Z Liu, X Wu, S Li, P Jiang, L Jiang
Respiratory Research, 2021-02-17;22(1):58.
Species: Human
Sample Types: Whole Cells
Applications: Bioassay -
Reg4 and its downstream transcriptional activator CD44ICD in stage II and III colorectal cancer
Authors: JA Sninsky, KS Bishnupuri, I González, NA Trikalinos, L Chen, BK Dieckgraef
Oncotarget, 2021-02-16;12(4):278-291.
Species: Human
Sample Types: Whole Cells
Applications: Bioassay -
Tumor cell plasticity, heterogeneity, and resistance in crucial microenvironmental niches in glioma
Authors: E Jung, M Osswald, M Ratliff, H Dogan, R Xie, S Weil, DC Hoffmann, FT Kurz, T Kessler, S Heiland, A von Deimli, F Sahm, W Wick, F Winkler
Nature Communications, 2021-02-12;12(1):1014.
Species: Human
Sample Types: Whole Cells
Applications: Bioassay -
In vivo regeneration of rat laryngeal cartilage with mesenchymal stem cells derived from human induced pluripotent stem cells via neural crest cells
Authors: M Yoshimatsu, H Ohnishi, C Zhao, Y Hayashi, F Kuwata, S Kaba, H Okuyama, Y Kawai, N Hiwatashi, Y Kishimoto, T Sakamoto, M Ikeya, K Omori
Stem Cell Research, 2021-02-11;52(0):102233.
Species: Human
Sample Types: Whole Cells
Applications: Bioassay -
Specification and epigenomic resetting of the pig germline exhibit conservation with the human lineage
Authors: Q Zhu, F Sang, S Withey, W Tang, S Dietmann, D Klisch, P Ramos-Ibea, H Zhang, CE Requena, P Hajkova, M Loose, MA Surani, R Alberio
Cell Reports, 2021-02-09;34(6):108735.
Species: Human
Sample Types: Whole Cells
Applications: Bioassay -
Two distinct trophectoderm lineage stem cells from human pluripotent stem cells
Authors: A Mischler, V Karakis, J Mahinthaku, CK Carberry, A San Miguel, JE Rager, RC Fry, BM Rao
The Journal of Biological Chemistry, 2021-02-05;0(0):100386.
Species: Human
Sample Types: Whole Cells
Applications: Bioassay -
Generation of functional conjunctival epithelium, including goblet cells, from human iPSCs
Authors: K Nomi, R Hayashi, Y Ishikawa, Y Kobayashi, T Katayama, AJ Quantock, K Nishida
Cell Reports, 2021-02-02;34(5):108715.
Species: Human
Sample Types: Whole Cells
Applications: Bioassay -
IDH1 mutations induce organelle defects via dysregulated phospholipids
Authors: A Lita, A Pliss, A Kuzmin, T Yamasaki, L Zhang, T Dowdy, C Burks, N de Val, O Celiku, V Ruiz-Rodad, ER Nicoli, M Kruhlak, T Andresson, S Das, C Yang, R Schmitt, C Herold-Men, MR Gilbert, PN Prasad, M Larion
Nature Communications, 2021-01-27;12(1):614.
Species: Human
Sample Types: Whole Cells
Applications: Bioassay -
Opposing immune and genetic mechanisms shape oncogenic programs in synovial sarcoma
Authors: L Jerby-Arno, C Neftel, ME Shore, HR Weisman, ND Mathewson, MJ McBride, B Haas, B Izar, A Volorio, G Boulay, L Cironi, AR Richman, LC Broye, JM Gurski, CC Luo, R Mylvaganam, L Nguyen, S Mei, JC Melms, C Georgescu, O Cohen, JE Buendia-Bu, A Segerstolp, M Sud, MS Cuoco, D Labes, S Gritsch, DR Zollinger, N Ortogero, JM Beechem, G Petur Niel, I Chebib, T Nguyen-Ngo, M Montemurro, GM Cote, E Choy, I Letovanec, S Cherix, N Wagle, PK Sorger, AB Haynes, JT Mullen, I Stamenkovi, MN Rivera, C Kadoch, KW Wucherpfen, O Rozenblatt, ML Suvà, N Riggi, A Regev
Nature Medicine, 2021-01-25;0(0):.
Species: Human
Sample Types: Spheroid
Applications: Bioassay -
Glioma cells require one-carbon metabolism to survive glutamine starvation
Authors: K Tanaka, T Sasayama, H Nagashima, Y Irino, M Takahashi, Y Izumi, T Uno, N Satoh, A Kitta, K Kyotani, Y Fujita, M Hashiguchi, T Nakai, M Kohta, Y Uozumi, M Shinohara, K Hosoda, T Bamba, E Kohmura
Acta neuropathologica communications, 2021-01-19;9(1):16.
Species: Human
Sample Types: Whole Cells
Applications: Bioassay -
The translocon-associated protein (TRAP) complex regulates quality control of N-linked glycosylation during ER stress
Authors: C Phoomak, W Cui, TJ Hayman, SH Yu, P Zhao, L Wells, R Steet, JN Contessa
Science Advances, 2021-01-15;7(3):.
Species: Human
Sample Types: Whole Cells
Applications: Bioassay -
A novel protein encoded by circular SMO RNA is essential for Hedgehog signaling activation and glioblastoma tumorigenicity
Authors: X Wu, S Xiao, M Zhang, L Yang, J Zhong, B Li, F Li, X Xia, X Li, H Zhou, D Liu, N Huang, X Yang, F Xiao, N Zhang
Genome Biology, 2021-01-14;22(1):33.
Species: Human
Sample Types: Whole Cells
Applications: Bioassay -
FOLFOX Therapy Induces Feedback Upregulation of CD44v6 through YB-1 to Maintain Stemness in Colon Initiating Cells
Authors: S Ghatak, VC Hascall, RR Markwald, S Misra
International Journal of Molecular Sciences, 2021-01-13;22(2):.
Species: Human
Sample Types: Whole Cells
Applications: Bioassay -
Induced organoids derived from patients with ulcerative colitis recapitulate colitic reactivity
Authors: SK Sarvestani, S Signs, B Hu, Y Yeu, H Feng, Y Ni, DR Hill, RC Fisher, S Ferrandon, RK DeHaan, J Stiene, M Cruise, TH Hwang, X Shen, JR Spence, EH Huang
Nature Communications, 2021-01-11;12(1):262.
Species: Human
Sample Types: Organoid
Applications: Bioassay -
CXCR4 Regulates Temporal Differentiation via PRC1 Complex in Organogenesis of Epithelial Glands
Authors: J Kim, SW Lee, K Park
International Journal of Molecular Sciences, 2021-01-10;22(2):.
Species: Mouse
Sample Types: Whole Cells
Applications: Bioassay -
The histone demethylase KDM2B regulates human primordial germ cell-like cells specification
Authors: W Yuan, Z Yao, V Veerapandi, X Yang, X Wang, D Chen, L Ma, C Li, Y Zheng, F Luo, XY Zhao
International journal of biological sciences, 2021-01-01;17(2):527-538.
Species: Human
Sample Types: Whole Cells
Applications: Bioassay -
Modeling Intestinal Epithelial Response to Interferon-&gamma in Induced Pluripotent Stem Cell-Derived Human Intestinal Organoids
Authors: MJ Workman, E Troisi, SR Targan, CN Svendsen, RJ Barrett
International Journal of Molecular Sciences, 2020-12-30;22(1):.
Species: Human
Sample Types: Organoid
Applications: Bioassay -
Alternative splicing and cleavage of GLUT8
Authors: CM Alexander, JA Martin, E Oxman, I Kasza, KA Senn, H Dvinge
Mol Cell Biol, 2020-12-21;0(0):.
Species: Human
Sample Types: Whole Cells
Applications: Bioassay -
P300-dependent acetylation of histone H3 is required for EGFR-mediated HMGA2 transcription in hepatocellular carcinoma
Authors: C Liang, J Niu, X Wang, ZS Zhang, RH Yang, X Yao, FY Liu, WQ Li, SH Pei, H Sun, CJ Wang, D Fang, SQ Xie
Cancer Sci, 2020-12-15;0(0):.
Species: Human
Sample Types: Whole Cells
Applications: Cell Culture -
Human extrahepatic and intrahepatic cholangiocyte organoids show region-specific differentiation potential and model cystic fibrosis-related bile duct disease
Authors: MMA Verstegen, FJM Roos, K Burka, H Gehart, M Jager, M de Wolf, MJC Bijvelds, HR de Jonge, AI Ardisasmit, NA van Huizen, HP Roest, J de Jonge, M Koch, F Pampaloni, SA Fuchs, IF Schene, TM Luider, HPJ van der Do, FAJA Bodewes, RHJ de Kleine, B Spee, GJ Kremers, H Clevers, JNM IJzermans, E Cuppen, LJW van der La
Scientific Reports, 2020-12-14;10(1):21900.
Species: Human
Sample Types: Whole Cells
Applications: Bioassay -
Formation of alginate microspheres prepared by optimized microfluidics parameters for high encapsulation of bioactive molecules
Authors: LM Caballero, S Duchi, C Onofrillo, CD O'Connell, C Di Bella, SE Moulton
Journal of colloid and interface science, 2020-12-13;587(0):240-251.
Species: Human
Sample Types: Whole Cells
Applications: Cell Culture -
Characterization and oncolytic virus targeting of FAP-expressing tumor-associated pericytes in glioblastoma
Authors: M Li, G Li, J Kiyokawa, Z Tirmizi, LG Richardson, J Ning, S Das, RL Martuza, A Stemmer-Ra, SD Rabkin, H Wakimoto
Acta neuropathologica communications, 2020-12-11;8(1):221.
Species: Mouse
Sample Types: Whole Cells
Applications: Cell Culture -
Inhibition of protein glycosylation is a novel pro-angiogenic strategy that acts via activation of stress pathways
Authors: C Zhong, P Li, S Argade, L Liu, A Chilla', W Liang, H Xin, B Eliceiri, B Choudhury, N Ferrara
Nature Communications, 2020-12-10;11(1):6330.
Species: Human
Sample Types: Whole Cells
Applications: Cell Culture -
MicroRNA-155 contributes to plexiform neurofibroma growth downstream of MEK
Authors: Y Na, A Hall, K Choi, L Hu, J Rose, RA Coover, A Miller, RF Hennigan, E Dombi, MO Kim, S Subramania, N Ratner, J Wu
Oncogene, 2020-12-08;0(0):.
Species: Mouse
Sample Types: Whole Cells
Applications: Bioassay -
Mapping Development of the Human Intestinal Niche at Single-Cell Resolution
Authors: EM Holloway, M Czerwinski, YH Tsai, JH Wu, A Wu, CJ Childs, KD Walton, CW Sweet, Q Yu, I Glass, B Treutlein, JG Camp, JR Spence
Cell Stem Cell, 2020-12-04;0(0):.
Species: Human
Sample Types: Whole Cells
Applications: Bioassay -
Female human primordial germ cells display X-chromosome dosage compensation despite the absence of X-inactivation
Authors: T Chitiashvi, I Dror, R Kim, FM Hsu, R Chaudhari, E Pandolfi, D Chen, S Liebscher, K Schenke-La, K Plath, A Clark
Nature Cell Biology, 2020-11-30;22(12):1436-1446.
Species: Human
Sample Types: Whole Cells
Applications: Bioassay -
Using systems medicine to identify a therapeutic agent with potential for repurposing in inflammatory bowel disease
Authors: K Lloyd, S Papoutsopo, E Smith, P Stegmaier, F Bergey, L Morris, M Kittner, H England, D Spiller, MHR White, CA Duckworth, BJ Campbell, V Poroikov, VAP Martins Do, A Kel, W Muller, DM Pritchard, C Probert, MD Burkitt, SysmedIBD
Dis Model Mech, 2020-11-27;0(0):.
Species: Human
Sample Types: Whole Cells
Applications: Bioassay -
GOLPH3 Regulates EGFR in T98G Glioblastoma Cells by Modulating Its Glycosylation and Ubiquitylation
Authors: C Arriagada, VA Cavieres, C Luchsinger, AE González, VC Muñoz, J Cancino, PV Burgos, GA Mardones
Int J Mol Sci, 2020-11-23;21(22):.
Species: Human
Sample Types: Whole Cells
Applications: Cell Culture -
Proto-oncogene Src links lipogenesis via lipin-1 to breast cancer malignancy
Authors: L Song, Z Liu, HH Hu, Y Yang, TY Li, ZZ Lin, J Ye, J Chen, X Huang, DT Liu, J Zhou, Y Shi, H Zhao, C Xie, L Chen, E Song, SY Lin, SC Lin
Nat Commun, 2020-11-17;11(1):5842.
Species: Human
Sample Types: Whole Cells
Applications: Cell Culture -
CPEB1 orchestrates a fine-tuning of miR-145-5p tumor-suppressive activity on TWIST1 translation in prostate cancer cells
Authors: F Rajabi, WY Liu-Bordes, M Pinskaya, F Dominika, G Kratassiou, G Pinna, S Nanni, A Farsetti, C Gespach, A Londoño-Va, I Groisman
Oncotarget, 2020-11-10;11(45):4155-4168.
Species: Human
Sample Types: Whole Cells
Applications: Bioassay -
Reconstitution of prospermatogonial specification in vitro from human induced pluripotent stem cells
Authors: YS Hwang, S Suzuki, Y Seita, J Ito, Y Sakata, H Aso, K Sato, BP Hermann, K Sasaki
Nat Commun, 2020-11-09;11(1):5656.
Species: Human
Sample Types: Whole Cells
Applications: Cell Culture -
Polarization of ADAM17-driven EGFR signalling in electric field-guided collective migration of epidermal sheets
Authors: N Jia, J Liu, G Zhu, Y Liang, Y Wang, W Wang, Y Chen, J Yang, W Zhang, J Zhang
J Cell Mol Med, 2020-11-08;0(0):.
Species: Human
Sample Types: cell culture
Applications: Cell Culture -
Polyelectrolyte complex templated synthesis of monodisperse, sub-100�nm porous silica nanoparticles for cancer targeted and stimuli-responsive drug delivery
Authors: G Newham, RK Mathew, H Wurdak, SD Evans, ZY Ong
J Colloid Interface Sci, 2020-11-03;0(0):.
Species: Human
Sample Types: Whole Cells
Applications: Cell Culture -
Impact of Zika Virus Infection on Human Neural Stem Cell MicroRNA Signatures
Authors: D Tabari, C Scholl, M Steffens, S Weickhardt, F Elgner, D Bender, ML Herrlein, C Sabino, V Semkova, M Peitz, A Till, O Brüstle, E Hildt, J Stingl
Viruses, 2020-10-27;12(11):.
Species: Human
Sample Types: Whole Cells
Applications: Bioassay -
Non-canonical Targets of HIF1a Impair Oligodendrocyte Progenitor Cell Function
Authors: KC Allan, LR Hu, MA Scavuzzo, AR Morton, AS Gevorgyan, EF Cohn, BLL Clayton, IR Bederman, S Hung, CF Bartels, M Madhavan, PJ Tesar
Cell Stem Cell, 2020-10-21;0(0):.
Species: Human
Sample Types: Whole Cells
Applications: Bioassay -
The Fragile X Mental Retardation Protein regulates RIP1K and colorectal cancer resistance to necroptosis
Authors: A Di Grazia, I Marafini, G Pedini, D Di Fusco, F Laudisi, V Dinallo, E Rosina, C Stolfi, E Franzè, P Sileri, G Sica, G Monteleone, C Bagni, I Monteleone
Cell Mol Gastroenterol Hepatol, 2020-10-19;0(0):.
Species: Human
Sample Types: Organoid
Applications: Bioassay -
Combined Poziotinib with Manidipine Treatment Suppresses Ovarian Cancer Stem-Cell Proliferation and Stemness
Authors: H Lee, JW Kim, DS Lee, SH Min
Int J Mol Sci, 2020-10-06;21(19):.
Species: Human
Sample Types: Whole Cells
Applications: Bioassay -
Multiplatform genomic profiling and magnetic resonance imaging identify mechanisms underlying intratumor heterogeneity in meningioma
Authors: ST Magill, HN Vasudevan, K Seo, JE Villanueva, A Choudhury, S John Liu, M Pekmezci, S Findakly, S Hilz, S Lastella, B Demaree, SE Braunstein, NAO Bush, MK Aghi, PV Theodosopo, PK Sneed, AR Abate, MS Berger, MW McDermott, DA Lim, EM Ullian, JF Costello, DR Raleigh
Nat Commun, 2020-09-23;11(1):4803.
Species: Human
Sample Types: Whole Cells
Applications: Bioassay -
EGFR-upregulated LIFR promotes SUCLG2-dependent castration resistance and neuroendocrine differentiation of prostate cancer
Authors: SR Lin, YC Wen, HL Yeh, KC Jiang, WH Chen, N Mokgautsi, J Huang, WY Chen, YN Liu
Oncogene, 2020-09-22;0(0):.
Species: Human
Sample Types: Whole Cells
Applications: Bioassay -
SPT6-driven error-free DNA repair safeguards genomic stability of glioblastoma cancer stem-like cells
Authors: EAA Obara, D Aguilar-Mo, RD Rasmussen, A Frias, K Vitting-Se, YC Lim, KJ Elbæk, H Pedersen, L Vardouli, KE Jensen, J Skjoth-Ras, J Brennum, L Tuckova, R Strauss, C Dinant, J Bartek, P Hamerlik
Nat Commun, 2020-09-18;11(1):4709.
Species: Human
Sample Types: Whole Cells
Applications: Bioassay -
Neutrophils produce proinflammatory or anti-inflammatory extracellular vesicles depending on the environmental conditions
Authors: F Kolonics, E Kajdácsi, VJ Farkas, DS Veres, D Khamari, Á Kittel, ML Merchant, KR McLeish, ÁM L?rincz, E Ligeti
J. Leukoc. Biol., 2020-09-18;0(0):.
Species: Human
Sample Types: Whole Cells
Applications: Cell Culture -
Characterization of zika virus infection of human fetal cardiac mesenchymal stromal cells
Authors: F Rossi, B Josey, EC Sayitoglu, R Potens, T Sultu, AD Duru, V Beljanski
PLoS ONE, 2020-09-17;15(9):e0239238.
Species: Human
Sample Types: Whole Cells
Applications: Bioassay -
PI3K p110&alpha Blockade Enhances Anti-Tumor Efficacy of Abemaciclib in Human Colorectal Cancer Cells
Authors: HJ Lee, KJ Kim, JH Sung, M Nam, KJ Suh, JW Kim, SH Kim, JW Kim, YJ Kim, KW Lee, JS Lee, JH Kim
Cancers, 2020-09-03;12(9):.
Species: Human
Sample Types: Whole Cells
Applications: Bioassay -
EREG-driven oncogenesis of Head and Neck Squamous Cell Carcinoma exhibits higher sensitivity to Erlotinib therapy
Authors: S Liu, Y Wang, Y Han, W Xia, L Zhang, S Xu, H Ju, X Zhang, G Ren, L Liu, W Ye, Z Zhang, J Hu
Theranostics, 2020-08-25;10(23):10589-10605.
Species: Human
Sample Types: Whole Cells
Applications: Bioassay -
Immune phenotyping of diverse syngeneic murine brain tumors identifies immunologically distinct types
Authors: JK Khalsa, N Cheng, J Keegan, A Chaudry, J Driver, WL Bi, J Lederer, K Shah
Nat Commun, 2020-08-06;11(1):3912.
Species: Mouse
Sample Types: Whole Cells
Applications: Bioassay, Cell Culture -
Human Cytomegalovirus miR-US5-2 Downregulation of GAB1 Regulates Cellular Proliferation and UL138 Expression through Modulation of Epidermal Growth Factor Receptor Signaling Pathways
Authors: MH Hancock, J Mitchell, FD Goodrum, JA Nelson
mSphere, 2020-08-05;5(4):.
Species: Human
Sample Types: Whole Cells
Applications: Bioassay -
Expansion of Human iPSC-Derived Ureteric Bud Organoids with Repeated Branching Potential
Authors: SI Mae, M Ryosaka, S Sakamoto, K Matsuse, A Nozaki, M Igami, R Kabai, A Watanabe, K Osafune
Cell Rep, 2020-07-28;32(4):107963.
Species: Human
Sample Types: Whole Cells
Applications: Bioassay -
Gintonin influences the morphology and motility of adult brain neurons via LPA receptors
Authors: DG Kim, HJ Kim, SH Choi, SM Nam, HC Kim, H Rhim, IH Cho, MH Rhee, SY Nah
Journal of Ginseng Research, 2020-07-21;45(3):401-407.
Species: Human
Sample Types: Whole Cells
Applications: Bioassay -
Meningioma cells express primary cilia but do not transduce ciliary Hedgehog signals
Authors: S Findakly, A Choudhury, V Daggubati, M Pekmezci, UE Lang, DR Raleigh
Acta Neuropathol Commun, 2020-07-20;8(1):114.
Species: Human
Sample Types: Whole Cells
Applications: Cell Culture -
Isolation and characterization of neural crest-like progenitor cells in human umbilical cord blood
Authors: Z Al-Bakri, M Ishige-Wad, N Fukuda, C Yoshida-No, N Nagoshi, H Okano, H Mugishima, T Matsumoto
Regenerative Therapy, 2020-07-18;15(0):53-63.
Species: Human
Sample Types: Organoid
Applications: Bioassay -
Human multipotent adult progenitor cell-conditioned medium improves wound healing through modulating inflammation and angiogenesis in mice
Authors: P Ahangar, SJ Mills, LE Smith, XL Strudwick, AE Ting, B Vaes, AJ Cowin
Stem Cell Res Ther, 2020-07-17;11(1):299.
Species: Human
Sample Types: Whole Cells
Applications: Cell Culture -
Metabolic pathway alterations in microvascular endothelial cells in response to hypoxia
Authors: EB Cohen, RC Geck, A Toker
PLoS ONE, 2020-07-09;15(7):e0232072.
Species: Human
Sample Types: Whole Cells
Applications: Bioassay -
Influenza A viruses use multivalent sialic acid clusters for cell binding and receptor activation
Authors: C Sieben, E Sezgin, C Eggeling, S Manley
PLoS Pathog., 2020-07-08;16(7):e1008656.
Species: Human
Sample Types: Whole Cells
Applications: Cell Culture -
Astrocytes influence medulloblastoma phenotypes and CD133 surface expression
Authors: E Gronseth, A Gupta, C Koceja, S Kumar, RG Kutty, K Rarick, L Wang, R Ramchandra
PLoS ONE, 2020-07-06;15(7):e0235852.
Species: Zebrafish
Sample Types: Whole Cells
Applications: Cell Culture -
Soy Isoflavone Genistein Impedes Cancer Stemness and Mesenchymal Transition in Head and Neck Cancer through Activating miR-34a/RTCB Axis
Authors: PL Hsieh, YW Liao, CW Hsieh, PN Chen, CC Yu
Nutrients, 2020-06-29;12(7):.
Species: Human
Sample Types: Whole Cells
Applications: Bioassay -
Mucus layer modeling of human colonoids during infection with enteroaggragative E. coli
Authors: L Liu, W Saitz-Roja, R Smith, L Gonyar, JG In, O Kovbasnjuk, NC Zachos, M Donowitz, JP Nataro, F Ruiz-Perez
Sci Rep, 2020-06-29;10(1):10533.
Species: Human
Sample Types: Whole Cells
Applications: Cell Culture -
DLL4 restores damaged liver by enhancing hBMSC differentiation into cholangiocytes
Authors: S Sun, L Yuan, Z An, D Shi, J Xin, J Jiang, K Ren, J Chen, B Guo, X Zhou, Q Zhou, X Jin, S Ruan, T Cheng, N Xia, J Li
Stem Cell Res, 2020-06-29;47(0):101900.
Species: Human
Sample Types: Whole Cells
Applications: Bioassay -
Inhibition of Notch pathway enhances the anti-tumor effect of docetaxel in prostate cancer stem-like cells
Authors: L Wang, H Zi, Y Luo, T Liu, H Zheng, C Xie, X Wang, X Huang
Stem Cell Res Ther, 2020-06-26;11(1):258.
Species: Human
Sample Types: Whole Cells
Applications: Bioassay -
Microenvironmentally-driven Plasticity of CD44 isoform expression determines Engraftment and Stem-like Phenotype in CRC cell lines
Authors: TF Dinger, O Chen, C Dittfeld, L Hetze, M Hüther, M Wondrak, S Löck, W Eicheler, G Breier, LA Kunz-Schug
Theranostics, 2020-06-18;10(17):7599-7621.
Species: Human
Sample Types: Whole Cells
Applications: Cell Culture -
Post-surgical adhesions are triggered by calcium-dependent membrane bridges between mesothelial surfaces
Authors: A Fischer, T Koopmans, P Ramesh, S Christ, M Strunz, J Wannemache, M Aichler, A Feuchtinge, A Walch, M Ansari, FJ Theis, K Schorpp, K Hadian, PA Neumann, HB Schiller, Y Rinkevich
Nat Commun, 2020-06-17;11(1):3068.
Species: Human
Sample Types: Whole Cells
Applications: Bioassay -
The Deubiquitinase USP4 Stabilizes Twist1 Protein to Promote Lung Cancer Cell Stemness
Authors: F Li, Q Hu, T He, J Xu, Y Yi, S Xie, L Ding, M Fu, R Guo, ZJ Xiao, M Niu
Cancers (Basel), 2020-06-15;12(6):.
Species: Human
Sample Types: Whole Cells
Applications: Bioassay -
Neural metabolic imbalance induced by MOF dysfunction triggers pericyte activation and breakdown of vasculature
Authors: BN Sheikh, S Guhathakur, TH Tsang, M Schwabenla, G Renschler, B Herquel, V Bhardwaj, H Holz, T Stehle, O Bondareva, N Aizarani, O Mossad, O Kretz, W Reichardt, A Chatterjee, LJ Braun, J Thevenon, H Sartelet, T Blank, D Grün, D von Elverf, TB Huber, D Vestweber, S Avilov, M Prinz, JM Buescher, A Akhtar
Nat. Cell Biol., 2020-06-15;0(0):.
Species: Mouse
Sample Types: Organoid
Applications: Bioassay -
In vitro and in vivo Anti-Tumor Effects of Pan-HER Inhibitor Varlitinib on Cholangiocarcinoma Cell Lines
Authors: H Dokduang, W Jamnongkar, B Promraksa, M Suksawat, S Padthaison, M Thanee, J Phetcharab, N Namwat, S Sangkhaman, A Titapun, N Khuntikeo, P Klanrit, W Loilome
Drug Des Devel Ther, 2020-06-11;14(0):2319-2334.
Species: Human
Sample Types: Whole Cells
Applications: Bioassay -
Enhanced mitochondrial fission suppresses signaling and metastasis in triple-negative breast cancer
Authors: BA Humphries, AC Cutter, JM Buschhaus, YC Chen, T Qyli, DSW Palagama, S Eckley, TH Robison, A Bevoor, B Chiang, HR Haley, S Sahoo, PC Spinosa, DB Neale, J Boppisetti, D Sahoo, P Ghosh, J Lahann, BD Ross, E Yoon, KE Luker, GD Luker
Breast Cancer Res., 2020-06-05;22(1):60.
Species: Human
Sample Types: Whole Cells
Applications: Bioassay -
Spatial�organization-dependent EphA2 transcriptional responses revealed by ligand nanocalipers
Authors: T Verheyen, T Fang, D Lindenhofe, Y Wang, K Akopyan, A Lindqvist, B Högberg, AI Teixeira
Nucleic Acids Res., 2020-06-04;0(0):.
Species: Human
Sample Types: Whole Cells
Applications: Bioassay -
Generating Patient-Derived Gliomas within Cerebral Organoids.
Authors: Linkous A, Fine H
STAR Protoc, 2020-06-03;1(1):.
Species: Human
Sample Types: Whole Cells
Applications: Bioassay -
Assembly and Function of a Bioengineered Human Liver for Transplantation Generated Solely from Induced Pluripotent Stem Cells
Authors: K Takeishi, A Collin de, Y Wang, K Handa, J Guzman-Lep, K Matsubara, K Morita, S Jang, N Haep, RM Florentino, F Yuan, K Fukumitsu, K Tobita, W Sun, J Franks, ER Delgado, EM Shapiro, NA Fraunhoffe, AW Duncan, H Yagi, T Mashimo, IJ Fox, A Soto-Gutie
Cell Rep, 2020-06-02;31(9):107711.
Species: Human
Sample Types: cell culture
-
Pivotal role of the transcriptional co-activator YAP in trophoblast stemness of the developing human placenta
Authors: G Meinhardt, S Haider, V Kunihs, L Saleh, J Pollheimer, C Fiala, S Hetey, Z Feher, A Szilagyi, NG Than, M Knöfler
Proc. Natl. Acad. Sci. U.S.A., 2020-06-01;0(0):.
Species: Human
Sample Types: Whole Cells
Applications: Bioassay -
EGFR targeting enhances the efficiency of chemotherapy through inhibiting IRE1alpha-XBP1s pathway in colorectal cancer cells
Authors: M Huo, Y Zhao, X Liu, Y Gao, D Zhang, M Chang, M Liu, N Xu, H Zhu
J Cancer, 2020-05-18;11(15):4464-4473.
Species: Human
Sample Types: Whole Cells
Applications: Bioassay -
Epithelial-mesenchymal transition suppresses ERas to activate autophagy in retinal pigment epithelial cells in proliferative vitreoretinopathy
Authors: J Pan, LX Zhao
Eur Rev Med Pharmacol Sci, 2020-05-01;24(9):4627-4634.
Species: Human
Sample Types: Whole Cells
Applications: Cell Culture -
LSD1-mediated enhancer silencing attenuates retinoic acid signalling during pancreatic endocrine cell development
Authors: NK Vinckier, NA Patel, RJ Geusz, A Wang, J Wang, I Matta, AR Harrington, M Wortham, N Wetton, J Wang, US Jhala, MG Rosenfeld, CW Benner, HP Shih, M Sander
Nat Commun, 2020-04-29;11(1):2082.
Species: Human
Sample Types: Whole Cells
Applications: Bioassay -
Enhancing Antitumor Efficacy of Heavily Vascularized Tumors by RAMBO Virus through Decreased Tumor Endothelial Cell Activation
Authors: M Nair, M Khosla, Y Otani, M Yeh, F Park, T Shimizu, JM Kang, C Bolyard, JG Yu, Y Kumar Bana, G Lopez, B Kaur, RE Pollock, TJ Lee, M Old, JY Yoo
Cancers (Basel), 2020-04-23;12(4):.
Species: Human
Sample Types: Whole Cells
Applications: Bioassay -
Notch signalling drives synovial fibroblast identity and arthritis pathology
Authors: K Wei, I Korsunsky, JL Marshall, A Gao, GFM Watts, T Major, AP Croft, J Watts, PE Blazar, JK Lange, TS Thornhill, A Filer, K Raza, LT Donlin, CW Siebel, CD Buckley, S Raychaudhu, MB Brenner
Nature, 2020-04-22;582(7811):259-264.
Species: Human
Sample Types: Whole Cells
Applications: Bioassay -
X-ray irradiated cultures of mouse cortical neural stem/progenitor cells recover cell viability and proliferation with dose-dependent kinetics
Authors: V Licursi, S Anzellotti, J Favaro, S Sineri, N Carucci, E Cundari, M Fiore, G Guarguagli, S Pippa, PS Nisi, F Vernì, S Biagioni, E Cacci, R Amendola, G Lupo, R Negri
Sci Rep, 2020-04-16;10(1):6562.
Species: Mouse
Sample Types: Whole Cells
Applications: Bioassay -
Generation of intestinal organoids derived from human pluripotent stem cells for drug testing
Authors: S Yoshida, H Miwa, T Kawachi, S Kume, K Takahashi
Sci Rep, 2020-04-06;10(1):5989.
Species: Human
Sample Types: Whole Cells
Applications: Bioassay -
Generation of human oogonia from induced pluripotent stem cells in culture
Authors: C Yamashiro, K Sasaki, S Yokobayash, Y Kojima, M Saitou
Nat Protoc, 2020-03-30;15(4):1560-1583.
Species: Human
Sample Types: Whole Cells
Applications: Bioassay -
Calcium Channels as Novel Therapeutic Targets for Ovarian Cancer Stem Cells
Authors: H Lee, JW Kim, DK Kim, DK Choi, S Lee, JH Yu, OB Kwon, J Lee, DS Lee, JH Kim, SH Min
Int J Mol Sci, 2020-03-27;21(7):.
Species: Human
Sample Types: Whole Cells
Applications: Bioassay -
Neuroinflammation and EIF2 Signaling Persist despite Antiretroviral Treatment in an hiPSC Tri-culture Model of HIV Infection
Authors: SK Ryan, MV Gonzalez, JP Garifallou, FC Bennett, KS Williams, NP Sotuyo, E Mironets, K Cook, H Hakonarson, SA Anderson, KL Jordan-Sci
Stem Cell Reports, 2020-03-26;0(0):.
Species: Human
Sample Types: Whole Cells
Applications: Bioassay -
Genomic characterization of human brain metastases identifies drivers of metastatic lung adenocarcinoma
Authors: DJH Shih, N Nayyar, I Bihun, I Dagogo-Jac, CM Gill, E Aquilanti, M Bertalan, A Kaplan, MR D'Andrea, U Chukwueke, FM Ippen, C Alvarez-Br, ND Camarda, M Lastrapes, D McCabe, B Kuter, B Kaufman, MR Strickland, JC Martinez-G, D Nagabhusha, M De Sauvage, MD White, BA Castro, K Hoang, A Kaneb, ED Batchelor, SH Paek, SH Park, M Martinez-L, AS Berghoff, P Merrill, ER Gerstner, TT Batchelor, MP Frosch, RP Frazier, DR Borger, AJ Iafrate, BE Johnson, S Santagata, M Preusser, DP Cahill, SL Carter, PK Brastianos
Nat. Genet., 2020-03-23;0(0):.
Species: Human
Sample Types: Whole Cells
Applications: Cell Culture -
Tissue Responses to Shiga Toxin in Human Intestinal Organoids
Authors: S Pradhan, SS Karve, AA Weiss, J Hawkins, HM Poling, MA Helmrath, JM Wells, HA McCauley
Cell Mol Gastroenterol Hepatol, 2020-03-05;0(0):.
Species: Human
Sample Types: Organoid
Applications: Cell Culture -
Analysis of multi-lineage gene expression dynamics during primordial germ cell induction from human induced pluripotent stem cells
Authors: F Fang, Z Li, Q Zhao, C Xiong, K Ni
Stem Cell Res Ther, 2020-03-04;11(1):100.
Species: Human
Sample Types: Whole Cells
Applications: Cell Culture -
Generation of Otic Lineages from Integration-Free Human-Induced Pluripotent Stem Cells Reprogrammed by mRNAs
Authors: SL Boddy, R Romero-Gue, AR Ji, C Unger, L Corns, W Marcotti, MN Rivolta
Stem Cells Int, 2020-03-01;2020(0):3692937.
Species: Human
Sample Types: Whole Cells
Applications: Bioassay -
Replication Protein A (RPA) Mediates Radio-Resistance of Glioblastoma Cancer Stem-Like Cells
Authors: H Pedersen, E Anne Adanm, KJ Elbæk, K Vitting-Se, P Hamerlik
Int J Mol Sci, 2020-02-26;21(5):.
Species: Human
Sample Types: Whole Cells
Applications: Cell Culture -
WNT7A Promotes EGF-Induced Migration of Oral Squamous Cell Carcinoma Cells by Activating &beta-Catenin/MMP9-Mediated Signaling
Authors: H Xie, Y Ma, J Li, H Chen, Y Xie, M Chen, X Zhao, S Tang, S Zhao, Y Zhang, J Du, F Zhang, L Gu
Front Pharmacol, 2020-02-26;11(0):98.
Species: Human
Sample Types: Whole Cells
Applications: Cell Culture -
EB1-dependent long survival of glioblastoma-grafted mice with the oral tubulin-binder BAL101553 is associated with inhibition of tumor angiogenesis
Authors: R Bergès, A Tchoghandj, A Sergé, S Honoré, D Figarella-, F Bachmann, HA Lane, D Braguer
Oncotarget, 2020-02-25;11(8):759-774.
Species: Human
Sample Types: Whole Cells
Applications: Cell Culture -
Combined Targeting of AKT and mTOR Inhibits Proliferation of Human NF1-Associated Malignant Peripheral Nerve Sheath Tumour Cells In Vitro but not in a Xenograft Mouse Model In Vivo
Authors: A Schulte, F Ewald, M Spyra, DJ Smit, W Jiang, J Salamon, M Jücker, VF Mautner
Int J Mol Sci, 2020-02-24;21(4):.
Species: Human
Sample Types: Whole Cells
Applications: Cell Culture -
Human primary endothelial label-free biochip assay reveals unpredicted functions of plasma serine proteases
Authors: ML Debreczeni, I Szekacs, B Kovacs, A Saftics, S Kurunczi, P Gál, J Dobó, L Cervenak, R Horvath
Sci Rep, 2020-02-24;10(1):3303.
Species: Human
Sample Types: Whole Cells
Applications: Cell Culture -
Targeting the cytoskeleton to direct pancreatic differentiation of human pluripotent stem cells
Authors: NJ Hogrebe, P Augsornwor, KG Maxwell, L Velazco-Cr, JR Millman
Nat. Biotechnol., 2020-02-24;0(0):.
Species: Human
Sample Types: Cells
Applications: Cell Culture -
In vitro testicular organogenesis from human fetal gonads produces fertilization-competent spermatids
Authors: Y Yuan, L Li, Q Cheng, F Diao, Q Zeng, X Yang, Y Wu, H Zhang, M Huang, J Chen, Q Zhou, Y Zhu, R Hua, J Tian, X Wang, Z Zhou, J Hao, J Yu, D Hua, J Liu, X Guo, Q Zhou, J Sha
Cell Res., 2020-02-21;0(0):.
Species: Human
Sample Types: Whole Tissue
Applications: Bioassay -
Glioma-Derived miRNA-Containing Extracellular Vesicles Induce Angiogenesis by Reprogramming Brain Endothelial Cells
Authors: R Lucero, V Zappulli, A Sammarco, OD Murillo, PS Cheah, S Srinivasan, E Tai, DT Ting, Z Wei, ME Roth, LC Laurent, AM Krichevsky, XO Breakefiel, A Milosavlje
Cell Rep, 2020-02-18;30(7):2065-2074.e4.
Species: Human
Sample Types: Whole Cells
Applications: Cell Culture -
HIV-1-induced cytokines deplete homeostatic innate lymphoid cells and expand TCF7-dependent memory NK cells
Authors: Y Wang, L Lifshitz, K Gellatly, CL Vinton, K Busman-Sah, S McCauley, P Vangala, K Kim, A Derr, S Jaiswal, A Kucukural, P McDonel, PW Hunt, T Greenough, J Houghton, M Somsouk, JD Estes, JM Brenchley, M Garber, SG Deeks, J Luban
Nat. Immunol., 2020-02-17;21(3):274-286.
Species: Human
Sample Types: Cells
Applications: Cell Culture -
EGF released from human placental mesenchymal stem cells improves premature ovarian insufficiency via NRF2/HO-1 activation
Authors: C Ding, Q Zou, Y Wu, J Lu, C Qian, H Li, B Huang
Aging (Albany NY), 2020-02-10;12(3):2992-3009.
Species: Human
Sample Types: Whole Cells
Applications: Cell Culture -
Generation and validation of a PITX2-EGFP reporter line of human induced pluripotent stem cells enables isolation of periocular mesenchymal cells
Authors: T Okubo, R Hayashi, S Shibata, Y Kudo, Y Ishikawa, S Inoue, Y Kobayashi, A Honda, Y Honma, S Kawasaki, K Nishida
J. Biol. Chem., 2020-02-07;295(11):3456-3465.
Species: Human
Sample Types: Transfected Whole Cells
Applications: Bioassay -
Multiplatform Molecular Profiling Reveals Epigenomic Intratumor Heterogeneity in Ependymoma
Authors: SJ Liu, ST Magill, HN Vasudevan, S Hilz, JE Villanueva, S Lastella, V Daggubati, J Spatz, A Choudhury, BA Orr, B Demaree, K Seo, SP Ferris, AR Abate, NA Oberheim B, AW Bollen, MW McDermott, JF Costello, DR Raleigh
Cell Rep, 2020-02-04;30(5):1300-1309.e5.
Species: Human
Sample Types: Whole Cells
Applications: Bioassay -
Clozapine protects adult neural stem cells from ketamine-induced cell death in correlation with decreased apoptosis and autophagy
Authors: M Lundberg, S Curbo, H Bohman, I Agartz, SO Ögren, C Patrone, S Mansouri
Biosci. Rep., 2020-01-31;0(0):.
Species: Mouse
Sample Types: Whole Cell
Applications: Cell Culture -
Adult Human Glioblastomas Harbor Radial Glia-like Cells
Authors: R Wang, R Sharma, X Shen, AM Laughney, K Funato, PJ Clark, M Shpokayte, P Morgenster, M Navare, Y Xu, S Harbi, I Masilionis, G Nanjangud, Y Yang, G Duran-Rehb, M Hemberg, D Pe'er, V Tabar
Stem Cell Reports, 2020-01-30;0(0):.
Species: Human
Sample Types: Whole Cells
Applications: Bioassay -
Inhibition of EZH2 Catalytic Activity Selectively Targets a Metastatic Subpopulation in Triple-Negative Breast Cancer
Authors: S Yomtoubian, SB Lee, A Verma, F Izzo, G Markowitz, H Choi, L Cerchietti, L Vahdat, KA Brown, E Andreopoul, O Elemento, J Chang, G Inghirami, D Gao, S Ryu, V Mittal
Cell Rep, 2020-01-21;30(3):755-770.e6.
Species: Mouse
Sample Types: Whole Cells
Applications: Cell Culture -
Transcriptional Programming of Human Mechanosensory Neuron Subtypes from Pluripotent Stem Cells
Authors: AR Nickolls, MM Lee, DF Espinoza, M Szczot, RM Lam, Q Wang, J Beers, J Zou, MQ Nguyen, HJ Solinski, AA AlJanahi, KR Johnson, ME Ward, AT Chesler, CG Bönnemann
Cell Rep, 2020-01-21;30(3):932-946.e7.
Species: Human
Sample Types: Whole Cells
Applications: Differentiation, Differentiation -
SLMP53-1 Inhibits Tumor Cell Growth through Regulation of Glucose Metabolism and Angiogenesis in a P53-Dependent Manner
Authors: H Ramos, J Calheiros, J Almeida, V Barcherini, S Santos, ATP Carvalho, MMM Santos, L Saraiva
Int J Mol Sci, 2020-01-17;21(2):.
Species: Human
Sample Types: Whole Cells
Applications: Cell Culture -
Glioblastoma Exhibits Inter-Individual Heterogeneity of TSPO and LAT1 Expression in Neoplastic and Parenchymal Cells
Authors: L Cai, SV Kirchleitn, D Zhao, M Li, JC Tonn, R Glass, RE Kälin
Int J Mol Sci, 2020-01-17;21(2):.
Species: Human
Sample Types: Whole Cells
Applications: Bioassay -
Transplantation Efficacy of Human Ciliary Epithelium Cells from Fetal Eye and Lin-ve Stem Cells from Umbilical Cord Blood in the Murine Retinal Degeneration Model of Laser Injury
Authors: S Bammidi, P Bali, J Kalra, A Anand
Cell Transplant, 2020-01-01;29(0):9636897209460.
Species: Human
Sample Types: Whole Cells
Applications: Bioassay -
Quantitative Efficacy and Fate of Mesenchymal Stromal Cells Targeted to Cardiac Sites by Radiofrequency Catheter Ablation
Authors: R Malik, FA Darche, R Rivinius, A Seckinger, U Krause, M Koenen, D Thomas, HA Katus, PA Schweizer
Cell Transplant, 2020-01-01;29(0):9636897209142.
Species: Human
Sample Types: Whole Cells
Applications: Cell Culture -
Nitidine Chloride Is a Potential Alternative Therapy for Glioma Through Inducing Endoplasmic Reticulum Stress and Alleviating Epithelial-Mesenchymal Transition
Authors: Z Chen, J Zhang, H Xue, M Qian, X Guo, X Gao, J Xu, Y Qi, X Sun, G Li
Integr Cancer Ther, 2020-01-01;19(0):1534735419900.
Species: Human
Sample Types: Whole Cells
Applications: Bioassay -
Control of protein function through oxidation and reduction of persulfidated states
Authors: É Dóka, T Ida, M Dagnell, Y Abiko, NC Luong, N Balog, T Takata, B Espinosa, A Nishimura, Q Cheng, Y Funato, H Miki, JM Fukuto, JR Prigge, EE Schmidt, ESJ Arnér, Y Kumagai, T Akaike, P Nagy
Sci Adv, 2020-01-01;6(1):eaax8358.
Species: Human
Sample Types: Whole Cells
Applications: Cell Culture -
Human Primordial Germ Cells Are Specified from Lineage-Primed Progenitors
Authors: D Chen, N Sun, L Hou, R Kim, J Faith, M Aslanyan, Y Tao, Y Zheng, J Fu, W Liu, M Kellis, A Clark
Cell Rep, 2019-12-24;29(13):4568-4582.e5.
Species: Human
Sample Types: Whole Cells
Applications: Cell Culture -
MicroRNA-548 regulates high mobility group box 1 expression in patients with preterm birth and chorioamnionitis
Authors: GH Son, Y Kim, JJ Lee, KY Lee, H Ham, JE Song, ST Park, YH Kim
Sci Rep, 2019-12-24;9(1):19746.
Species: Human
Sample Types: Whole Cells
Applications: Bioassay -
The oncogenic and druggable hPG80 (Progastrin) is overexpressed in multiple cancers and detected in the blood of patients
Authors: B You, F Mercier, E Assenat, C Langlois-J, O Glehen, J Soulé, L Payen, V Kepenekian, M Dupuy, F Belouin, E Morency, V Saywell, M Flacelière, P Elies, P Liaud, T Mazard, D Maucort-Bo, W Tan, B Vire, L Villeneuve, M Ychou, M Kohli, D Joubert, A Prieur
EBioMedicine, 2019-12-24;51(0):102574.
Species: Human
Sample Types: Whole Cells
Applications: Bioassay -
miRNA551b-3p Activates an Oncostatin Signaling Module for the Progression of Triple-Negative Breast Cancer
Authors: D Parashar, A Geethadevi, MR Aure, J Mishra, J George, C Chen, MK Mishra, A Tahiri, W Zhao, B Nair, Y Lu, LS Mangala, C Rodriguez-, G Lopez-Bere, AKS Camara, M Liang, JS Rader, R Ramchandra, M You, AK Sood, VN Kristensen, GB Mills, S Pradeep, P Chaluvally
Cell Rep, 2019-12-24;29(13):4389-4406.e10.
Species: Human
Sample Types: Whole Cells
Applications: Cell Culture -
Efficient One-Step Induction of Human Umbilical Cord-Derived Mesenchymal Stem Cells (UC-MSCs) Produces MSC-Derived Neurospheres (MSC-NS) with Unique Transcriptional Profile and Enhanced Neurogenic and Angiogenic Secretomes
Authors: C Peng, Y Li, L Lu, J Zhu, H Li, J Hu
Stem Cells Int, 2019-12-17;2019(0):9208173.
Species: Human
Sample Types: Whole Cells
Applications: Cell Culture -
Interaction between androgen receptor and coregulator SLIRP is regulated by Ack1 tyrosine kinase and androgen
Authors: D De Silva, Z Zhang, Y Liu, JS Parker, C Xu, L Cai, GG Wang, HS Earp, YE Whang
Sci Rep, 2019-12-09;9(1):18637.
Species: Human
Sample Types: Whole Cells
Applications: Cell Culture -
Neurospheres induced from human adipose-derived stem cells as a new source of neural progenitor cells
Authors: C Peng, L Lu, Y Li, J Hu
Cell Transplant, 2019-12-08;0(0):9636897198886.
Species: Human
Sample Types: Whole Cells
Applications: Bioassay -
Immunomodulatory effects of interferon-gamma on human fetal cardiac mesenchymal stromal cells
Authors: KH Grinnemo, M Löfling, L Nathanson, R Baumgartne, DFJ Ketelhuth, V Beljanski, LC Davies, C Österholm
Stem Cell Res Ther, 2019-12-04;10(1):371.
Species: Human
Sample Types: Whole Cells
Applications: Bioassay -
The notch target gene HEYL modulates metastasis forming capacity of colorectal cancer patient-derived spheroid cells in vivo
Authors: S Weber, SE Koschade, CM Hoffmann, TD Dubash, KM Giessler, SM Dieter, F Herbst, H Glimm, CR Ball
BMC Cancer, 2019-12-03;19(1):1181.
Species: Human
Sample Types: Whole Cells
Applications: Bioassay -
Non-proliferative neurogenesis in human periodontal ligament stem cells
Authors: C Bueno, M Martínez-M, S Martínez
Sci Rep, 2019-12-02;9(1):18038.
Species: Human
Sample Types: Whole Cells
Applications: Cell Culture -
TBKBP1 and TBK1 form a growth factor signalling axis mediating immunosuppression and tumourigenesis
Authors: L Zhu, Y Li, X Xie, X Zhou, M Gu, Z Jie, CJ Ko, T Gao, BE Hernandez, X Cheng, SC Sun
Nat. Cell Biol., 2019-12-02;21(12):1604-1614.
Species: Mouse
Sample Types: Whole Cells
Applications: Cell Culture -
Pharmacogenomic analysis of patient-derived tumor cells in gynecologic cancers
Authors: JK Sa, JR Hwang, YJ Cho, JY Ryu, JJ Choi, SY Jeong, J Kim, MS Kim, ES Paik, YY Lee, CH Choi, TJ Kim, BG Kim, DS Bae, Y Lee, NG Her, YJ Shin, HJ Cho, JY Kim, YJ Seo, H Koo, JW Oh, T Lee, HS Kim, SY Song, JS Bae, WY Park, HD Han, HJ Ahn, AK Sood, R Rabadan, JK Lee, DH Nam, JW Lee
Genome Biol., 2019-11-26;20(1):253.
Species: Human
Sample Types: Whole Cells
Applications: Cell Culture -
MiR-33a Controls hMSCS Osteoblast Commitment Modulating the Yap/Taz Expression Through EGFR Signaling Regulation
Authors: V Costa, V Carina, L Raimondi, A De Luca, D Bellavia, A Conigliaro, F Salamanna, R Alessandro, M Fini, G Giavaresi
Cells, 2019-11-22;8(12):.
Species: Human
Sample Types: Whole Cells
Applications: Cell Culture -
Establishment of SLC15A1/PEPT1-Knockout Human-Induced Pluripotent Stem Cell Line for Intestinal Drug Absorption Studies
Authors: K Kawai, R Negoro, M Ichikawa, T Yamashita, S Deguchi, K Harada, K Hirata, K Takayama, H Mizuguchi
Mol Ther Methods Clin Dev, 2019-11-21;17(0):49-57.
Species: Human
Sample Types: Whole Cells
Applications: Cell Culture -
Targeting TR4 nuclear receptor with antagonist bexarotene increases docetaxel sensitivity to better suppress the metastatic castration-resistant prostate cancer progression
Authors: L Hu, Y Sun, J Luo, X He, M Ye, G Li, Y Zhang, J Bai, D Zhang, C Chang
Oncogene, 2019-11-20;0(0):.
Species: Human
Sample Types: Whole Cells
Applications: Bioassay -
Enteroendocrine progenitor cell enriched miR-7 regulates intestinal epithelial proliferation in an Xiap-dependent manner
Authors: AP Singh, YH Hung, MT Shanahan, M Kanke, A Bonfini, MK Dame, M Biraud, BCE Peck, OO Oyesola, JM Freund, RL Cubitt, EG Curry, LM Gonzalez, GA Bewick, ED Tait-Wojno, NA Kurpios, S Ding, JR Spence, CM Dekaney, N Buchon, P Sethupathy
Cell Mol Gastroenterol Hepatol, 2019-11-19;0(0):.
Species: Human, Porcine
Sample Types: Whole Tissue
Applications: Tissue Culture -
Supplementation of vitamin C promotes early germ cell specification from human embryonic stem cells
Authors: Z Li, F Fang, Q Zhao, H Li, C Xiong
Stem Cell Res Ther, 2019-11-15;10(1):324.
Species: Human
Sample Types: Whole Cells
Applications: Cell Culture -
Hypoxic Preconditioning Enhances Survival and Proangiogenic Capacity of Human First Trimester Chorionic Villus-Derived Mesenchymal Stem Cells for Fetal Tissue Engineering
Authors: D Hao, C He, B Ma, L Lankford, L Reynaga, DL Farmer, F Guo, A Wang
Stem Cells Int, 2019-11-12;2019(0):9695239.
Species: Human
Sample Types: Whole Tissue
Applications: Tissue Culture -
Lipocalin-2 Regulates Epidermal Growth Factor Receptor Intracellular Trafficking
Authors: L Yammine, A Zablocki, W Baron, F Terzi, M Gallazzini
Cell Rep, 2019-11-12;29(7):2067-2077.e6.
Species: Human
Sample Types: Whole Cell
Applications: Cell Culture -
Cardiac Magnetic Resonance Imaging used for Evaluation of Adipose-Derived Stromal Cell Therapy in Patients with Chronic Ischemic Heart Disease
Authors: AA Qayyum, AB Mathiasen, ND Mygind, NG Vejlstrup, J Kastrup
Cell Transplant, 2019-11-08;0(0):9636897198835.
Species: Human
Sample Types: Whole Cells
Applications: Stimulation -
Epithelial CD47 is critical for mucosal repair in the murine intestine in vivo
Authors: M Reed, AC Luissint, V Azcutia, S Fan, MN O'Leary, M Quiros, J Brazil, A Nusrat, CA Parkos
Nat Commun, 2019-11-01;10(1):5004.
Species: Mouse
Sample Types: Cells
Applications: Cell Culture -
CRH Promotes the Neurogenic Activity of Neural Stem Cells in the Adult Hippocampus
Authors: Y Koutmani, IA Gampieraki, A Polissidis, M Ximerakis, PN Koutsoudak, A Polyzos, G Agrogianni, S Karaliota, D Thomaidou, LL Rubin, PK Politis, KP Karalis
Cell Rep, 2019-10-22;29(4):932-945.e7.
Species: Mouse
Sample Types: Whole Cells
Applications: Bioassay -
Suppression of LIM Kinase 1 and LIM Kinase 2 Limits Glioblastoma Invasion
Authors: J Chen, B Ananthanar, KS Springer, KJ Wolf, SM Sheyman, VD Tran, S Kumar
Cancer Res., 2019-10-22;0(0):.
Species: Human
Sample Types: Whole Cells
Applications: Bioassay -
Sufu- and Spop-mediated downregulation of Hedgehog signaling promotes beta cell differentiation through organ-specific niche signals
Authors: T Yung, F Poon, M Liang, S Coquenlorg, EC McGaugh, CC Hui, MD Wilson, MC Nostro, TH Kim
Nat Commun, 2019-10-11;10(1):4647.
Species: Human
Sample Types: Whole Cells
Applications: Bioassay -
Identification and Classification of Hubs in microRNA Target Gene Networks in Human Neural Stem/Progenitor Cells following Japanese Encephalitis Virus Infection
Authors: S Mukherjee, I Akbar, R Bhagat, B Hazra, A Bhattachar, P Seth, D Roy, A Basu
mSphere, 2019-10-02;4(5):.
Species: Human
Sample Types: Whole Cells
Applications: Cell Culture -
Neutralizing Monoclonal Antibodies Reduce Human Cytomegalovirus Infection and Spread in Developing Placentas
Authors: T Tabata, M Petitt, J Fang-Hoove, DC Freed, F Li, Z An, D Wang, TM Fu, L Pereira
Vaccines (Basel), 2019-09-29;7(4):.
Species: Human
Sample Types: Whole Cells
Applications: Bioassay -
Phosphorylation of adducin-1 by cyclin-dependent kinase 5 is important for epidermal growth factor-induced cell migration
Authors: CY Su, RL Yan, WH Hsu, CT Chu, HC Chang, CC Lai, HP Hsu, HC Chen
Sci Rep, 2019-09-23;9(1):13703.
Species: Human
Sample Types: Whole Cells
Applications: Bioassay -
Differentially Expressed microRNAs in MIA PaCa-2 and PANC-1 Pancreas Ductal Adenocarcinoma Cell Lines are Involved in Cancer Stem Cell Regulation
Authors: Y Shen, K Pu, K Zheng, X Ma, J Qin, L Jiang, J Li
Int J Mol Sci, 2019-09-10;20(18):.
Species: Human
Sample Types: Whole Cells
Applications: Bioassay -
Liposomal delivery of ferritin heavy chain 1 (FTH1) siRNA in patient xenograft derived glioblastoma initiating cells suggests different sensitivities to radiation and distinct survival mechanisms
Authors: V Ravi, AB Madhankuma, T Abraham, B Slagle-Web, JR Connor
PLoS ONE, 2019-09-06;14(9):e0221952.
Species: Human
Sample Types: Whole Cells
Applications: Bioassay -
CXCR1- or CXCR2-modified CAR T cells co-opt IL-8 for maximal antitumor efficacy in solid tumors
Authors: L Jin, H Tao, A Karachi, Y Long, AY Hou, M Na, KA Dyson, AJ Grippin, LP Deleyrolle, W Zhang, DA Rajon, QJ Wang, JC Yang, JL Kresak, EJ Sayour, M Rahman, FJ Bova, Z Lin, DA Mitchell, J Huang
Nat Commun, 2019-09-05;10(1):4016.
Species: Human
Sample Types: Whole Cells
Applications: Cell Culture -
Repurposing Penfluridol in Combination with Temozolomide for the Treatment of Glioblastoma
Authors: H Kim, K Chong, BK Ryu, KJ Park, MO Yu, J Lee, S Chung, S Choi, MJ Park, YG Chung, SH Kang
Cancers (Basel), 2019-09-05;11(9):.
Species: Human
Sample Types: Whole Cells
Applications: Bioassay -
Neurobiological roots of psychopathy
Authors: J Tiihonen, M Koskuvi, M Lähteenvuo, PLJ Virtanen, I Ojansuu, O Vaurio, Y Gao, I Hyötyläine, KA Puttonen, E Repo-Tiiho, T Paunio, MR Rautiainen, S Tyni, J Koistinaho, Š Lehtonen
Mol. Psychiatry, 2019-08-27;0(0):.
Species: Human
Sample Types: Whole Cells
Applications: Bioassay -
High Expression of Acid-Sensing Ion Channel 2 (ASIC2) in Bone Cells in Osteoporotic Vertebral Fractures
Authors: CY Lee, TJ Huang, MH Wu, YY Li, KD Lee
Biomed Res Int, 2019-08-19;2019(0):4714279.
Species: Human
Sample Types: Whole Cells
Applications: Bioassay -
Role of FOXC1 in regulating APSCs self-renewal via STI-1/PrPC signaling
Authors: YH Lee, HT Lee, CL Chen, CH Chang, CY Hsu, WC Shyu
Theranostics, 2019-08-15;9(22):6443-6465.
Species: Human
Sample Types: Tissue Explants
Applications: Cell Culture -
Patient-derived pancreas-on-a-chip to model cystic fibrosis-related disorders
Authors: K Shik Mun, K Arora, Y Huang, F Yang, S Yarlagadda, Y Ramananda, M Abu-El-Hai, JJ Palermo, BN Appakalai, JD Nathan, AP Naren
Nat Commun, 2019-07-16;10(1):3124.
Species: Human
Sample Types: Whole Cells
Applications: Cell Culture -
Blockade of STAT3 Causes Severe In Vitro and In Vivo Maturation Defects in Intestinal Organoids Derived from Human Embryonic Stem Cells
Authors: KB Jung, O Kwon, MO Lee, H Lee, YS Son, O Habib, JH Oh, HS Cho, CR Jung, J Kim, MY Son
J Clin Med, 2019-07-04;8(7):.
Species: Human
Sample Types: Organoid, Whole Cells
Applications: Bioassay -
Osmotic induction of cyclooxygenase-2 in RPE cells: Stimulation of inflammasome activation
Authors: L Messerschm, S Fischer, P Wiedemann, A Bringmann, M Hollborn
Mol. Vis., 2019-06-30;25(0):329-344.
Species: Human
Sample Types: Whole Cells
Applications: Bioassay -
A high-throughput screening and computation platform for identifying synthetic promoters with enhanced cell-state specificity (SPECS)
Authors: MR Wu, L Nissim, D Stupp, E Pery, A Binder-Nis, K Weisinger, C Enghuus, SR Palacios, M Humphrey, Z Zhang, E Maria Novo, M Kellis, R Weiss, SD Rabkin, Y Tabach, TK Lu
Nat Commun, 2019-06-28;10(1):2880.
Species: Human
Sample Types: Whole Cells
Applications: Cell Culture -
Intertumoral heterogeneity in patient-specific drug sensitivities in treatment-na�ve glioblastoma
Authors: E Skaga, E Kulesskiy, A Fayzullin, CJ Sandberg, S Potdar, A Kyttälä, IA Langmoen, A Laakso, E Gaál-Paavo, M Perola, K Wennerberg, EO Vik-Mo
BMC Cancer, 2019-06-25;19(1):628.
Species: Human
Sample Types: Whole Cells
Applications: Cell Culture -
Forkhead box K2 promotes human colorectal cancer metastasis by upregulating ZEB1 and EGFR
Authors: F Du, C Qiao, X Li, Z Chen, H Liu, S Wu, S Hu, Z Qiu, M Qian, D Tian, K Wu, D Fan, Y Nie, L Xia
Theranostics, 2019-05-31;9(13):3879-3902.
Species: Human
Sample Types: Whole Cells
Applications: Bioassay -
Impaired Regeneration Potential in Urinary Stem Cells Diagnosed from the Patients with Diabetic Nephropathy
Authors: G Xiong, W Tang, D Zhang, D He, G Wei, A Atala, XJ Liang, AJ Bleyer, ME Bleyer, J Yu, JA Aloi, JX Ma, CM Furdui, Y Zhang
Theranostics, 2019-05-31;9(14):4221-4232.
Species: Human
Sample Types: Whole Cells
Applications: Bioassay -
Isolation and propagation of primary human cholangiocyte organoids for the generation of bioengineered biliary tissue
Authors: OC Tysoe, AW Justin, T Brevini, SE Chen, KT Mahbubani, AK Frank, H Zedira, E Melum, K Saeb-Parsy, AE Markaki, L Vallier, F Sampazioti
Nat Protoc, 2019-05-20;14(6):1884-1925.
Species: Human
Sample Types: Whole Cells
Applications: Bioassay -
Relevance of a TCGA-derived Glioblastoma Subtype Gene-Classifier among Patient Populations
Authors: WY Teo, K Sekar, P Seshachala, J Shen, WY Chow, CC Lau, H Yang, J Park, SG Kang, X Li, DH Nam, KM Hui
Sci Rep, 2019-05-15;9(1):7442.
Species: Human
Sample Types: Whole Cells
Applications: Bioassay -
ABCG2 expression is related to low 5-ALA photodynamic diagnosis (PDD) efficacy and cancer stem cell phenotype, and suppression of ABCG2 improves the efficacy of PDD
Authors: N Kawai, Y Hirohashi, Y Ebihara, T Saito, A Murai, T Saito, T Shirosaki, T Kubo, M Nakatsugaw, T Kanaseki, T Tsukahara, T Shichinohe, L Li, S Hirano, T Torigoe
PLoS ONE, 2019-05-13;14(5):e0216503.
Species: Human
Sample Types: Whole Cells
Applications: Bioassay -
Immunomodulation with Human Umbilical Cord Blood Stem Cells Ameliorates Ischemic Brain Injury - A Brain Transcriptome Profiling Analysis
Authors: ML Shiao, C Yuan, AT Crane, JP Voth, M Juliano, LLH Stone, Z Nan, Y Zhang, N Kuzmin-Nic, PR Sanberg, AW Grande, WC Low
Cell Transplant, 2019-05-08;0(0):9636897198367.
Species: Human
Sample Types: Whole Cells
Applications: Bioassay -
MICAL-L2 potentiates Cdc42-dependent EGFR stability and promotes gastric cancer cell migration
Authors: P Min, S Zhao, L Liu, Y Zhang, Y Ma, X Zhao, Y Wang, Y Song, C Zhu, H Jiang, L Gu, J Du
J. Cell. Mol. Med., 2019-04-29;0(0):.
Species: Human
Sample Types: Whole Cells
Applications: Bioassay -
RUNX represses Pmp22 to drive neurofibromagenesis
Authors: A Hall, K Choi, W Liu, J Rose, C Zhao, Y Yu, Y Na, Y Cai, RA Coover, Y Lin, E Dombi, M Kim, D Levanon, Y Groner, E Boscolo, D Pan, PP Liu, QR Lu, N Ratner, G Huang, J Wu
Sci Adv, 2019-04-24;5(4):eaau8389.
Species: Mouse
Sample Types: Whole Cells
Applications: Bioassay -
Co-Transplantation of Human Umbilical Cord Mesenchymal Stem Cells and Human Neural Stem Cells Improves the Outcome in Rats with Spinal Cord Injury
Authors: L Sun, F Wang, H Chen, D Liu, T Qu, X Li, D Xu, F Liu, Z Yin, Y Chen
Cell Transplant, 2019-04-23;0(0):9636897198445.
Species: Human
Sample Types: Whole Cells
Applications: Bioassay -
Development of a Cx46 Targeting Strategy for Cancer Stem Cells
Authors: EE Mulkearns-, LA Torre-Heal, DJ Silver, JT Eurich, D Bayik, E Serbinowsk, M Hitomi, J Zhou, B Przychodze, R Zhang, SA Sprowls, JS Hale, TJ Alban, A Berezovsky, BA Bell, PR Lockman, BK Jha, JD Lathia
Cell Rep, 2019-04-23;27(4):1062-1072.e5.
Species: Xenograft
Sample Types: Whole Cells
Applications: Bioassay -
Activity of Selected Nucleoside Analogue ProTides against Zika Virus in Human Neural Stem Cells
Authors: JA Bernatchez, M Coste, S Beck, GA Wells, LA Luna, AE Clark, Z Zhu, D Hecht, JN Rich, CD Sohl, BW Purse, JL Siqueira-N
Viruses, 2019-04-20;11(4):.
Species: Human
Sample Types: Whole Cells
Applications: Bioassay -
PTPRK suppresses progression and chemo-resistance of colon cancer cells via direct inhibition of pro-oncogenic CD133
Authors: M Matsushita, Y Mori, K Uchiumi, T Ogata, M Nakamura, H Yoda, H Soda, N Takiguchi, Y Nabeya, O Shimozato, T Ozaki
FEBS Open Bio, 2019-04-18;0(0):.
Species: Human
Sample Types: Whole Cells
Applications: Bioassay -
Organoid culture media formulated with growth factors of defined cellular activity
Authors: M Urbischek, H Rannikmae, T Foets, K Ravn, M Hyvönen, M de la Roch
Sci Rep, 2019-04-17;9(1):6193.
Species: Human, Mouse
Sample Types: Whole Cells
Applications: Bioassay -
ATP6AP2 variant impairs CNS development and neuronal survival to cause fulminant neurodegeneration
Authors: T Hirose, A Cabrera-So, D Chitayat, T Lemonnier, O Féraud, C Cifuentes-, N Gervasi, C Mombereau, T Ghosh, L Stoica, JDA Bacha, H Yamada, MA Lauterbach, M Guillon, K Kaneko, JW Norris, K Siriwarden, S Blasér, J Teillon, R Mendoza-Lo, M Russeau, J Hadoux, S Ito, P Corvol, MG Matheus, KR Holden, K Takei, V Emiliani, A Bennaceur-, CE Schwartz, G Nguyen, M Groszer
J. Clin. Invest., 2019-04-15;130(0):.
Species: Human
Sample Types: Whole Cells
Applications: Bioassay -
Mechanism of Action of Methotrexate Against Zika Virus
Authors: S Beck, Z Zhu, MF Oliveira, DM Smith, JN Rich, JA Bernatchez, JL Siqueira-N
Viruses, 2019-04-10;11(4):.
Species: Human
Sample Types: Whole Cells
Applications: Cell Culture -
Pathogenic mutations in neurofibromin identifies a leucine-rich domain regulating glioma cell invasiveness
Authors: SFB Fadhlullah, NBA Halim, JYT Yeo, RLY Ho, P Um, BT Ang, C Tang, WH Ng, DM Virshup, IAW Ho
Oncogene, 2019-04-09;38(27):5367-5380.
Species: Human
Sample Types: Whole Cells
Applications: Bioassay -
Neutrophil extracellular traps (NETs) contribute to pathological changes of ocular graft-vs.-host disease (oGVHD) dry eye: Implications for novel biomarkers and therapeutic strategies
Authors: S An, I Raju, B Surenkhuu, JE Kwon, S Gulati, M Karaman, A Pradeep, S Sinha, C Mun, S Jain
Ocul Surf, 2019-04-06;0(0):.
Species: Human
Sample Types: Whole Cells
Applications: Bioassay -
Activation of MAPK signaling by CXCR7 leads to enzalutamide resistance in prostate cancer
Authors: S Li, KW Fong, G Gritsina, A Zhang, JC Zhao, J Kim, A Sharp, W Yuan, C Aversa, XJ Yang, PS Nelson, FY Feng, AM Chinnaiyan, JS de Bono, C Morrissey, MB Rettig, J Yu
Cancer Res., 2019-04-05;0(0):.
Species: Human
Sample Types: Whole Cells
Applications: Bioassay -
Connexin 43 plays an important role in the transformation of cholangiocytes with Clonochis sinensis excretory-secretory protein and N-nitrosodimethylamine
Authors: EM Kim, YM Bae, MH Choi, ST Hong
PLoS Negl Trop Dis, 2019-04-03;13(4):e0006843.
Species: Human
Sample Types: Whole Cells
Applications: Bioassay -
A Potential Antitumor Effect of Dendritic Cells Fused with Cancer Stem Cells in Hepatocellular Carcinoma
Authors: YB Pang, J He, BY Cui, S Xu, XL Li, MY Wu, R Liang, Y Feng, X Guo, XH Zhang, XL Luo
Stem Cells Int, 2019-04-01;2019(0):5680327.
Species: Human
Sample Types: Whole Cells
Applications: Bioassay -
Evaluating S. flexneri pathogenesis in the human enteroid model
Authors: S Ranganatha, M Doucet, CL Grassel, B Delaine-El, NC Zachos, EM Barry
Infect. Immun., 2019-03-25;0(0):.
Species: Human
Sample Types: Whole Tissue
Applications: Bioassay -
AKT drives SOX2 overexpression and cancer cell stemness in esophageal cancer by protecting SOX2 from UBR5-mediated degradation
Authors: Z Wang, L Kang, H Zhang, Y Huang, L Fang, M Li, PJ Brown, CH Arrowsmith, J Li, J Wong
Oncogene, 2019-03-20;0(0):.
Species: Human
Sample Types: Whole Cells
Applications: Bioassay -
Modeling Patient-Derived Glioblastoma with Cerebral Organoids
Authors: A Linkous, D Balamatsia, M Snuderl, L Edwards, K Miyaguchi, T Milner, B Reich, L Cohen-Goul, A Storaska, Y Nakayama, E Schenkein, R Singhania, S Cirigliano, T Magdeldin, Y Lin, G Nanjangud, K Chadalavad, D Pisapia, C Liston, HA Fine
Cell Rep, 2019-03-19;26(12):3203-3211.e5.
Species: Human
Sample Types: Whole Cells
Applications: Bioassay -
MKP-4 suppresses hepatocarcinogenesis by targeting ERK1/2 pathway
Authors: Z Shen, C Zhang, L Qu, C Lu, M Xiao, R Ni, J Liu
Cancer Cell Int., 2019-03-18;19(0):61.
Species: Human
Sample Types: Whole Cells
Applications: Bioassay -
Increased FUS levels in astrocytes leads to astrocyte and microglia activation and neuronal death
Authors: MA Ajmone-Cat, A Onori, C Toselli, E Stronati, M Morlando, I Bozzoni, E Monni, Z Kokaia, G Lupo, L Minghetti, S Biagioni, E Cacci
Sci Rep, 2019-03-14;9(1):4572.
Species: Human
Sample Types: Whole Cells
Applications: Bioassay -
Isolation and characterization of myogenic precursor cells from human cremaster muscle
Authors: N Naldaiz-Ga, M Goicoechea, IM Aragón, V Pérez-Lópe, S Fuertes-Al, B Herrera-Im, A López de M, R de Luna-Di, PM Baptista, MA Fernández, MF Lara, A Izeta
Sci Rep, 2019-03-05;9(1):3454.
Species: Human
Sample Types: Whole Cells
Applications: Bioassay -
c-Myc maintains the self-renewal and chemoresistance properties of colon cancer stem cells
Authors: HL Zhang, P Wang, MZ Lu, SD Zhang, L Zheng
Oncol Lett, 2019-02-28;17(5):4487-4493.
Species: Human
Sample Types: Whole Cells
Applications: Bioassay -
Zika virus infection induces RNAi-mediated antiviral immunity in human neural progenitors and brain organoids
Authors: YP Xu, Y Qiu, B Zhang, G Chen, Q Chen, M Wang, F Mo, J Xu, J Wu, RR Zhang, ML Cheng, NN Zhang, B Lyu, WL Zhu, MH Wu, Q Ye, D Zhang, JH Man, XF Li, J Cui, Z Xu, B Hu, X Zhou, CF Qin
Cell Res., 2019-02-27;0(0):.
Species: Human
Sample Types: Whole Cells
Applications: Bioassay -
Salinomycin: Anti-tumor activity in a pre-clinical colorectal cancer model
Authors: J Klose, S Trefz, T Wagner, L Steffen, A Prei beta endör, P Radhakrish, C Volz, T Schmidt, A Ulrich, SM Dieter, C Ball, H Glimm, M Schneider
PLoS ONE, 2019-02-14;14(2):e0211916.
Species: Human
Sample Types: Whole Cells
Applications: Bioassay -
Autonomous trisomic rescue of Down syndrome cells
Authors: M Inoue, K Kajiwara, A Yamaguchi, T Kiyono, O Samura, H Akutsu, H Sago, A Okamoto, A Umezawa
Lab. Invest., 2019-02-13;0(0):.
Species: Human
Sample Types: Whole Cells
Applications: Bioassay -
Combined prognostic value of the cancer stem cell markers CD47 and CD133 in esophageal squamous cell carcinoma
Authors: JH Wang, ST Huang, L Zhang, ZG Liu, RX Liang, SW Jiang, YN Jiang, XJ Yu, YC Jiang, XZ Li, PF Zhang, ZS Wen, M Zheng
Cancer Med, 2019-02-11;0(0):.
Species: Human
Sample Types:
Applications: Bioassay -
CIC protein instability contributes to tumorigenesis in glioblastoma
Authors: S Bunda, P Heir, J Metcalf, ASC Li, S Agnihotri, S Pusch, M Yasin, M Li, K Burrell, S Mansouri, O Singh, M Wilson, A Alamsahebp, R Nejad, B Choi, D Kim, A von Deimli, G Zadeh, K Aldape
Nat Commun, 2019-02-08;10(1):661.
Species: Human
Sample Types: Whole Cells
Applications: Bioassay -
Excess growth hormone suppresses DNA damage repair in epithelial cells
Authors: V Chesnokova, S Zonis, R Barrett, H Kameda, K Wawrowsky, A Ben-Shlomo, M Yamamoto, J Gleeson, C Bresee, V Gorbunova, S Melmed
JCI Insight, 2019-02-07;4(3):.
Species: Human
Sample Types: Whole Cells
Applications: Bioassay -
Encapsulated human mesenchymal stem cells (eMSCs) as a novel anti-cancer agent targeting breast cancer stem cells: development of 3D primed therapeutic MSCs
Authors: S Mandal, F Arfuso, G Sethi, A Dharmaraja, S Warrier
Int. J. Biochem. Cell Biol., 2019-02-06;0(0):.
Species: Human
Sample Types: Whole Cells
Applications: Bioassay -
Targeting APLN/APLNR improves anti-angiogenic efficiency and blunts pro-invasive side effects of VEGFA/VEGFR2-blockade in glioblastoma
Authors: G Mastrella, M Hou, M Li, VM Stoecklein, N Zdouc, MNM Volmar, H Miletic, S Reinhard, CC Herold-Men, S Kleber, K Eisenhut, G Gargiulo, M Synowitz, AL Vescovi, PN Harter, JM Penninger, E Wagner, M Mittelbron, R Bjerkvig, D Hambardzum, U Schüller, JC Tonn, J Radke, R Glass, RE Kälin
Cancer Res., 2019-02-04;0(0):.
Species: Human, Mouse
Sample Types: Whole Cells
Applications: Bioassay -
Differentiation and isolation of iPSC-derived remodeling ductal plate-like cells by use of an AQP1-GFP reporter human iPSC line
Authors: S Matsui, M Ochiai, K Yasuda, SI Mae, M Kotaka, T Toyoda, T Yamamoto, K Osafune
Stem Cell Res, 2019-01-31;35(0):101400.
Species: Human
Sample Types: Whole Cells
Applications: Bioassay -
Src and SHP2 coordinately regulate the dynamics and organization of vimentin filaments during cell migration
Authors: CY Yang, PW Chang, WH Hsu, HC Chang, CL Chen, CC Lai, WT Chiu, HC Chen
Oncogene, 2019-01-29;0(0):.
Species: Human
Sample Types: Whole Cells
Applications: Bioassay -
Differentiation and maturation of oligodendrocytes in human three-dimensional neural cultures
Authors: RM Marton, Y Miura, SA Sloan, Q Li, O Revah, RJ Levy, JR Huguenard, SP Pa?ca
Nat. Neurosci., 2019-01-28;0(0):.
Species: Human
Sample Types: Whole Cells
Applications: Bioassay -
SETDB1-mediated methylation of Akt promotes its K63-linked ubiquitination and activation leading to tumorigenesis
Authors: G Wang, J Long, Y Gao, W Zhang, F Han, C Xu, L Sun, SC Yang, J Lan, Z Hou, Z Cai, G Jin, CC Hsu, YH Wang, J Hu, TY Chen, H Li, MG Lee, HK Lin
Nat. Cell Biol., 2019-01-28;0(0):.
Species: Human, Mouse
Sample Types: Whole Cells
Applications: Bioassay -
Novel Gastric Cancer Stem Cell-Related Marker LINGO2 Is Associated with Cancer Cell Phenotype and Patient Outcome
Authors: JH Jo, SB Park, S Park, HS Lee, C Kim, DE Jung, SY Song
Int J Mol Sci, 2019-01-28;20(3):.
Species: Human
Sample Types: Whole Cells
Applications: Bioassay -
Ubiquitination of UVRAG by SMURF1 promotes autophagosome maturation and inhibits hepatocellular carcinoma growth
Authors: X Feng, Y Jia, Y Zhang, F Ma, Y Zhu, X Hong, Q Zhou, R He, H Zhang, J Jin, D Piao, H Huang, Q Li, X Qiu, Z Zhang
Autophagy, 2019-01-27;0(0):1-20.
Species: Human
Sample Types: Whole Cells
Applications: Bioassay -
Nanoparticle delivery of miR-708 mimetic impairs breast cancer metastasis
Authors: D Ramchandan, SK Lee, S Yomtoubian, MS Han, CH Tung, V Mittal
Mol. Cancer Ther., 2019-01-24;0(0):.
Species: Human
Sample Types: Whole Cells
Applications: Bioassay -
Characterization of the Src-regulated kinome identifies SGK1 as a key mediator of Src-induced transformation
Authors: X Ma, L Zhang, J Song, E Nguyen, RS Lee, SJ Rodgers, F Li, C Huang, RB Schittenhe, H Chan, C Chheang, J Wu, KK Brown, CA Mitchell, KJ Simpson, RJ Daly
Nat Commun, 2019-01-17;10(1):296.
Species: Human
Sample Types: Whole Cells
Applications: Bioassay -
Tyrosyl phosphorylation of KRAS stalls GTPase cycle via alteration of switch I and II conformation
Authors: Y Kano, T Gebregiwor, CB Marshall, N Radulovich, BPK Poon, J St-Germain, JD Cook, I Valencia-S, BMM Grant, SG Herrera, J Miao, B Raught, MS Irwin, JE Lee, JJ Yeh, ZY Zhang, MS Tsao, M Ikura, M Ohh
Nat Commun, 2019-01-15;10(1):224.
Species: Human
Sample Types: Whole Cells
Applications: Bioassay -
Efficient generation of human primordial germ cell-like cells from pluripotent stem cells in a methylcellulose-based 3D system at large scale
Authors: X Wang, T Liao, C Wan, X Yang, J Zhao, R Fu, Z Yao, Y Huang, Y Shi, G Chang, Y Zheng, F Luo, Z Liu, Y Wang, X Mao, XY Zhao
PeerJ, 2019-01-09;6(0):e6143.
Species: Human
Sample Types: Whole Cells
Applications: Bioassay -
Metformin Results in Diametrically Opposed Effects by Targeting Non-Stem Cancer Cells but Protecting Cancer Stem Cells in Head and Neck Squamous Cell Carcinoma
Authors: SZ Kuo, CO Honda, WT Li, TK Honda, E Kim, X Altuna, E Abhold, J Wang-Rodri, WM Ongkeko
Int J Mol Sci, 2019-01-07;20(1):.
Species: Human
Sample Types: Whole Cells
Applications: Bioassay -
Generation of human antral and fundic gastric organoids from pluripotent stem cells
Authors: TR Broda, KW McCracken, JM Wells
Nat Protoc, 2019-01-01;14(1):28-50.
Species: Human
Sample Types: Organoids
Applications: Bioassay -
The TFAP2C-Regulated OCT4 Naive Enhancer Is Involved in Human Germline Formation
Authors: D Chen, W Liu, J Zimmerman, WA Pastor, R Kim, L Hosohama, J Ho, M Aslanyan, JJ Gell, SE Jacobsen, AT Clark
Cell Rep, 2018-12-26;25(13):3591-3602.e5.
Species: Human
Sample Types: Whole Cells
Applications: Bioassay -
Expression of the human antimicrobial peptide ?-defensin-1 is repressed by the EGFR-ERK-MYC axis in colonic epithelial cells
Authors: C Bonamy, E Sechet, A Amiot, A Alam, M Mourez, L Fraisse, PJ Sansonetti, B Sperandio
Sci Rep, 2018-12-21;8(1):18043.
Species: Human
Sample Types: Organoids
Applications: Bioassay -
Reliability of human cortical organoid generation
Authors: SJ Yoon, LS Elahi, AM Pa?ca, RM Marton, A Gordon, O Revah, Y Miura, EM Walczak, GM Holdgate, HC Fan, JR Huguenard, DH Geschwind, SP Pa?ca
Nat. Methods, 2018-12-20;16(1):75-78.
Species: Human
Sample Types: Organoids
Applications: Bioassay -
? Cell Replacement after Gene Editing of a Neonatal Diabetes-Causing Mutation at the Insulin Locus
Authors: S Ma, R Viola, L Sui, V Cherubini, F Barbetti, D Egli
Stem Cell Reports, 2018-11-29;0(0):.
Species: Human
Sample Types: Whole Cells
Applications: Bioassay -
Efficient Generation of Small Intestinal Epithelial-like Cells from Human iPSCs for Drug Absorption and Metabolism Studies
Authors: R Negoro, K Takayama, K Kawai, K Harada, F Sakurai, K Hirata, H Mizuguchi
Stem Cell Reports, 2018-11-21;0(0):.
Species: Human
Sample Types: Whole Cells
Applications: Bioassay -
Aging, rather than Parkinson's disease, affects the responsiveness of PBMCs to the immunosuppression of bone marrow mesenchymal stem cells
Authors: YQ Guan, CS Zhao, HQ Zou, XM Yan, LL Luo, JL Wu, X Li, YA Zhang
Mol Med Rep, 2018-11-19;19(1):165-176.
Species: Human
Sample Types: Whole Cells
Applications: Bioassay -
Phosphorylation and inhibition of ceramide kinase by protein kinase C-?: Their changes by serine residue mutations
Authors: H Takahashi, H Ashikawa, H Nakamura, T Murayama
Cell. Signal., 2018-11-15;0(0):.
Species: Human
Sample Types:
Applications: Cell Culture -
Promotion of tumor progression and cancer stemness by MUC15 in thyroid cancer via the GPCR/ERK and integrin-FAK signaling pathways
Authors: C Choi, N Thi Thao T, T Van Ngu, SW Park, MS Song, SH Kim, YU Bae, PDN Ayudthaya, J Munir, E Kim, MJ Baek, S Song, S Ryu, KH Nam
Oncogenesis, 2018-11-12;7(11):85.
Species: Human
Sample Types: Whole Cells
Applications: Bioassay -
Dietary fiber sources and non-starch polysaccharide-degrading enzymes modify mucin expression and the immune profile of the swine ileum
Authors: M Ferrandis, MP Trudeau, YT Hung, Z Zeng, PE Urriola, GC Shurson, M Saqui-Salc
PLoS ONE, 2018-11-08;13(11):e0207196.
Species: Mouse
Sample Types: Whole Cells
Applications: Bioassay -
NuRD-interacting protein ZFP296 regulates genome-wide NuRD localization and differentiation of mouse embryonic stem cells
Authors: SL Kloet, ID Karemaker, L van Voorth, RGH Lindeboom, MP Baltissen, RR Edupuganti, DW Poramba-Li, PWTC Jansen, M Vermeulen
Nat Commun, 2018-11-02;9(1):4588.
Species: Mouse
Sample Types: Whole Cells
Applications: Bioassay -
Comprehensive Molecular Characterization of the Hippo Signaling Pathway in Cancer
Authors: Y Wang, X Xu, D Maglic, MT Dill, K Mojumdar, PK Ng, KJ Jeong, YH Tsang, D Moreno, VH Bhavana, X Peng, Z Ge, H Chen, J Li, Z Chen, H Zhang, L Han, D Du, CJ Creighton, GB Mills, F Camargo, H Liang
Cell Rep, 2018-10-30;25(5):1304-1317.e5.
Species: Human
Sample Types: Whole Cells
Applications: Bioassay -
Optimized Clump Culture Methods for Adult Human Multipotent Neural Cells
Authors: JY Yeon, JY Hwang, HW Lee, HJ Pyeon, JS Won, YJ Noh, H Nam, KM Joo
Int J Mol Sci, 2018-10-29;19(11):.
Species: Human
Sample Types: Whole Tissue
Applications: Bioassay -
A three-dimensional organoid model recapitulates tumorigenic aspects and drug responses of advanced human retinoblastoma
Authors: D Saengwimol, D Rojanaporn, V Chaitankar, P Chittavani, R Aroonroch, T Boontawon, W Thammachot, N Jinawath, S Hongeng, R Kaewkhaw
Sci Rep, 2018-10-23;8(1):15664.
Species: Human
Sample Types: Organoids
Applications: Organoid Culture -
Natural molecules induce and synergize to boost expression of the human antimicrobial peptide ?-defensin-3
Authors: E Sechet, E Telford, C Bonamy, PJ Sansonetti, B Sperandio
Proc. Natl. Acad. Sci. U.S.A., 2018-10-01;0(0):.
Species: Human
Sample Types: Organoids
Applications: Bioassay -
Treatment of Human Glioblastoma with a Live Attenuated Zika Virus Vaccine Candidate
Authors: Q Chen, J Wu, Q Ye, F Ma, Q Zhu, Y Wu, C Shan, X Xie, D Li, X Zhan, C Li, XF Li, X Qin, T Zhao, H Wu, PY Shi, J Man, CF Qin
MBio, 2018-09-18;9(5):.
Species: Human
Sample Types: Whole Cells
Applications: Bioassay -
Three-Dimensional Organoids Reveal Therapy Resistance of Esophageal and Oropharyngeal Squamous Cell Carcinoma Cells
Authors: T Kijima, H Nakagawa, M Shimonoson, PM Chandramou, T Hara, V Sahu, Y Kasagi, O Kikuchi, K Tanaka, V Giroux, AB Muir, KA Whelan, S Ohashi, S Naganuma, AJ Klein-Szan, Y Shinden, K Sasaki, I Omoto, Y Kita, M Muto, AJ Bass, JA Diehl, GG Ginsberg, Y Doki, M Mori, Y Uchikado, T Arigami, NG Avadhani, D Basu, AK Rustgi, S Natsugoe
Cell Mol Gastroenterol Hepatol, 2018-09-14;7(1):73-91.
Species: Human
Sample Types: Organoids
Applications: Bioassay -
Coordinated collective migration and asymmetric cell division in confluent human keratinocytes without wounding
Authors: E Lång, A Po?e?, A Lång, M Valk, P Blicher, AD Rowe, KA Tønseth, CJ Jackson, TP Utheim, LMC Janssen, J Eriksson, SO Bøe
Nat Commun, 2018-09-10;9(1):3665.
Species: Human
Sample Types: Whole Cells
Applications: Cell Culture -
Generation and assembly of human brain region-specific three-dimensional cultures
Authors: SA Sloan, J Andersen, AM Pa?ca, F Birey, SP Pa?ca
Nat Protoc, 2018-09-01;0(0):.
Species: Human
Sample Types: Whole Cells
Applications: Cell Culture -
PEG-4MAL hydrogels for human organoid generation, culture, and in vivo delivery
Authors: R Cruz-Acuña, M Quirós, S Huang, D Siuda, JR Spence, A Nusrat, AJ García
Nat Protoc, 2018-09-01;0(0):.
Species: Human
Sample Types: Organoids
Applications: Bioassay -
Efficient derivation of sympathetic neurons from human pluripotent stem cells with a defined condition
Authors: K Kirino, T Nakahata, T Taguchi, MK Saito
Sci Rep, 2018-08-27;8(1):12865.
Species: Human
Sample Types: Whole Cells
Applications: Bioassay -
Genetically engineered human cortical spheroid models of tuberous sclerosis
Authors: JD Blair, D Hockemeyer, HS Bateup
Nat. Med., 2018-08-20;0(0):.
Species: Human
Sample Types: Whole Cells
Applications: Bioassay -
Induction of store-operated calcium entry (SOCE) suppresses glioblastoma growth by inhibiting the Hippo pathway transcriptional coactivators YAP/TAZ
Authors: Z Liu, Y Wei, L Zhang, PP Yee, M Johnson, X Zhang, M Gulley, JM Atkinson, M Trebak, HG Wang, W Li
Oncogene, 2018-08-06;38(1):120-139.
Species: Human
Sample Types: Whole Cells
Applications: Bioassay -
Self-Renewing Trophoblast Organoids Recapitulate the Developmental Program of the Early Human Placenta
Authors: S Haider, G Meinhardt, L Saleh, V Kunihs, M Gamperl, U Kaindl, A Ellinger, TR Burkard, C Fiala, J Pollheimer, S Mendjan, PA Latos, M Knöfler
Stem Cell Reports, 2018-08-02;0(0):.
Species: Human
Sample Types: Whole Cells
Applications: Bioassay -
Significant therapeutic effects of adult human multipotent neural cells on spinal cord injury
Authors: KH Lee, HJ Pyeon, H Nam, JS Won, JY Hwang, KA Lee, JY Yeon, SC Hong, DH Nam, K Lee, SH Lee, KM Joo
Stem Cell Res, 2018-07-19;31(0):71-78.
Species: Human
Sample Types: Whole Cells
Applications: Bioassay -
BMP9 counteracts the tumorigenic and pro-angiogenic potential of glioblastoma
Authors: E Porcù, F Maule, D Boso, E Rampazzo, V Barbieri, G Zuccolotto, A Rosato, C Frasson, G Viola, AD Puppa, G Basso, L Persano
Cell Death Differ., 2018-07-05;0(0):.
Species: Human
Sample Types: Whole Cells
Applications: Bioassay -
Acoustic waves improves retroviral transduction in human retinal stem cells
Authors: CH Peng, LC Woung, KH Lu, CY Tsai, SD Lee, CS Huang, TC Lin, KH Chien, DK Hwang
J Chin Med Assoc, 2018-06-22;0(0):.
Species: Human
Sample Types: Whole Cells
Applications: Bioassay -
Modeling human early otic sensory cell development with induced pluripotent stem cells
Authors: H Lahlou, A Lopez-Juar, A Fontbonne, E Nivet, A Zine
PLoS ONE, 2018-06-14;13(6):e0198954.
Species: Human
Sample Types: Whole Cells
Applications: Bioassay -
Ythdf2-mediated m6A mRNA clearance modulates neural development in mice
Authors: M Li, X Zhao, W Wang, H Shi, Q Pan, Z Lu, SP Perez, R Suganthan, C He, M Bjørås, A Klungland
Genome Biol., 2018-05-31;19(1):69.
Species: Mouse
Sample Types: Whole Cells
Applications: Bioassay -
SNAIL is a key regulator of alveolar rhabdomyosarcoma tumor growth and differentiation through repression of MYF5 and MYOD function
Authors: K Skrzypek, A Kusienicka, E Trzyna, B Szewczyk, A Ulman, P Konieczny, T Adamus, B Badyra, M Kortylewsk, M Majka
Cell Death Dis, 2018-05-29;9(6):643.
Species: Human
Sample Types: Whole Cells
Applications: Bioassay -
Expansion of human primary hepatocytes in vitro through their amplification as liver progenitors in a 3D organoid system
Authors: D Garnier, R Li, F Delbos, A Fourrier, C Collet, C Guguen-Gui, C Chesné, TH Nguyen
Sci Rep, 2018-05-29;8(1):8222.
Species: Human
Sample Types: Organoids
Applications: Bioassay -
miR-550a-3-5p acts as a tumor suppressor and reverses BRAF inhibitor resistance through the direct targeting of YAP
Authors: MH Choe, Y Yoon, J Kim, SG Hwang, YH Han, JS Kim
Cell Death Dis, 2018-05-29;9(6):640.
Species: Human
Sample Types: Whole Cells
Applications: Bioassay -
Targeting wild-type KRAS-amplified gastroesophageal cancer through combined MEK and SHP2 inhibition
Authors: GS Wong, J Zhou, JB Liu, Z Wu, X Xu, T Li, D Xu, SE Schumacher, J Puschhof, J McFarland, C Zou, A Dulak, L Henderson, P Xu, E O'Day, R Rendak, WL Liao, F Cecchi, T Hembrough, S Schwartz, C Szeto, AK Rustgi, KK Wong, JA Diehl, K Jensen, F Graziano, A Ruzzo, S Fereshetia, P Mertins, SA Carr, R Beroukhim, K Nakamura, E Oki, M Watanabe, H Baba, Y Imamura, D Catenacci, AJ Bass
Nat. Med., 2018-05-28;0(0):.
Species: Human
Sample Types: Whole Cells
Applications: Bioassay -
Voltage-dependent Ca2+ channels promote branching morphogenesis of salivary glands by patterning differential growth
Authors: JM Kim, S Choi, SW Lee, K Park
Sci Rep, 2018-05-15;8(1):7566.
Species: Mouse
Sample Types: Complex Sample Type
Applications: Bioassay -
Laterally confined growth of cells induces nuclear reprogramming in the absence of exogenous biochemical factors
Authors: B Roy, S Venkatacha, P Ratna, Y Wang, DS Jokhun, M Nagarajan, GV Shivashank
Proc. Natl. Acad. Sci. U.S.A., 2018-05-07;0(0):.
Species: Human
Sample Types: Whole Cells
Applications: Bioassay -
Potential role of CBX7 in regulating pluripotency of adult human pluripotent-like olfactory stem cells in stroke model
Authors: JR Fan, HT Lee, W Lee, CH Lin, CY Hsu, CH Hsieh, WC Shyu
Cell Death Dis, 2018-05-01;9(5):502.
Species: Human
Sample Types: Whole Tissue
Applications: Bioassay -
High CD44 expression mediates p62-associated NFE2L2/NRF2 activation in breast cancer stem cell-like cells: Implications for cancer stem cell resistance
Authors: IG Ryoo, BH Choi, SK Ku, MK Kwak
Redox Biol, 2018-04-26;17(0):246-258.
Species: Human
Sample Types: Whole Cells
Applications: Bioassay -
Effect of colorectal cancer-derived extracellular vesicles on the immunophenotype and cytokine secretion profile of monocytes and macrophages
Authors: I Pop?na, A ?bols, L Saul?te, K Pleiko, E Zandberga, K J?kabsons, E Endzeli?š, A Llorente, A Lin?, U Rieksti?a
Cell Commun. Signal, 2018-04-24;16(1):17.
Species: Human
Sample Types: Whole Cells
Applications: Cell Culture -
HOXD3 Plays a Critical Role in Breast Cancer Stemness and Drug Resistance
Authors: Y Zhang, Q Zhang, Z Cao, Y Huang, S Cheng, D Pang
Cell. Physiol. Biochem., 2018-04-23;46(4):1737-1747.
Species: Human
Sample Types: Whole Cells
Applications: Bioassay -
Lineage specific transcription factors and epigenetic regulators mediate TGF?-dependent enhancer activation
Authors: R Fueyo, S Iacobucci, S Pappa, C Estarás, S Lois, M Vicioso-Ma, C Navarro, S Cruz-Molin, JC Reyes, Á Rada-Igles, X de la Cruz, MA Martínez-B
Nucleic Acids Res., 2018-04-20;0(0):.
Species: Mouse
Sample Types: Whole Cells
Applications: Bioassay -
Neural Stem Cell-Conditioned Medium Ameliorated Cerebral Ischemia-Reperfusion Injury in Rats
Authors: H Yang, C Wang, H Chen, L Li, S Ma, H Wang, Y Fu, T Qu
Stem Cells Int, 2018-04-03;2018(0):4659159.
Species: Human
Sample Types: Whole Cells
Applications: Bioassay -
Combinatorial effects of VEGFR kinase inhibitor axitinib and oncolytic virotherapy in mouse and human glioblastoma stem-like cell models
Authors: D Saha, H Wakimoto, CW Peters, SJ Antoszczyk, SD Rabkin, RL Martuza
Clin. Cancer Res., 2018-03-29;0(0):.
Species: Human, Mouse
Sample Types: Whole Cells
Applications: Bioassay -
TGF? and IGF1R signaling activate protein kinase A through differential regulation of ezrin phosphorylation in colon cancer�cells
Authors: PD Leiphrakpa, MG Brattain, JD Black, JJ Wang
J. Biol. Chem., 2018-03-29;0(0):.
Species: Human
Sample Types: Whole Cells
Applications: Bioassay -
Genome Editing in Neuroepithelial Stem Cells to Generate Human Neurons with High Adenosine-Releasing Capacity
Authors: D Poppe, J Doerr, M Schneider, R Wilkens, JA Steinbeck, J Ladewig, A Tam, DE Paschon, PD Gregory, A Reik, CE Müller, P Koch, O Brüstle
Stem Cells Transl Med, 2018-03-28;0(0):.
Species: Human
Sample Types: Whole Cells
Applications: Bioassay -
Mutations in PMPCB Encoding the Catalytic Subunit of the Mitochondrial Presequence Protease Cause Neurodegeneration in Early Childhood
Authors: FN Vögtle, B Brändl, A Larson, M Pendziwiat, MW Friederich, SM White, A Basinger, C Kücükköse, H Muhle, JA Jähn, O Keminer, KL Helbig, CF Delto, L Myketin, D Mossmann, N Burger, N Miyake, A Burnett, A van Baalen, MA Lovell, N Matsumoto, M Walsh, HC Yu, DN Shinde, U Stephani, JLK Van Hove, FJ Müller, I Helbig
Am. J. Hum. Genet., 2018-03-22;0(0):.
Species: Human
Sample Types: Whole Cells
Applications: Bioassay -
Implementation of a Multiplex and Quantitative Proteomics Platform for Assessing Protein Lysates Using DNA-Barcoded Antibodies
Authors: J Lee, GK Geiss, G Demirkan, CP Vellano, B Filanoski, Y Lu, Z Ju, S Yu, H Guo, LY Bogatzki, WE Carter, RK Meredith, S Krishnamur, Z Ding, JM Beechem, G Mills
Mol. Cell Proteomics, 2018-03-12;0(0):.
Species: Human
Sample Types: Whole Cells
Applications: Bioassay -
Human amniotic mesenchymal stem cells improve ovarian function in natural aging through secreting hepatocyte growth factor and epidermal growth factor
Authors: C Ding, Q Zou, F Wang, H Wu, R Chen, J Lv, M Ling, J Sun, W Wang, H Li, B Huang
Stem Cell Res Ther, 2018-03-09;9(1):55.
Species: Human
Sample Types: Whole Cells
Applications: Bioassay -
Epithelial-Mesenchymal Transition during Metastasis of HPV-Negative Pharyngeal Squamous Cell Carcinoma
Authors: F Ihler, R Gratz, HA Wolff, BG Weiss, M Bertlich, J Kitz, G Salinas, M Rave-Fränk, M Canis
Biomed Res Int, 2018-03-06;2018(0):7929104.
Species: Human
Sample Types: Whole Cells
Applications: Bioassay -
A novel ex vivo Huntington's disease model for studying GABAergic neurons and cell grafts by laser microdissection
Authors: EM André, N Daviaud, L Sindji, J Cayon, R Perrot, CN Montero-Me
PLoS ONE, 2018-03-05;13(3):e0193409.
Species: Human
Sample Types: Whole Cells
Applications: Bioassay -
Characterization of a novel OTX2-driven stem cell program in Group 3 and Group 4 medulloblastoma
Authors: M Stromecki, N Tatari, LC Morrison, R Kaur, J Zagozewski, G Palidwor, V Ramaswamy, P Skowron, M Wölfl, T Milde, MR Del Bigio, MD Taylor, TE Werbowetsk
Mol Oncol, 2018-03-01;12(4):495-513.
Species: Human
Sample Types: Whole Cells
Applications: Bioassay -
SOX2OT variant 7 contributes to the synergistic interaction between EGCG and Doxorubicin to kill osteosarcoma via autophagy and stemness inhibition
Authors: W Wang, D Chen, K Zhu
J. Exp. Clin. Cancer Res., 2018-02-23;37(1):37.
Species: Human
Sample Types: Whole Cells
Applications: Bioassay -
Microbiota-Derived Indole Metabolites Promote Human and Murine Intestinal Homeostasis through Regulation of Interleukin-10 Receptor
Authors: EE Alexeev, JM Lanis, DJ Kao, EL Campbell, CJ Kelly, KD Battista, ME Gerich, BR Jenkins, ST Walk, DJ Kominsky, SP Colgan
Am. J. Pathol., 2018-02-16;0(0):.
Species: Human
Sample Types: Organoid
Applications: Bioassay -
Isolation and characterization of mesenchymal stem cells from human fetus heart
Authors: VNS Garikipati, SP Singh, Y Mohanram, AK Gupta, D Kapoor, S Nityanand
PLoS ONE, 2018-02-08;13(2):e0192244.
Species: Human
Sample Types: Whole Cells
Applications: Bioassay -
Targeted BiTE expression by an oncolytic vector augments therapeutic efficacy against solid tumors
Authors: T Speck, JP Heidbueche, R Veinalde, D Jaeger, C von Kalle, CR Ball, G Ungerechts, CE Engeland
Clin. Cancer Res., 2018-02-06;0(0):.
Species: Human
Sample Types: Whole Cells
Applications: Bioassay -
Attenuation of reactive gliosis in stroke-injured mouse brain does not affect neurogenesis from grafted human iPSC-derived neural progenitors
Authors: C Laterza, N Uoshima, D Tornero, U Wilhelmsso, A Stokowska, R Ge, M Pekny, O Lindvall, Z Kokaia
PLoS ONE, 2018-02-05;13(2):e0192118.
Species: Human
Sample Types: Whole Cells
Applications: Bioassay -
Preserving Basement Membranes during Detachment of Cultivated Oral Mucosal Epithelial Cell Sheets for the Treatment of Total Bilateral Limbal Stem Cell Deficiency
Authors: MR Rovere, P Rousselle, M Haftek, B Charleux, V Kocaba, C Auxenfans, S Nataf, O Damour
Cell Transplant, 2018-02-01;27(2):264-274.
Species: Human
Sample Types: Whole Cells
Applications: Bioassay -
The antigen ASB4 on cancer stem cells serves as a target for CTL immunotherapy of colorectal cancer
Authors: S Miyamoto, V Kochin, T Kanaseki, A Hongo, S Tokita, Y Kikuchi, A Takaya, Y Hirohashi, T Tsukahara, T Terui, K Ishitani, F Hata, I Takemasa, A Miyazaki, H Hiratsuka, N Sato, T Torigoe
Cancer Immunol Res, 2018-01-25;0(0):.
Species: Human
Sample Types: Whole Cells
Applications: Bioassay -
Discovery of a small-molecule protein kinase C?-selective activator with promising application in colon cancer therapy
Authors: C Bessa, J Soares, L Raimundo, JB Loureiro, C Gomes, F Reis, ML Soares, D Santos, C Dureja, SR Chaudhuri, C Lopez-Habe, MG Kazanietz, J Gonçalves, MF Simões, P Rijo, L Saraiva
Cell Death Dis, 2018-01-18;9(2):23.
Species: Human
Sample Types: Whole Cells
Applications: Bioassay -
Intermittent, low dose carbon monoxide exposure enhances survival and dopaminergic differentiation of human neural stem cells
Authors: N Dreyer-And, AS Almeida, P Jensen, M Kamand, J Okarmus, T Rosenberg, SD Friis, A Martínez S, M Blaabjerg, BW Kristensen, T Skrydstrup, JB Gramsberge, HLA Vieira, M Meyer
PLoS ONE, 2018-01-16;13(1):e0191207.
Species: Human
Sample Types: Whole Cells
Applications: Bioassay -
Fast neurogenesis from carotid body quiescent neuroblasts accelerates adaptation to hypoxia
Authors: V Sobrino, P González-R, V Annese, J López-Barn, R Pardal
EMBO Rep., 2018-01-15;0(0):.
Species: Human
Sample Types: Whole Cells
Applications: Cell Culture -
Umbilical cord mesenchymal stem cell transplantation in the treatment of multiple sclerosis
Authors: M Meng, Y Liu, W Wang, C Wei, F Liu, Z Du, Y Xie, W Tang, Z Hou, Q Li
Am J Transl Res, 2018-01-15;10(1):212-223.
Species: Human
Sample Types: Whole Cells
Applications: Differentiation, Differentiation -
Pharmacological blockade of ASCT2-dependent glutamine transport leads to antitumor efficacy in preclinical models
Authors: ML Schulte, A Fu, P Zhao, J Li, L Geng, ST Smith, J Kondo, RJ Coffey, MO Johnson, JC Rathmell, JT Sharick, MC Skala, JA Smith, J Berlin, MK Washington, ML Nickels, HC Manning
Nat. Med., 2018-01-15;0(0):.
Species: Human
Sample Types: Whole Cells
Applications: Bioassay -
Hedgehog Pathway Drives Fusion-Negative Rhabdomyosarcoma Initiated From Non-myogenic Endothelial Progenitors
Authors: CJ Drummond, JA Hanna, MR Garcia, DJ Devine, AJ Heyrana, D Finkelstei, JE Rehg, ME Hatley
Cancer Cell, 2018-01-08;33(1):108-124.e5.
Species: Mouse
Sample Types: Whole Cells
Applications: Bioassay -
PRDM14 is expressed in germ cell tumors with constitutive overexpression altering human germline differentiation and proliferation
Authors: JJ Gell, J Zhao, D Chen, TJ Hunt, AT Clark
Stem Cell Res, 2018-01-04;27(0):46-56.
Species: Human
Sample Types: Whole Cells
Applications: Bioassay -
New localization and function of calpain-2 in nucleoli of colorectal cancer cells in ribosomal biogenesis: effect of KRAS status
Authors: M Telechea-F, L Rodríguez-, C García, R Zaragozá, J Viña, A Cervantes, ER García-Tre
Oncotarget, 2018-01-03;9(10):9100-9113.
Species: Human
Sample Types: Whole Cells
Applications: Bioassay -
TRPM4 regulates Akt/GSK3-? activity and enhances ?-catenin signaling and cell proliferation in prostate cancer cells
Authors: AI Sagredo, EA Sagredo, C Cappelli, P Báez, AM Rodrigo, C Blanco, JC Tapia, C Echeverría, O Cerda, A Stutzin, F Simon, K Marcelain, R Armisén
Mol Oncol, 2017-12-30;0(0):.
Species: Human
Sample Types: Whole Cells
Applications: Bioassay -
Enhanced Utilization of Induced Pluripotent Stem Cell-Derived Human Intestinal Organoids Using Microengineered Chips.
Authors: Michael J Workman, John P Gleeson, Elissa J Troisi, Hannah Q Estrada, S Jordan Kerns, Christopher D Hinojosa, Geraldine A Hamilton, Stephan R Targan, Clive N Svendsen, Robert J Barrett
Cellular and Molecular Gastroenterology and Hepatology, 2017-12-29;0(0):2352-345X.
Species: Human
Sample Types: Whole Cells
Applications: Bioassay -
Breast cancer stem cells in HER2-negative breast cancer cells contribute to HER2-mediated radioresistance and molecular subtype conversion: clinical implications for serum HER2 in recurrent HER2-negative breast cancer
Authors: YG Kim, YN Yoon, HS Choi, JH Kim, H Seol, JK Lee, MK Seong, IC Park, KI Kim, HA Kim, JS Kim, WC Noh
Oncotarget, 2017-12-20;9(5):5811-5822.
Species: Human
Sample Types: Whole Cells
Applications: Bioassay -
Ligand-activated epidermal growth factor receptor (EGFR) signaling governs endocytic trafficking of unliganded receptor monomers by non-canonical phosphorylation
Authors: T Tanaka, Y Zhou, T Ozawa, R Okizono, A Banba, T Yamamura, E Oga, A Muraguchi, H Sakurai
J. Biol. Chem., 2017-12-18;0(0):.
Species: Human
Sample Types: Whole Cells
Applications: Bioassay -
Cografting astrocytes improves cell therapeutic outcomes in a Parkinson's disease model
Authors: JJ Song, SM Oh, OC Kwon, N Wulnansari, HS Lee, MY Chang, E Lee, W Sun, SE Lee, S Chang, H An, CJ Lee, SH Lee
J. Clin. Invest., 2017-12-11;0(0):.
Species: Mouse
Sample Types: Whole Cells
Applications: Bioassay -
Fisetin inhibits epidermal growth factor-induced migration of ARPE-19 cells by suppression of AKT activation and Sp1-dependent MMP-9 expression
Authors: HY Lin, YS Chen, K Wang, HW Chien, YH Hsieh, SF Yang
Mol. Vis., 2017-12-10;23(0):900-910.
Species: Human
Sample Types: Whole Cells
Applications: Bioassay -
Bone marrow drives central nervous system regeneration after radiation injury
Authors: J Dietrich, N Baryawno, N Nayyar, YK Valtis, B Yang, I Ly, A Besnard, N Severe, KU Gustafsson, OC Andronesi, TT Batchelor, A Sahay, DT Scadden
J. Clin. Invest., 2017-12-04;0(0):.
Species: Mouse
Sample Types: Whole Cells
Applications: Bioassay -
Notch transactivates Rheb to maintain the multipotency of TSC-null cells.
Authors: Jun-Hung Cho, Bhaumik Patel, Santosh Bonala, Sasikanth Manne, Yan Zhou, Surya K Vadrevu, Jalpa Patel, Marco Peronaci, Shanawaz Ghouse, Elizabeth P Henske, Fabrice Roegiers, Krinio Giannikou, David J Kwiatkows, Hossein Mansouri, Maciej M Markiewsk, Brandon White, Magdalena Karbownic
Nature Communications, 2017-11-29;0(0):2041-1723.
Species: Human
Sample Types: Whole Cells
Applications: Bioassay -
M�ller glial microRNAs are required for the maintenance of glial homeostasis and retinal architecture
Authors: SG Wohl, NL Jorstad, EM Levine, TA Reh
Nat Commun, 2017-11-17;8(1):1603.
Species: Mouse
Sample Types: Whole Cells
Applications: Bioassay -
Structure of SgK223 pseudokinase reveals novel mechanisms of homotypic and heterotypic association
Authors: O Patel, MDW Griffin, S Panjikar, W Dai, X Ma, H Chan, C Zheng, A Kropp, JM Murphy, RJ Daly, IS Lucet
Nat Commun, 2017-10-27;8(1):1157.
Species: Human
Sample Types: Whole Cells
Applications: Bioassay -
Coding and noncoding landscape of extracellular RNA released by human glioma stem cells
Authors: Z Wei, AO Batagov, S Schinelli, J Wang, Y Wang, R El Fatimy, R Rabinovsky, L Balaj, CC Chen, F Hochberg, B Carter, XO Breakefiel, AM Krichevsky
Nat Commun, 2017-10-26;8(1):1145.
Species: Human
Sample Types: Whole Cells
Applications: Bioassay -
Comparative Analysis of Spontaneous and Stimulus-Evoked Calcium Transients in Proliferating and Differentiating Human Midbrain-Derived Stem Cells
Authors: T Johansen, C Krabbe, SI Schmidt, AM Serrano, M Meyer
Stem Cells Int, 2017-10-22;2017(0):9605432.
Species: Human
Sample Types: Whole Cells
Applications: Bioassay -
Radiation-induced alternative transcripts as detected in total and polysome-bound mRNA
Authors: A Wahba, MC Ryan, UT Shankavara, K Camphausen, PJ Tofilon
Oncotarget, 2017-10-09;9(1):691-705.
Species: Human
Sample Types: Whole Cells
Applications: Bioassay -
GLI2 induces PDGFRB expression and modulates cancer stem cell properties of gastric cancer
Authors: JX Wang, JF Zhou, FK Huang, L Zhang, QL He, HY Qian, HL Lai
Eur Rev Med Pharmacol Sci, 2017-10-01;21(17):3857-3865.
Species: Human
Sample Types: Whole Cells
Applications: Bioassay -
Glycoprotein 2 is a specific cell surface marker of human pancreatic progenitors
Authors: KF Cogger, A Sinha, F Sarangi, EC McGaugh, D Saunders, C Dorrell, S Mejia-Guer, Y Aghazadeh, JL Rourke, RA Screaton, M Grompe, PR Streeter, AC Powers, M Brissova, T Kislinger, MC Nostro
Nat Commun, 2017-08-24;8(1):331.
Species: Human
Sample Types: Whole Cells
Applications: Bioassay -
Zika-Virus-Encoded NS2A Disrupts Mammalian Cortical Neurogenesis by Degrading Adherens Junction Proteins
Authors: KJ Yoon, G Song, X Qian, J Pan, D Xu, HS Rho, NS Kim, C Habela, L Zheng, F Jacob, F Zhang, EM Lee, WK Huang, FR Ringeling, C Vissers, C Li, L Yuan, K Kang, S Kim, J Yeo, Y Cheng, S Liu, Z Wen, CF Qin, Q Wu, KM Christian, H Tang, P Jin, Z Xu, J Qian, H Zhu, H Song, GL Ming
Cell Stem Cell, 2017-08-17;0(0):.
Species: Mouse
Sample Types: Whole Cells
Applications: Bioassay -
Unraveling a tumor type-specific regulatory core underlying E2F1-mediated epithelial-mesenchymal transition to predict receptor protein signatures
Authors: FM Khan, S Marquardt, SK Gupta, S Knoll, U Schmitz, A Spitschak, D Engelmann, J Vera, O Wolkenhaue, BM Pützer
Nat Commun, 2017-08-04;8(1):198.
Species: Human
Sample Types: Whole Cells
Applications: Bioassay -
The tumor suppressor protein OPCML potentiates anti-EGFR and anti-HER2 targeted therapy in HER2-positive ovarian and breast cancer
Authors: E Zanini, LS Louis, J Antony, E Karali, IS Okon, AB McKie, S Vaughan, M El-Bahrawy, J Stebbing, C Recchi, H Gabra
Mol. Cancer Ther., 2017-08-03;0(0):.
Species: Human
Sample Types: Whole Cells
Applications: Bioassay -
Activin-A enhances mTOR signaling to promote aberrant chondrogenesis in fibrodysplasia ossificans progressiva
Authors: K Hino, K Horigome, M Nishio, S Komura, S Nagata, C Zhao, Y Jin, K Kawakami, Y Yamada, A Ohta, J Toguchida, M Ikeya
J. Clin. Invest., 2017-07-31;0(0):.
Species: Human
Sample Types: Whole Cells
Applications: Bioassay -
Transglutaminase 2 inhibition reverses mesenchymal transdifferentiation of glioma stem cells by regulating C/EBP? signaling
Authors: J Yin, YT Oh, JY Kim, SS Kim, E Choi, TH Kim, JH Hong, N Chang, HJ Cho, JK Sa, JC Kim, HJ Kwon, S Park, W Lin, I Nakano, HS Gwak, H Yoo, SH Lee, J Lee, JH Kim, SY Kim, DH Nam, MJ Park, JB Park
Cancer Res., 2017-07-28;0(0):.
Species: Human
Sample Types: Whole Cells
Applications: Bioassay -
Human dental pulp pluripotent-like stem cells promote wound healing and muscle regeneration
Authors: E Martínez-S, S Montori, C Gil-Recio, R Núñez-Told, D Costamagna, A Rotini, M Atari, A Luttun, M Sampaolesi
Stem Cell Res Ther, 2017-07-27;8(1):175.
Species: Human
Sample Types: Tissue Homogenates
Applications: Bioassay -
MYC-regulated Mevalonate Metabolism Maintains Brain Tumor Initiating Cells
Authors: X Wang, Z Huang, Q Wu, BC Prager, SC Mack, K Yang, LJY Kim, RC Gimple, Y Shi, S Lai, Q Xie, TE Miller, CG Hubert, A Song, Z Dong, W Zhou, X Fang, Z Zhu, V Mahadev, S Bao, JN Rich
Cancer Res., 2017-07-20;0(0):.
Species: Human
Sample Types: Whole Tissue
Applications: Bioassay -
Ursodeoxycholic acid inhibits the proliferation of colon cancer cells by regulating oxidative stress and cancer stem-like cell growth
Authors: EK Kim, JH Cho, E Kim, YJ Kim
PLoS ONE, 2017-07-14;12(7):e0181183.
Species: Human
Sample Types: Whole Cells
Applications: Bioassay -
Multiplexed RNAi therapy against brain tumor-initiating cells via lipopolymeric nanoparticle infusion delays glioblastoma progression
Authors: D Yu, OF Khan, ML Suvà, B Dong, WK Panek, T Xiao, M Wu, Y Han, AU Ahmed, IV Balyasniko, HF Zhang, C Sun, R Langer, DG Anderson, MS Lesniak
Proc. Natl. Acad. Sci. U.S.A., 2017-07-10;0(0):.
Species: Human
Sample Types: Whole Cells
Applications: Bioassay -
Two distinct mTORC2-dependent pathways converge on Rac1 to drive breast cancer metastasis
Authors: M Morrison J, MM Williams, DJ Hicks, B Jones, V Sanchez, CD Young, DD Sarbassov, WJ Muller, D Brantley-S, RS Cook
Breast Cancer Res., 2017-06-30;19(1):74.
Species: Human
Sample Types: Whole Cells
Applications: Bioassay -
Three-dimensional spheroid culture targeting versatile tissue bioassays using a PDMS-based hanging drop array
Authors: CT Kuo, JY Wang, YF Lin, AM Wo, BPC Chen, H Lee
Sci Rep, 2017-06-29;7(1):4363.
Species: Human
Sample Types: Whole Cells
Applications: Bioassay -
TMPRSS4 promotes cancer stem cell traits by regulating CLDN1 in hepatocellular carcinoma
Authors: S Mahati, D Bolati, Y Yang, R Mao, H Zhang, Y Bao
Biochem. Biophys. Res. Commun., 2017-06-23;0(0):.
Species: Human
Sample Types: Whole Cells
Applications: Bioassay -
Differentiation of Human Pluripotent Stem Cells into Colonic Organoids via Transient Activation of BMP Signaling
Authors: JO Múnera, N Sundaram, SA Rankin, D Hill, C Watson, M Mahe, JE Vallance, NF Shroyer, KL Sinagoga, A Zarzoso-La, JR Hudson, JC Howell, P Chatuvedi, JR Spence, JM Shannon, AM Zorn, MA Helmrath, JM Wells
Cell Stem Cell, 2017-06-22;0(0):.
Species: Human
Sample Types: Whole Cells
Applications: Bioassay -
Cardiac glycosides suppress the maintenance of stemness and malignancy via inhibiting HIF-1? in human glioma stem cells
Authors: DH Lee, S Cheul Oh, AJ Giles, J Jung, MR Gilbert, DM Park
Oncotarget, 2017-06-20;8(25):40233-40245.
Species: Human
Sample Types: Whole Cells
Applications: Bioassay -
Colonic organoids derived from human induced pluripotent stem cells for modeling colorectal cancer and drug testing
Authors: M Crespo, E Vilar, SY Tsai, K Chang, S Amin, T Srinivasan, T Zhang, NH Pipalia, HJ Chen, M Witherspoo, M Gordillo, JZ Xiang, FR Maxfield, S Lipkin, T Evans, S Chen
Nat. Med., 2017-06-19;0(0):.
Species: Human
Sample Types: Whole Cells
Applications: Bioassay -
Structure-Guided Design of C4-alkyl-1,4-dihydro-2H-pyrimido[4,5-d][1,3]oxazin-2-ones as Potent and Mutant-Selective Epidermal Growth Factor Receptor (EGFR) L858R/T790M Inhibitors
Authors: Y Hao, J Lyu, R Qu, D Sun, Z Zhao, Z Chen, J Ding, H Xie, Y Xu, H Li
Sci Rep, 2017-06-19;7(1):3830.
Species: Human
Sample Types: Whole Cells
Applications: Bioassay -
Intestinal organoids model human responses to infection by commensal and Shiga toxin producing Escherichia coli
Authors: SS Karve, S Pradhan, DV Ward, AA Weiss
PLoS ONE, 2017-06-14;12(6):e0178966.
Species: Human
Sample Types: Whole Cells
Applications: Bioassay -
In vitro differentiation of human embryonic stem cells into ovarian follicle-like cells
Authors: D Jung, J Xiong, M Ye, X Qin, L Li, S Cheng, M Luo, J Peng, J Dong, F Tang, W Shen, MM Matzuk, K Kee
Nat Commun, 2017-06-12;8(0):15680.
Species: Human
Sample Types: Whole Cells
Applications: Bioassay -
Tweety-homologue 1 drives brain colonization of gliomas
Authors: E Jung, M Osswald, J Blaes, B Wiestler, F Sahm, T Schmenger, G Solecki, K Deumelandt, FT Kurz, R Xie, S Weil, O Heil, C Thomé, M Gömmel, M Syed, P Häring, PE Huber, S Heiland, M Platten, A von Deimli, W Wick, F Winkler
J. Neurosci., 2017-06-12;0(0):.
Species: Human
Sample Types: Whole Cells
Applications: Bioassay -
Targeting the Wnt pathway and cancer stem cells with anti-progastrin humanized antibodies: a major breakthrough for K-RAS mutated colorectal cancer treatment
Authors: A Prieur, M Cappellini, G Habif, MP Lefranc, T Mazard, E Morency, JM Pascussi, M Flaceliere, N Cahuzac, B Vire, B Dubuc, A Durochat, P Liaud, J Ollier, C Pfeiffer, S Poupeau, V Saywell, C Planque, E Assenat, F Bibeau, JF Bourgaux, P Pujol, A Sézeur, M Ychou, D Joubert
Clin. Cancer Res., 2017-06-09;0(0):.
Species: Human
Sample Types: Whole Cells
Applications: Bioassay -
Upregulation of mitochondrial NAD(+) levels impairs the clonogenicity of SSEA1(+) glioblastoma tumor-initiating cells
Authors: MJ Son, JS Ryu, JY Kim, Y Kwon, KS Chung, SJ Mun, YS Cho
Exp. Mol. Med., 2017-06-09;49(6):e344.
Species: Human
Sample Types: Whole Cells
Applications: Bioassay -
High-resolution promoter map of human limbal epithelial cells cultured with keratinocyte growth factor and rho kinase inhibitor
Authors: M Yoshihara, Y Sasamoto, R Hayashi, Y Ishikawa, M Tsujikawa, Y Hayashizak, M Itoh, H Kawaji, K Nishida
Sci Rep, 2017-06-06;7(1):2845.
Species: Human
Sample Types: Whole Cells
Applications: Bioassay -
Fetal Therapy Model of Myelomeningocele with Three-Dimensional Skin Using Amniotic Fluid Cell-Derived Induced Pluripotent Stem Cells
Authors: K Kajiwara, T Tanemoto, S Wada, J Karibe, N Ihara, Y Ikemoto, T Kawasaki, Y Oishi, O Samura, K Okamura, S Takada, H Akutsu, H Sago, A Okamoto, A Umezawa
Stem Cell Reports, 2017-06-06;8(6):1701-1713.
Species: Human
Sample Types: Whole Cells
Applications: Bioassay -
Long-Term Culture of Self-renewing Pancreatic Progenitors Derived from Human Pluripotent Stem Cells
Authors: J Trott, EK Tan, S Ong, DM Titmarsh, SLIJ Denil, M Giam, CK Wong, J Wang, M Shboul, M Eio, J Cooper-Whi, SM Cool, G Rancati, LW Stanton, B Reversade, NR Dunn
Stem Cell Reports, 2017-06-06;8(6):1675-1688.
Species: Human
Sample Types: Whole Cells
Applications: Bioassay -
Combination Treatment with PPAR? Ligand and Its Specific Inhibitor GW9662 Downregulates BIS and 14-3-3 Gamma, Inhibiting Stem-Like Properties in Glioblastoma Cells
Authors: CN Im
Biomed Res Int, 2017-05-31;2017(0):5832824.
Species: Human
Sample Types: Whole Cells
Applications: Bioassay -
MRI tracking of autologous pancreatic progenitor-derived insulin-producing cells in monkeys
Authors: C Zou, Y Lu, X Teng, S Wang, X Sun, F Huang, G Shu, X Huang, H Guo, Z Chen, J Zhang, YA Zhang
Sci Rep, 2017-05-31;7(1):2505.
Species: Primate - Macaca fascicularis (Crab-eating Monkey or Cynomolgus Macaque)
Sample Types: Whole Cells
Applications: Bioassay -
Establishment of a refined culture method for rat colon organoids
Authors: H Isshiki, Y Arimura, K Nagaishi, K Kawakami, K Onodera, K Yamashita, Y Naishiro, M Fujimiya, K Imai, Y Shinomura
Biochem. Biophys. Res. Commun., 2017-05-27;0(0):.
Species: Rat
Sample Types: Whole Cells
Applications: Bioassay -
A novel, somatic, transforming mutation in the extracellular domain of Epidermal Growth Factor Receptor identified in myeloproliferative neoplasm
Authors: DA Casolari, T Nguyen, CM Butcher, DG Iarossi, CN Hahn, SC Bray, P Neufing, WT Parker, J Feng, KZY Maung, A Wee, L Vidovic, CH Kok, PG Bardy, S Branford, ID Lewis, SW Lane, HS Scott, DM Ross, RJ D'Andrea
Sci Rep, 2017-05-26;7(1):2467.
Species: Mouse
Sample Types: Whole Cells
Applications: Bioassay -
Characterization of Mesenchymal Stem Cell-Like Cells Derived From Human iPSCs via Neural Crest Development and Their Application for Osteochondral Repair
Authors: R Chijimatsu, M Ikeya, Y Yasui, Y Ikeda, K Ebina, Y Moriguchi, K Shimomura, DA Hart, Y Hideki, N Norimasa
Stem Cells Int, 2017-05-10;2017(0):1960965.
Species: Human
Sample Types: Whole Cells
Applications: Bioassay -
Gastric Acid Secretion from Parietal Cells Is Mediated by a Ca(2+) Efflux Channel in the Tubulovesicle
Authors: N Sahoo, M Gu, X Zhang, N Raval, J Yang, M Bekier, R Calvo, S Patnaik, W Wang, G King, M Samie, Q Gao, S Sahoo, S Sundaresan, TM Keeley, Y Wang, J Marugan, M Ferrer, LC Samuelson, JL Merchant, H Xu
Dev. Cell, 2017-05-08;41(3):262-273.e6.
Species: Mouse
Sample Types: Whole Tissue
Applications: Bioassay -
Interleukin?6 induces an epithelial?mesenchymal transition phenotype in human adamantinomatous craniopharyngioma cells and promotes tumor cell migration
Authors: J Zhou, C Zhang, J Pan, L Chen, ST Qi
Mol Med Rep, 2017-05-02;15(6):4123-4131.
Species: Human
Sample Types: Whole Cells
Applications: Bioassay -
Targeting endogenous proteins for degradation through the affinity-directed protein missile system
Authors: LJ Fulcher, LD Hutchinson, TJ Macartney, C Turnbull, GP Sapkota
Open Biol, 2017-05-01;7(5):.
Species: Human
Sample Types: Whole Cells
Applications: Bioassay -
Neoalbaconol inhibits angiogenesis and tumor growth by suppressing EGFR-mediated VEGF production
Authors: Xinfang Yu
Mol. Carcinog, 2017-05-01;0(0):.
Species: Human
Sample Types: Whole Cells
Applications: Bioassay -
The soluble protease ADAMDEC1 released from activated platelets hydrolyzes platelet membrane pro-EGF to active high molecular weight EGF
Authors: R Chen, G Jin, TM McIntyre
J. Biol. Chem., 2017-04-28;0(0):.
Species: Human
Sample Types: Whole Cells
Applications: Bioassay -
Assembly of functionally integrated human forebrain spheroids
Authors: F Birey, J Andersen, CD Makinson, S Islam, W Wei, N Huber, HC Fan, KRC Metzler, G Panagiotak, N Thom, NA O'Rourke, LM Steinmetz, JA Bernstein, J Hallmayer, JR Huguenard, SP Pa?ca
Nature, 2017-04-26;545(7652):54-59.
Species: Human
Sample Types: Whole Cells
Applications: Bioassay -
KDM3 epigenetically controls tumorigenic potentials of human colorectal cancer stem cells through Wnt/?-catenin signalling
Authors: J Li, B Yu, P Deng, Y Cheng, Y Yu, K Kevork, S Ramadoss, X Ding, X Li, CY Wang
Nat Commun, 2017-04-25;8(0):15146.
Species: Human
Sample Types: Whole Cells
Applications: Bioassay -
Glypican-2 levels in cerebrospinal fluid predict the status of adult hippocampal neurogenesis
Authors: S Lugert, T Kremer, R Jagasia, A Herrmann, S Aigner, C Giachino, I Mendez-Dav, AM Gardier, JP Carralot, H Meisterman, A Augustin, MD Saxe, J Lamerz, G Duran-Pach, A Ducret, V Taylor, DJ David, C Czech
Sci Rep, 2017-04-25;7(0):46543.
Species: Human
Sample Types: Whole Cells
Applications: Bioassay -
Dental pulp pluripotent-like stem cells (DPPSC), a new stem cell population with chromosomal stability and osteogenic capacity for biomaterials evaluation
Authors: R Núñez-Told, E Martínez-S, C Gil-Recio, MÁ Carrasco, A Al Madhoun, S Montori, M Atari
BMC Cell Biol., 2017-04-21;18(1):21.
Species: Human
Sample Types: Whole Cells
Applications: Bioassay -
Context-dependent intravital imaging of therapeutic response using intramolecular FRET biosensors
Authors: JRW Conway, SC Warren, P Timpson
Methods, 2017-04-19;0(0):.
Species: Human
Sample Types: Whole Cells
Applications: Bioassay -
Effect of 2-octylcyanoacrylate on placenta derived mesenchymal stromal cells on extracellular matrix
Authors: YJ Chen, L Lankford, S Kabagambe, Z Saenz, P Kumar, D Farmer, A Wang
Placenta, 2017-04-02;0(0):.
Species: Human
Sample Types: Whole Cells
Applications: Bioassay -
miR-423-5p knockdown enhances the sensitivity of glioma stem cells to apigenin through the mitochondrial pathway
Authors: Y Wan, X Fei, Z Wang, D Jiang, H Chen, M Wang, S Zhou
Tumour Biol., 2017-04-01;39(4):1010428317695.
Species: Human
Sample Types: Whole Cells
Applications: Bioassay -
Neuroserpin polymers cause oxidative stress in a neuronal model of the dementia FENIB
Authors: NA Guadagno, C Moriconi, V Licursi, E D'Acunto, PS Nisi, N Carucci, A De Jaco, E Cacci, R Negri, G Lupo, E Miranda
Neurobiol. Dis., 2017-03-28;103(0):32-44.
Species: Human
Sample Types: Whole Cells
Applications: Bioassay -
Purine synthesis promotes maintenance of brain tumor initiating cells in glioma
Authors: X Wang, K Yang, Q Xie, Q Wu, SC Mack, Y Shi, LJ Kim, BC Prager, WA Flavahan, X Liu, M Singer, CG Hubert, TE Miller, W Zhou, Z Huang, X Fang, A Regev, ML Suvà, TH Hwang, JW Locasale, S Bao, JN Rich
Nat. Neurosci, 2017-03-27;0(0):.
Species: Human
Sample Types: Whole Tissue
Applications: Bioassay -
Expression of Pluripotency Markers in Non-pluripotent Human Neural Stem and Progenitor Cells
Authors: PH Vincent, E Benedikz, P Uhlen, O Hovatta, E Sundström
Stem Cells Dev., 2017-03-27;0(0):.
Species: Human
Sample Types: Whole Cells
Applications: Bioassay -
Directed differentiation of human induced pluripotent stem cells into functional cholangiocyte-like cells
Authors: F Sampazioti, MC de Brito, I Geti, A Bertero, NR Hannan, L Vallier
Nat Protoc, 2017-03-23;12(4):814-827.
Species: Human
Sample Types: Whole Cells
Applications: Bioassay -
Duration of simulated microgravity affects the differentiation of mesenchymal stem cells
Authors: L Xue, Y Li, J Chen
Mol Med Rep, 2017-03-22;15(5):3011-3018.
Species: Rat
Sample Types: Whole Cells
Applications: Bioassay -
A cell-autonomous positive-signaling circuit associated with the PDGF-NO-ID4-regulatory axis in glioblastoma cells
Authors: K Eun, HM Jeon, SO Kim, SH Choi, SY Lee, X Jin, SC Kim, H Kim
Biochem. Biophys. Res. Commun, 2017-03-19;0(0):.
Species: Human
Sample Types: Whole Cells
Applications: Bioassay -
Targeting BMI1(+) Cancer Stem Cells Overcomes Chemoresistance and Inhibits Metastases in Squamous Cell Carcinoma
Authors: D Chen, M Wu, Y Li, I Chang, Q Yuan, M Ekimyan-Sa, P Deng, B Yu, Y Yu, J Dong, JM Szymanski, S Ramadoss, J Li, CY Wang
Cell Stem Cell, 2017-03-09;0(0):.
Species: Human
Sample Types: Whole Cells
Applications: Bioassay -
Adiponectin deficiency contributes to the development and progression of benign prostatic hyperplasia in obesity
Authors: S Fu, H Xu, M Gu, C Liu, Q Wang, X Wan, Y Chen, Q Chen, Y Peng, Z Cai, J Zhou, Z Wang
Sci Rep, 2017-03-03;7(0):43771.
Species: Human
Sample Types: Whole Cells
Applications: Bioassay -
A Core Regulatory Circuit in Glioblastoma Stem Cells Links MAPK Activation to a Transcriptional Program of Neural Stem Cell Identity
Authors: G Riddick, S Kotliarova, V Rodriguez, HS Kim, A Linkous, AJ Storaska, S Ahn, J Walling, G Belova, HA Fine
Sci Rep, 2017-03-03;7(0):43605.
Species: Human
Sample Types: Whole Cells
Applications: Bioassay -
Inhibition of Proliferation and Epithelial Mesenchymal Transition in Retinal Pigment Epithelial Cells by Heavy Chain-Hyaluronan/Pentraxin 3
Authors: H He, AE Kuriyan, CW Su, M Mahabole, Y Zhang, YT Zhu, HW Flynn, JM Parel, SC Tseng
Sci Rep, 2017-03-02;7(0):43736.
Species: Human
Sample Types: Whole Cells
Applications: Bioassay -
Brother of the regulator of the imprinted site (BORIS) variant subfamily 6 is a novel target of lung cancer stem-like cell immunotherapy
Authors: R Horibe, Y Hirohashi, T Asano, T Mariya, T Suzuki, A Takaya, H Saijo, Y Shionoya, T Kubo, M Nakatsugaw, T Kanaseki, T Tsukahara, K Watanabe, E Atsuyama, S Toji, H Hirano, T Hasegawa, H Takahashi, N Sato, T Torigoe
PLoS ONE, 2017-03-01;12(3):e0171460.
Species: Human
Sample Types: Whole Cells
Applications: Bioassay -
Regulation of stem-like cancer cells by glutamine through ?-catenin pathway mediated by redox signaling
Authors: J Liao, PP Liu, G Hou, J Shao, J Yang, K Liu, W Lu, S Wen, Y Hu, P Huang
Mol. Cancer, 2017-02-28;16(1):51.
Species: Human
Sample Types: Whole Cells
Applications: Bioassay -
LY6/PLAUR domain containing 3 has a role in the maintenance of colorectal cancer stem-like cells
Authors: L Wang, Y Hirohashi, T Ogawa, M Shen, R Takeda, A Murai, E Yamamoto, T Kubo, M Nakatsugaw, T Kanaseki, T Tsukahara, T Nishidate, K Okita, G Kutomi, N Sato, I Takemasa, T Torigoe
Biochem. Biophys. Res. Commun, 2017-02-24;0(0):.
Species: Human
Sample Types: Whole Cells
Applications: Bioassay -
Integration of Receptor Tyrosine Kinases Determines Sensitivity to PI3K?-selective Inhibitors in Breast Cancer
Authors: YC Xu, X Wang, Y Chen, SM Chen, XY Yang, YM Sun, MY Geng, J Ding, LH Meng
Theranostics, 2017-02-23;7(4):974-986.
Species: Human
Sample Types: Whole Cells
Applications: Bioassay -
Heat Shock Factor 1 Depletion Sensitizes A172 Glioblastoma Cells to Temozolomide via Suppression of Cancer Stem Cell-Like Properties
Authors: CN Im, HH Yun, JH Lee
Int J Mol Sci, 2017-02-22;18(2):.
Species: Human
Sample Types: Whole Cells
Applications: Bioassay -
Identification and functional analysis of variants of a cancer/testis antigen LEMD1 in colorectal cancer stem-like cells
Authors: R Takeda, Y Hirohashi, M Shen, L Wang, T Ogawa, A Murai, E Yamamoto, T Kubo, M Nakatsugaw, T Kanaseki, T Tsukahara, T Nishidate, K Okita, G Kutomi, N Sato, I Takemasa, T Torigoe
Biochem. Biophys. Res. Commun, 2017-02-20;0(0):.
Species: Human
Sample Types: Whole Cells
Applications: Bioassay -
Geometry and network connectivity govern the mechanics of stress fibers
Authors: E Kassianido, CA Brand, US Schwarz, S Kumar
Proc. Natl. Acad. Sci. U.S.A, 2017-02-17;0(0):.
Species: Human
Sample Types: Whole Cells
Applications: Bioassay -
Long-Distance Axonal Growth and Protracted Functional Maturation of Neurons Derived From Human Induced Pluripotent Stem Cells After Intracerebral Transplantation
Authors: JC Niclis, C Turner, J Durnall, S McDougal, JA Kauhausen, B Leaw, M Dottori, CL Parish, LH Thompson
Stem Cells Transl Med, 2017-02-15;0(0):.
Species: Human
Sample Types: Whole Cells
Applications: Bioassay -
Human cytomegalovirus interleukin-10 enhances matrigel invasion of MDA-MB-231 breast cancer cells
Authors: CA Valle Oseg, JV Spencer
Cancer Cell Int, 2017-02-13;17(0):24.
Species: Human
Sample Types: Whole Cells
Applications: Bioassay -
A double-negative feedback loop between EpCAM and ERK contributes to the regulation of epithelial-mesenchymal transition in cancer
Authors: NV Sankpal, TP Fleming, PK Sharma, HJ Wiedner, WE Gillanders
Oncogene, 2017-02-13;0(0):.
Species: Human
Sample Types: Whole Cells
Applications: Bioassay -
Applying phasor approach analysis of multiphoton FLIM measurements to probe the metabolic activity of three-dimensional in vitro cell culture models
Authors: PH Lakner, MG Monaghan, Y Möller, MA Olayioye, K Schenke-La
Sci Rep, 2017-02-13;7(0):42730.
Species: Human
Sample Types: Whole Cells
Applications: Bioassay -
Retention of Human-Induced Pluripotent Stem Cells (hiPS) With Injectable HA Hydrogels for Vocal Fold Engineering
Authors: M Imaizumi, NY Li-Jessen, Y Sato, DT Yang, SL Thibeault
Ann. Otol. Rhinol. Laryngol., 2017-02-12;126(4):304-314.
-
Effects of ErbB2 Overexpression on the Proteome and ErbB Ligand-specific Phosphosignaling in Mammary Luminal Epithelial Cells
Authors: J Worthingto, G Spain, JF Timms
Mol. Cell Proteomics, 2017-02-07;16(4):608-621.
Species: Human
Sample Types: Whole Cells
Applications: Bioassay -
A process engineering approach to increase organoid yield
Authors: N Arora, J Imran Also, JW Guggenheim, M Mak, J Munera, JM Wells, RD Kamm, HH Asada, SY Shvartsman, LG Griffith
Development, 2017-02-07;144(6):1128-1136.
Species: Human
Sample Types: Spheroid
Applications: Bioassay -
Aurora A-Twist1 axis promotes highly aggressive phenotypes in pancreatic carcinoma
Authors: J Wang, K Nikhil, K Viccaro, L Chang, M Jacobsen, G Sandusky, K Shah
J. Cell. Sci, 2017-02-06;0(0):.
Species: Human
Sample Types: Whole Cells
Applications: Bioassay -
Hedgehog Pathway Inhibition Hampers Sphere and Holoclone Formation in Rhabdomyosarcoma
Authors: A Almazán-Mo, P Zarzosa, I Vidal, C Molist, I Giralt, N Navarro, A Soriano, MF Segura, A Alfranca, J Garcia-Cas, J Sánchez de, J Roma, S Gallego
Stem Cells Int, 2017-01-24;2017(0):7507380.
Species: Human
Sample Types: Whole Cells
Applications: Bioassay -
c-Jun-N-terminal phosphorylation regulates DNMT1 expression and genome wide methylation in gliomas
Authors: DH Heiland, R Ferrarese, R Claus, F Dai, AP Masilamani, E Kling, A Weyerbrock, T Kling, S Nelander, MS Carro
Oncotarget, 2017-01-24;0(0):.
Species: Human
Sample Types: Whole Cells
Applications: Bioassay -
RAD51 Is a Selective DNA Repair Target to Radiosensitize Glioma Stem Cells
Authors: HO King, T Brend, HL Payne, A Wright, TA Ward, K Patel, T Egnuni, LF Stead, A Patel, H Wurdak, SC Short
Stem Cell Reports, 2017-01-10;8(1):125-139.
Species: Human
Sample Types: Whole Cells
Applications: Bioassay -
Angiopoietin-1 Modified Human Umbilical Cord Mesenchymal Stem Cell Therapy for Endotoxin-Induced Acute Lung Injury in Rats
Authors: Xiu Li Ju
Yonsei Med. J., 2017-01-01;58(1):206-216.
Species: Human
Sample Types: Whole Tissue
Applications: Bioassay -
EGF Induced RET Inhibitor Resistance in CCDC6-RET Lung Cancer Cells
Authors: Jong Seok Lee
Yonsei Med. J., 2017-01-01;58(1):9-18.
Species: Human
Sample Types: Whole Cells
Applications: Bioassay -
Autophagy gene ATG7 regulates ultraviolet radiation-induced inflammation and skin tumorigenesis
Authors: L Qiang, A Sample, CR Shea, K Soltani, KF Macleod, YY He
Autophagy, 2017-01-01;0(0):0.
Species: Human
Sample Types: Whole Cells
Applications: Bioassay -
FGFR3-TACC3 fusion proteins act as naturally occurring drivers of tumor resistance by functionally substituting for EGFR/ERK signaling
Authors: C Daly, C Castanaro, W Zhang, Q Zhang, Y Wei, M Ni et al.
Oncogene
Species: Human
Sample Types: Whole Cells
Applications: Bioassay -
Glioma-derived cancer stem cells are hypersensitive to proteasomal inhibition
Authors: Young Dong Yoo
EMBO Rep, 2016-12-19;0(0):.
Species: Human
Sample Types: Whole Cells
Applications: Bioassay -
Brain tissue banking for stem cells for our future
Sci Rep, 2016-12-19;6(0):39394.
Species: Human
Sample Types: Tissue Homogenates
Applications: Bioassay -
LINC00520 is induced by Src, STAT3, and PI3K and plays a functional role in breast cancer
Oncotarget, 2016-12-13;0(0):.
Species: Human
Sample Types: Whole Cells
Applications: Bioassay -
ERN1 and ALPK1 inhibit differentiation of bi-potential tumor-initiating cells in human breast cancer
Oncotarget, 2016-12-13;0(0):.
Species: Human
Sample Types: Whole Cells
Applications: Bioassay -
Deubiquitinase USP13 maintains glioblastoma stem cells by antagonizing FBXL14-mediated Myc ubiquitination
Authors: Xiaoguang Fang
J. Exp. Med, 2016-12-06;0(0):.
Species: Human
Sample Types: Whole Cells
Applications: Bioassay -
The FDA-approved drug sofosbuvir inhibits Zika virus infection
Authors: Kristen M Bullard-Fe
Antiviral Res, 2016-11-27;137(0):134-140.
Species: Human
Sample Types: Whole Cells
Applications: Bioassay -
Are Adipose-Derived Stem Cells From Liver Falciform Ligaments Another Possible Source of Mesenchymal Stem Cells?
Authors: SW Lee, JU Chong, SO Min, SY Bak, KS Kim
Cell Transplant, 2016-11-24;26(5):855-866.
Species: Human
Sample Types: Whole Cells
Applications: Bioassay -
A Highly Diverse and Functional Na�ve Ubiquitin Variant Library for Generation of Intracellular Affinity Reagents
Authors: Sachdev S Sidhu
J. Mol. Biol., 2016-11-22;0(0):.
Species: Human
Sample Types: Whole Cells
Applications: Bioassay -
Pan-cancer analysis of somatic copy-number alterations implicates IRS4 and IGF2 in enhancer hijacking
Nat. Genet., 2016-11-21;0(0):.
Species: Human
Sample Types: Whole Cells
Applications: Bioassay -
Defined three-dimensional culture conditions mediate efficient induction of definitive endoderm lineage from human umbilical cord Wharton's jelly mesenchymal stem cells
Stem Cell Res Ther, 2016-11-16;7(1):165.
Species: Human
Sample Types: Whole Cells
Applications: Bioassay -
Improved Methods to Produce Tissue-Engineered Skin Substitutes Suitable for the Permanent Closure of Full-Thickness Skin Injuries
Authors: Lucie Germain
Biores Open Access, 2016-11-01;5(1):320-329.
Species: Human
Sample Types: Whole Cells
Applications: Bioassay -
The mitochondrial protein CHCHD2 primes the differentiation potential of human induced pluripotent stem cells to neuroectodermal lineages
Authors: L Zhu, A Gomez-Dura, G Saretzki, S Jin, K Tilgner, D Melguizo-S, G Anyfantis, J Al-Aama, L Vallier, P Chinnery, M Lako, L Armstrong
J. Cell Biol., 2016-10-17;215(2):187-202.
Species: Human
Sample Types: Whole Cells
Applications: Bioassay -
SPINK6 promotes metastasis of nasopharyngeal carcinoma via binding and activation of epithelial growth factor receptor
Cancer Res, 2016-09-26;0(0):.
Species: Human
Sample Types: Recombinant Protein
Applications: Bioassay -
A new NFIA:RAF1 fusion activating the MAPK pathway in pilocytic astrocytoma
Authors: Maria Rossing
Cancer Genet, 2016-09-16;209(10):440-444.
Species: Human
Sample Types: Whole Cells
Applications: Bioassay -
Characterization of Neurogenic Potential of Dental Pulp Stem Cells Cultured in Xeno/Serum-Free Condition: In Vitro and In Vivo Assessment
Stem Cells Int, 2016-09-05;2016(0):6921097.
Species: Human
Sample Types: Whole Cells
Applications: Bioassay -
The polarity protein Scribble positions DLC3 at adherens junctions to regulate Rho signaling
J Cell Sci, 2016-08-05;0(0):.
Species: Human
Sample Types: Whole Cells
Applications: Bioassay -
Protein kinase A can block EphA2 receptor-mediated cell repulsion by increasing EphA2 S897 phosphorylation.
Authors: Barquilla A, Lamberto I, Heynen-Genel S, Brill L, Pasquale E
Mol Biol Cell, 2016-07-06;27(17):2757-70.
Species: Human
Sample Types: Whole Cells
Applications: Bioassay -
Pituitary Adenlylate Cyclase Activating Peptide Protects Adult Neural Stem Cells from a Hypoglycaemic milieu
Authors: Shiva Mansouri
PLoS ONE, 2016-06-15;11(6):e0156867.
Species: Mouse
Sample Types: Whole Cells
Applications: Bioassay -
Cancer stem cell-secreted macrophage migration inhibitory factor stimulates myeloid derived suppressor cell function and facilitates glioblastoma immune evasion
Stem Cells, 2016-05-27;0(0):.
Species: Human
Sample Types: Whole Cells
Applications: Bioassay -
Growth hormone is permissive for neoplastic colon growth
Proc Natl Acad Sci USA, 2016-05-25;0(0):.
Species: Human
Sample Types: Whole Tissue
Applications: Bioassay -
Glucocorticoids Suppress Mitochondrial Oxidant Production via Upregulation of Uncoupling Protein 2 in Hyperglycemic Endothelial Cells
PLoS ONE, 2016-04-29;11(4):e0154813.
Species: Human
Sample Types: Whole Cells
Applications: Bioassay -
Application of single-cell RNA sequencing in optimizing a combinatorial therapeutic strategy in metastatic renal cell carcinoma
Genome Biol, 2016-04-29;17(1):80.
Species: Human
Sample Types: Whole Cells
Applications: Bioassay -
Transcription factor-mediated regulation of kidney versus liver specification of Slc and Abc drug transporters, tight junction molecules and signature biomarkers
Authors: G Martovetsk, KT Bush, SK Nigam
Drug Metab Dispos, 2016-04-04;0(0):.
Species: Human
Sample Types: Whole Cells
Applications: Bioassay -
Pharmacological Targeting of the Histone Chaperone Complex FACT Preferentially Eliminates Glioblastoma Stem Cells and Prolongs Survival in Preclinical Models
Authors: JK Dermawan, M Hitomi, DJ Silver, Q Wu, P Sandlesh, AE Sloan, AA Purmal, KV Gurova, JN Rich, JD Lathia, GR Stark, M Venere
Cancer Res., 2016-02-26;76(8):2432-42.
Species: Human
Sample Types: Whole Cells
Applications: Bioassay -
A Three-Dimensional Organoid Culture System Derived from Human Glioblastomas Recapitulates the Hypoxic Gradients and Cancer Stem Cell Heterogeneity of Tumors Found In Vivo
Authors: CG Hubert, M Rivera, LC Spangler, Q Wu, SC Mack, BC Prager, M Couce, RE McLendon, AE Sloan, JN Rich
Cancer Res., 2016-02-19;76(8):2465-77.
Species: Human
Sample Types: Whole Tissue
Applications: Bioassay -
Natural killer (NK) cells inhibit systemic metastasis of glioblastoma cells and have therapeutic effects against glioblastomas in the brain.
Authors: Lee S, Kang W, Yoon Y, Jin J, Song H, Her J, Kang S, Hwang Y, Kang K, Joo K, Nam D
BMC Cancer, 2015-12-24;15(1):1011.
Species: Human
Sample Types: Whole Cells
Applications: Bioassay -
Isolation, expansion and neural differentiation of stem cells from human plucked hair: a further step towards autologous nerve recovery
Authors: Margriet A Huisman
Cytotechnology, 2015-12-24;68(5):1849-58.
Species: Human
Sample Types: Whole Cells
Applications: Bioassay -
Treatment of Triple-Negative Breast Cancer with TORC1/2 Inhibitors Sustains a Drug-Resistant and Notch-Dependent Cancer Stem Cell Population
Authors: Neil E Bhola
Cancer Res, 2015-12-16;76(2):440-52.
Species: Human
Sample Types: Whole Cells
Applications: Bioassay -
The Synergistic Local Immunosuppressive Effects of Neural Stem Cells Expressing Indoleamine 2,3-Dioxygenase (IDO) in an Experimental Autoimmune Encephalomyelitis (EAE) Animal Model.
Authors: Lee Y, An J, Lee K, Kim S, Song H, Pyeon H, Nam H, Kang K, Joo K
PLoS ONE, 2015-12-04;10(12):e0144298.
Species: Rat
Sample Types: Whole Cells
Applications: Bioassay -
RAP1-mediated MEK/ERK pathway defects in Kabuki syndrome.
Authors: Bogershausen N, Tsai I, Pohl E, Kiper P, Beleggia F, Percin E, Keupp K, Matchan A, Milz E, Alanay Y, Kayserili H, Liu Y, Banka S, Kranz A, Zenker M, Wieczorek D, Elcioglu N, Prontera P, Lyonnet S, Meitinger T, Stewart A, Donnai D, Strom T, Boduroglu K, Yigit G, Li Y, Katsanis N, Wollnik B
J Clin Invest, 2015-08-17;125(9):3585-99.
Species: Human
Sample Types: Whole Cells
Applications: Bioassay -
Epigenetic Activation of TWIST1 by MTDH Promotes Cancer Stem-like Cell Traits in Breast Cancer.
Authors: Liang Y, Hu J, Li J, Liu Y, Yu J, Zhuang X, Mu L, Kong X, Hong D, Yang Q, Hu G
Cancer Res, 2015-07-03;75(17):3672-80.
Species: Human
Sample Types: Whole Cells
Applications: Bioassay -
mTOR Directs Breast Morphogenesis through the PKC-alpha-Rac1 Signaling Axis.
Authors: Morrison M, Young C, Wang S, Sobolik T, Sanchez V, Hicks D, Cook R, Brantley-Sieders D
PLoS Genet, 2015-07-01;11(7):e1005291.
Species: Mouse
Sample Types: Whole Cells
Applications: Bioassay -
DNA methylation directs functional maturation of pancreatic beta cells.
Authors: Dhawan S, Tschen S, Zeng C, Guo T, Hebrok M, Matveyenko A, Bhushan A
J Clin Invest, 2015-06-22;125(7):2851-60.
Species: Human
Sample Types: Whole Cells
Applications: Bioassay -
Mutation of androgen receptor N-terminal phosphorylation site Tyr-267 leads to inhibition of nuclear translocation and DNA binding.
Authors: Karaca M, Liu Y, Zhang Z, De Silva D, Parker J, Earp H, Whang Y
PLoS ONE, 2015-05-07;10(5):e0126270.
Species: Human
Sample Types: Whole Cells
Applications: Bioassay -
Let-7 Sensitizes KRAS Mutant Tumor Cells to Chemotherapy.
Authors: Dai X, Jiang Y, Tan C
PLoS ONE, 2015-05-06;10(5):e0126653.
Species: Human
Sample Types: Whole Cells
Applications: Bioassay -
Characterisation of mesothelioma-initiating cells and their susceptibility to anti-cancer agents.
Authors: Pasdar E, Smits M, Stapelberg M, Bajzikova M, Stantic M, Goodwin J, Yan B, Stursa J, Kovarova J, Sachaphibulkij K, Bezawork-Geleta A, Sobol M, Filimonenko A, Tomasetti M, Zobalova R, Hozak P, Dong L, Neuzil J
PLoS ONE, 2015-05-01;10(5):e0119549.
Species: Human
Sample Types: Whole Cells
Applications: Bioassay -
Pan-HER, an Antibody Mixture Simultaneously Targeting EGFR, HER2, and HER3, Effectively Overcomes Tumor Heterogeneity and Plasticity.
Authors: Jacobsen H, Poulsen T, Dahlman A, Kjaer I, Koefoed K, Sen J, Weilguny D, Bjerregaard B, Andersen C, Horak I, Pedersen M, Kragh M, Lantto J
Clin Cancer Res, 2015-04-23;21(18):4110-22.
Species: Human
Sample Types: Whole Cells
Applications: Bioassay -
Reciprocal cellular cross-talk within the tumor microenvironment promotes oncolytic virus activity.
Authors: Ilkow C, Marguerie M, Batenchuk C, Mayer J, Ben Neriah D, Cousineau S, Falls T, Jennings V, Boileau M, Bellamy D, Bastin D, de Souza C, Alkayyal A, Zhang J, Le Boeuf F, Arulanandam R, Stubbert L, Sampath P, Thorne S, Paramanthan P, Chatterjee A, Strieter R, Burdick M, Addison C, Stojdl D, Atkins H, Auer R, Diallo J, Lichty B, Bell J
Nat Med, 2015-04-20;21(5):530-6.
Species: Human
Sample Types: Whole Cells
Applications: Bioassay -
Two Isoforms of the RNA Binding Protein, Coding Region Determinant-binding Protein (CRD-BP/IGF2BP1), Are Expressed in Breast Epithelium and Support Clonogenic Growth of Breast Tumor Cells.
Authors: Fakhraldeen S, Clark R, Roopra A, Chin E, Huang W, Castorino J, Wisinski K, Kim T, Spiegelman V, Alexander C
J Biol Chem, 2015-04-10;290(21):13386-400.
Species: Human
Sample Types: Whole Cells
Applications: Bioassay -
SHMT2 drives glioma cell survival in ischaemia but imposes a dependence on glycine clearance.
Authors: Kim, Dohoon, Fiske, Brian P, Birsoy, Kivanc, Freinkman, Elizavet, Kami, Kenjiro, Possemato, Richard, Chudnovsky, Yakov, Pacold, Michael, Chen, Walter W, Cantor, Jason R, Shelton, Laura M, Gui, Dan Y, Kwon, Manjae, Ramkissoon, Shakti H, Ligon, Keith L, Kang, Seong Wo, Snuderl, Matija, Vander Heiden, Matthew, Sabatini, David M
Nature, 2015-04-08;520(7547):363-7.
Species: Human
Sample Types: Whole Cells
Applications: Bioassay -
EphrinB2 controls vessel pruning through STAT1-JNK3 signalling.
Authors: Salvucci O, Ohnuki H, Maric D, Hou X, Li X, Yoon S, Segarra M, Eberhart C, Acker-Palmer A, Tosato G
Nat Commun, 2015-03-26;6(0):6576.
Species: Human
Sample Types: Whole Cells
Applications: Bioassay -
Functional genomic analysis identifies indoxyl sulfate as a major, poorly dialyzable uremic toxin in end-stage renal disease.
Authors: Jhawar S, Singh P, Torres D, Ramirez-Valle F, Kassem H, Banerjee T, Dolgalev I, Heguy A, Zavadil J, Lowenstein J
PLoS ONE, 2015-03-26;10(3):e0118703.
Species: Human
Sample Types: Whole Cells
Applications: Bioassay -
Analysing human neural stem cell ontogeny by consecutive isolation of Notch active neural progenitors.
Authors: Edri, Reuven, Yaffe, Yakey, Ziller, Michael, Mutukula, Naresh, Volkman, Rotem, David, Eyal, Jacob-Hirsch, Jasmine, Malcov, Hagar, Levy, Carmit, Rechavi, Gideon, Gat-Viks, Irit, Meissner, Alexande, Elkabetz, Yechiel
Nat Commun, 2015-03-23;6(0):6500.
Species: Human
Sample Types: Whole Cells
Applications: Bioassay -
Mechanisms of tumor-promoting activities of nicotine in lung cancer: synergistic effects of cell membrane and mitochondrial nicotinic acetylcholine receptors.
Authors: Chernyavsky A, Shchepotin I, Galitovkiy V, Grando S
BMC Cancer, 2015-03-19;15(0):152.
Species: Human
Sample Types: Whole Cells
Applications: Bioassay -
V-myc immortalizes human neural stem cells in the absence of pluripotency-associated traits.
Authors: Pino-Barrio M, Garcia-Garcia E, Menendez P, Martinez-Serrano A
PLoS ONE, 2015-03-12;10(3):e0118499.
Species: Human
Sample Types: Whole Cells
Applications: Bioassay -
Artificial human Met agonists based on macrocycle scaffolds.
Authors: Ito, Kenichir, Sakai, Katsuya, Suzuki, Yoshinor, Ozawa, Naoya, Hatta, Tomohisa, Natsume, Tohru, Matsumoto, Kunio, Suga, Hiroaki
Nat Commun, 2015-03-11;6(0):6373.
Species: Human
Sample Types: Whole Cells
Applications: Bioassay -
Excision of Expanded GAA Repeats Alleviates the Molecular Phenotype of Friedreich's Ataxia.
Authors: Li Y, Polak U, Bhalla A, Rozwadowska N, Butler J, Lynch D, Dent S, Napierala M
Mol Ther, 2015-03-11;23(6):1055-65.
Species: Human
Sample Types: Whole Cells
Applications: Bioassay -
Endothelial-mesenchymal transition of brain endothelial cells: possible role during metastatic extravasation.
Authors: Krizbai I, Gasparics A, Nagyoszi P, Fazakas C, Molnar J, Wilhelm I, Bencs R, Rosivall L, Sebe A
PLoS ONE, 2015-03-05;10(3):e0119655.
Species: Human
Sample Types: Whole Cells
Applications: Bioassay -
Human cytomegalovirus infection interferes with the maintenance and differentiation of trophoblast progenitor cells of the human placenta.
Authors: Tabata T, Petitt M, Zydek M, Fang-Hoover J, Larocque N, Tsuge M, Gormley M, Kauvar L, Pereira L
J Virol, 2015-03-04;89(9):5134-47.
Species: Human
Sample Types: Whole Cells
Applications: Bioassay -
Epidermal Expression and Regulation of Interleukin-33 during Homeostasis and Inflammation: Strong Species Differences.
Authors: Sundnes O, Pietka W, Loos T, Sponheim J, Rankin A, Pflanz S, Bertelsen V, Sitek J, Hol J, Haraldsen G, Khnykin D
J Invest Dermatol, 2015-03-04;135(7):1771-80.
Species: Human
Sample Types: Whole Cells
Applications: Bioassay -
Induction of fibronectin by HER2 overexpression triggers adhesion and invasion of breast cancer cells.
Authors: Jeon M, Lee J, Nam S, Shin I, Lee J, Kim S
Exp Cell Res, 2015-03-03;333(1):116-26.
Species: Human
Sample Types: Whole Cells
Applications: Bioassay -
Mitochondrial control by DRP1 in brain tumor initiating cells.
Authors: Xie Q, Wu Q, Horbinski C, Flavahan W, Yang K, Zhou W, Dombrowski S, Huang Z, Fang X, Shi Y, Ferguson A, Kashatus D, Bao S, Rich J
Nat Neurosci, 2015-03-02;18(4):501-10.
Species: Human
Sample Types: Whole Cells
Applications: Bioassay -
The Rho-specific GAP protein DLC3 coordinates endocytic membrane trafficking.
Authors: Braun A, Hendrick J, Eisler S, Schmid S, Hausser A, Olayioye M
J Cell Sci, 2015-02-11;128(7):1386-99.
Species: Human
Sample Types: Whole Cells
Applications: Bioassay -
Activin/nodal signaling switches the terminal fate of human embryonic stem cell-derived trophoblasts.
Authors: Sarkar P, Randall S, Collier T, Nero A, Russell T, Muddiman D, Rao B
J Biol Chem, 2015-02-10;290(14):8834-48.
Species: Human
Sample Types: Whole Cells
Applications: Bioassay -
Upregulated WDR5 promotes proliferation, self-renewal and chemoresistance in bladder cancer via mediating H3K4 trimethylation.
Authors: Chen X, Xie W, Gu P, Cai Q, Wang B, Xie Y, Dong W, He W, Zhong G, Lin T, Huang J
Sci Rep, 2015-02-06;5(0):8293.
Species: Human
Sample Types: Whole Cells
Applications: Bioassay -
Arf6 regulates EGF-induced internalization of E-cadherin in breast cancer cells.
Authors: Xu R, Zhang Y, Gu L, Zheng J, Cui J, Dong J, Du J
Cancer Cell Int, 2015-02-04;15(1):11.
Species: Human
Sample Types: Whole Cells
Applications: Bioassay -
Early intervention for spinal cord injury with human induced pluripotent stem cells oligodendrocyte progenitors.
Authors: All A, Gharibani P, Gupta S, Bazley F, Pashai N, Chou B, Shah S, Resar L, Cheng L, Gearhart J, Kerr C
PLoS ONE, 2015-01-30;10(1):e0116933.
Species: Human
Sample Types: Whole Cells
Applications: Bioassay -
Constitutive activation of myosin-dependent contractility sensitizes glioma tumor-initiating cells to mechanical inputs and reduces tissue invasion.
Authors: Wong S, Ulrich T, Deleyrolle L, MacKay J, Lin J, Martuscello R, Jundi M, Reynolds B, Kumar S
Cancer Res, 2015-01-29;75(6):1113-22.
Species: Human
Sample Types: Whole Cells
Applications: Bioassay -
Epigenetic regulation of Elf5 is associated with epithelial-mesenchymal transition in urothelial cancer.
Authors: Wu, Bo, Cao, Xiaoming, Liang, Xuezhi, Zhang, Xuhui, Zhang, Wei, Sun, Guang, Wang, Dongwen
PLoS ONE, 2015-01-28;10(1):e0117510.
Species: Human
Sample Types: Whole Cells
Applications: Bioassay -
The evidence of glioblastoma heterogeneity.
Authors: Soeda, Akio, Hara, Akira, Kunisada, Takahiro, Yoshimura, Shin-ich, Iwama, Toru, Park, Deric M
Sci Rep, 2015-01-27;5(0):7979.
Species: Human
Sample Types: Whole Cells
Applications: Bioassay -
Growth differentiation factor 15 (GDF-15) plasma levels increase during bleomycin- and cisplatin-based treatment of testicular cancer patients and relate to endothelial damage.
Authors: Altena, Renske, Fehrmann, Rudolf S, Boer, Hink, de Vries, Elisabet, Meijer, Coby, Gietema, Jourik A
PLoS ONE, 2015-01-15;10(1):e0115372.
Species: Human
Sample Types: Whole Cells
Applications: Bioassay -
Acetylation of the RhoA GEF Net1A controls its subcellular localization and activity.
Authors: Song E, Oh W, Ulu A, Carr H, Zuo Y, Frost J
J Cell Sci, 2015-01-14;128(5):913-22.
Species: Human
Sample Types: Whole Cells
Applications: Bioassay -
Patient-derived xenografts from non-small cell lung cancer brain metastases are valuable translational platforms for the development of personalized targeted therapy.
Authors: Lee H, Lee J, Lee S, Cho H, Song H, Jeong D, Seo Y, Shin S, Joung J, Kwon Y, Choi Y, Park W, Lee H, Seol H, Shim Y, Joo K, Nam D
Clin Cancer Res, 2014-12-30;21(5):1172-82.
Species: Human
Sample Types: Whole Cells
Applications: Bioassay -
High levels of KAP1 expression are associated with aggressive clinical features in ovarian cancer.
Authors: Cui Y, Yang S, Fu X, Feng J, Xu S, Ying G
Int J Mol Sci, 2014-12-26;16(1):363-77.
Species: Human
Sample Types: Whole Cells
Applications: Bioassay -
Selective calcium sensitivity in immature glioma cancer stem cells.
Authors: Wee S, Niklasson M, Marinescu V, Segerman A, Schmidt L, Hermansson A, Dirks P, Forsberg-Nilsson K, Westermark B, Uhrbom L, Linnarsson S, Nelander S, Andang M
PLoS ONE, 2014-12-22;9(12):e115698.
Species: Human
Sample Types: Whole Cells
Applications: Bioassay -
Transcriptional profiling of adult neural stem-like cells from the human brain.
Authors: Sandberg C, Vik-Mo E, Behnan J, Helseth E, Langmoen I
PLoS ONE, 2014-12-16;9(12):e114739.
Species: Human
Sample Types: Whole Cells
Applications: Bioassay -
Persistence and toxin production by Clostridium difficile within human intestinal organoids result in disruption of epithelial paracellular barrier function.
Authors: Leslie J, Huang S, Opp J, Nagy M, Kobayashi M, Young V, Spence J
Infect Immun, 2014-10-13;83(1):138-45.
Species: Human
Sample Types: Whole Cells
Applications: Bioassay -
EGF potentiation of VEGF production is cell density dependent in H292 EGFR wild type NSCLC cell line.
Authors: Ranayhossaini D, Lu J, Mabus J, Gervais A, Lingham R, Fursov N
Int J Mol Sci, 2014-09-30;15(10):17686-704.
Species: Human
Sample Types: Whole Cells
Applications: Bioassay -
An in vitro cord formation assay identifies unique vascular phenotypes associated with angiogenic growth factors.
Authors: Falcon B, Swearingen M, Gough W, Lee L, Foreman R, Uhlik M, Hanson J, Lee J, McClure D, Chintharlapalli S
PLoS ONE, 2014-09-11;9(9):e106901.
Species: Human
Sample Types: Whole Cells
Applications: Bioassay -
Isolation of cancer stem cells from three human glioblastoma cell lines: characterization of two selected clones.
Authors: Iacopino F, Angelucci C, Piacentini R, Biamonte F, Mangiola A, Maira G, Grassi C, Sica G
PLoS ONE, 2014-08-14;9(8):e105166.
Species: Human
Sample Types: Whole Cells
Applications: Bioassay -
Molecular evidence for OCT4-induced plasticity in adult human fibroblasts required for direct cell fate conversion to lineage specific progenitors.
Authors: Mitchell R, Szabo E, Shapovalova Z, Aslostovar L, Makondo K, Bhatia M
Stem Cells, 2014-08-01;32(8):2178-87.
Species: Human
Sample Types: Whole Cells
Applications: Bioassay -
Rho GTPases RhoA and Rac1 mediate effects of dietary folate on metastatic potential of A549 cancer cells through the control of cofilin phosphorylation.
Authors: Oleinik N, Helke K, Kistner-Griffin E, Krupenko N, Krupenko S
J Biol Chem, 2014-08-01;289(38):26383-94.
Species: Human
Sample Types: Whole Cells
Applications: Bioassay -
Translational validation of personalized treatment strategy based on genetic characteristics of glioblastoma.
Authors: Oh, Young Ta, Cho, Hee Jin, Kim, Jinkuk, Lee, Ji-Hyun, Rho, Kyoohyou, Seo, Yun-Jee, Choi, Yeon-Soo, Jung, Hye Jin, Song, Hyeon Su, Kong, Doo-Sik, Seol, Ho Jun, Lee, Jung-Il, Yoon, Yeup, Kim, Sunghoon, Nam, Do-Hyun, Joo, Kyeung M
PLoS ONE, 2014-08-01;9(8):e103327.
Species: Human
Sample Types: Whole Cells
Applications: Bioassay -
NEDD4 ubiquitinates TRAF3 to promote CD40-mediated AKT activation.
Authors: Fang, Di-Feng, He, Kun, Wang, Na, Sang, Zhi-Hong, Qiu, Xin, Xu, Guang, Jian, Zhao, Liang, Bing, Li, Tao, Li, Hui-Yan, Li, Ai-Ling, Zhou, Tao, Gong, Wei-Li, Yang, Baoli, Karin, Michael, Zhang, Xue-Min, Li, Wei-Hua
Nat Commun, 2014-07-29;5(0):4513.
Species: Mouse
Sample Types: Whole Cells
Applications: Bioassay -
Sulforaphane, quercetin and catechins complement each other in elimination of advanced pancreatic cancer by miR-let-7 induction and K-ras inhibition.
Authors: Appari M, Babu K, Kaczorowski A, Gross W, Herr I
Int J Oncol, 2014-07-08;45(4):1391-400.
Species: Human
Sample Types: Whole Cells
Applications: Bioassay -
Autophagy induction enhances TDP43 turnover and survival in neuronal ALS models.
Authors: Barmada, Sami J, Serio, Andrea, Arjun, Arpana, Bilican, Bilada, Daub, Aaron, Ando, D Michae, Tsvetkov, Andrey, Pleiss, Michael, Li, Xingli, Peisach, Daniel, Shaw, Christop, Chandran, Siddhart, Finkbeiner, Steven
Nat Chem Biol, 2014-06-29;10(8):677-85.
Species: Human
Sample Types: Whole Cells
Applications: Bioassay -
High efficient differentiation of functional hepatocytes from porcine induced pluripotent stem cells.
Authors: Ao, Ying, Mich-Basso, Jocelyn, Lin, Bo, Yang, Lei
PLoS ONE, 2014-06-20;9(6):e100417.
Species: Porcine
Sample Types: Whole Cells
Applications: Bioassay -
Dopaminergic-like neurons derived from oral mucosa stem cells by developmental cues improve symptoms in the hemi-parkinsonian rat model.
Authors: Ganz, Javier, Arie, Ina, Buch, Sigal, Zur, Tali Ben, Barhum, Yael, Pour, Sammy, Araidy, Shareef, Pitaru, Sandu, Offen, Daniel
PLoS ONE, 2014-06-19;9(6):e100445.
Species: Human
Sample Types: Whole Cells
Applications: Bioassay -
CoCl2, a mimic of hypoxia, induces formation of polyploid giant cells with stem characteristics in colon cancer.
Authors: Lopez-Sanchez L, Jimenez C, Valverde A, Hernandez V, Penarando J, Martinez A, Lopez-Pedrera C, Munoz-Castaneda J, De la Haba-Rodriguez J, Aranda E, Rodriguez-Ariza A
PLoS ONE, 2014-06-16;9(6):e99143.
Species: Human
Sample Types: Whole Cells
Applications: Bioassay -
Cellular stress amplifies TLR3/4-induced CXCL1/2 gene transcription in mononuclear phagocytes via RIPK1.
Authors: Zhao C, Pavicic P, Datta S, Sun D, Novotny M, Hamilton T
J Immunol, 2014-06-11;193(2):879-88.
Species: Human
Sample Types: Whole Cells
Applications: Bioassay -
Butein suppresses breast cancer growth by reducing a production of intracellular reactive oxygen species.
Authors: Cho, Sung-Goo, Woo, Sang-Mi, Ko, Seong-Gy
J Exp Clin Cancer Res, 2014-06-11;33(0):51.
Species: Human
Sample Types: Whole Cells
Applications: Bioassay -
Chondrogenesis of infrapatellar fat pad derived adipose stem cells in 3D printed chitosan scaffold.
Authors: Ye K, Felimban R, Traianedes K, Moulton S, Wallace G, Chung J, Quigley A, Choong P, Myers D
PLoS ONE, 2014-06-11;9(6):e99410.
Species: Human
Sample Types: Whole Cells
Applications: Bioassay -
Chromatinized protein kinase C-theta directly regulates inducible genes in epithelial to mesenchymal transition and breast cancer stem cells.
Authors: Zafar A, Wu F, Hardy K, Li J, Tu W, McCuaig R, Harris J, Khanna K, Attema J, Gregory P, Goodall G, Harrington K, Dahlstrom J, Boulding T, Madden R, Tan A, Milburn P, Rao S
Mol Cell Biol, 2014-06-02;34(16):2961-80.
Species: Human
Sample Types: Whole Cells
Applications: Bioassay -
Receptor-type protein tyrosine phosphatase kappa directly dephosphorylates CD133 and regulates downstream AKT activation.
Authors: Shimozato O, Waraya M, Nakashima K, Souda H, Takiguchi N, Yamamoto H, Takenobu H, Uehara H, Ikeda E, Matsushita S, Kubo N, Nakagawara A, Ozaki T, Kamijo T
Oncogene, 2014-06-02;34(15):1949-60.
Species: Human
Sample Types: Whole Cells
Applications: Bioassay -
Functional cross-talk between the cellular prion protein and the neural cell adhesion molecule is critical for neuronal differentiation of neural stem/precursor cells.
Authors: Prodromidou K, Papastefanaki F, Sklaviadis T, Matsas R
Stem Cells, 2014-06-01;32(6):1674-87.
Species: Mouse
Sample Types: Whole Cells
Applications: Bioassay -
Human marrow stromal cells downsize the stem cell fraction of lung cancers by fibroblast growth factor 10.
Authors: Kanehira M, Kikuchi T, Santoso A, Tode N, Hirano T, Ohkouchi S, Tamada T, Sugiura H, Harigae H, Ichinose M
Mol Cell Biol, 2014-05-27;34(15):2848-56.
Species: Human
Sample Types: Whole Cells
Applications: Bioassay -
MicroRNA-200b suppresses arsenic-transformed cell migration by targeting protein kinase Calpha and Wnt5b-protein kinase Calpha positive feedback loop and inhibiting Rac1 activation.
Authors: Wang Z, Humphries B, Xiao H, Jiang Y, Yang C
J Biol Chem, 2014-05-19;289(26):18373-86.
Species: Human
Sample Types: Whole Cells
Applications: Bioassay -
Triptolide reverses hypoxia-induced epithelial-mesenchymal transition and stem-like features in pancreatic cancer by NF-kappaB downregulation.
Authors: Liu L, Salnikov A, Bauer N, Aleksandrowicz E, Labsch S, Nwaeburu C, Mattern J, Gladkich J, Schemmer P, Werner J, Herr I
Int J Cancer, 2014-05-15;134(10):2489-503.
Species: Human
Sample Types: Whole Cells
Applications: Bioassay -
The broad-spectrum metalloproteinase inhibitor BB-94 inhibits growth, HER3 and Erk activation in fulvestrant-resistant breast cancer cell lines.
Authors: Kirkegaard T, Yde C, Kveiborg M, Lykkesfeldt A
Int J Oncol, 2014-05-09;45(1):393-400.
Species: Human
Sample Types: Whole Cells
Applications: Bioassay -
The repressive effect of miR-148a on TGF beta-SMADs signal pathway is involved in the glabridin-induced inhibition of the cancer stem cells-like properties in hepatocellular carcinoma cells.
Authors: Jiang F, Mu J, Wang X, Ye X, Si L, Ning S, Li Z, Li Y
PLoS ONE, 2014-05-07;9(5):e96698.
Species: Human
Sample Types: Whole Cells
Applications: Bioassay -
Boundary cap neural crest stem cells homotopically implanted to the injured dorsal root transitional zone give rise to different types of neurons and glia in adult rodents.
Authors: Trolle, Carl, Konig, Niclas, Abrahamsson, Ninnie, Vasylovska, Svitlana, Kozlova, Elena N
BMC Neurosci, 2014-05-05;15(0):60.
Species: Mouse
Sample Types: Whole Cells
Applications: Bioassay -
Influence of oxygen tension on dopaminergic differentiation of human fetal stem cells of midbrain and forebrain origin.
Authors: Krabbe C, Bak S, Jensen P, von Linstow C, Martinez Serrano A, Hansen C, Meyer M
PLoS ONE, 2014-05-02;9(5):e96465.
Species: Human
Sample Types: Whole Cells
Applications: Bioassay -
Glioma cancer stem cells secrete Gremlin1 to promote their maintenance within the tumor hierarchy.
Authors: Yan K, Wu Q, Yan D, Lee C, Rahim N, Tritschler I, DeVecchio J, Kalady M, Hjelmeland A, Rich J
Genes Dev, 2014-05-01;28(10):1085-100.
Species: Human
Sample Types: Whole Cells
Applications: Bioassay -
Additive effects of EGF and IL-1beta regulate tumor cell migration and invasion in gastric adenocarcinoma via activation of ERK1/2.
Authors: Han J, Xie Y, Lan F, Yu Y, Liu W, Chen J, Zheng F, Ouyang X, Lin X, Lin Y, Huang Q, Wang L, Tan J
Int J Oncol, 2014-04-28;45(1):291-301.
Species: Human
Sample Types: Whole Cells
Applications: Bioassay -
THY-1 receptor expression differentiates cardiosphere-derived cells with divergent cardiogenic differentiation potential.
Authors: Gago-Lopez N, Awaji O, Zhang Y, Ko C, Nsair A, Liem D, Stempien-Otero A, MacLellan W
Stem Cell Reports, 2014-04-18;2(5):576-91.
Species: Human
Sample Types: Whole Cells
Applications: Bioassay -
A novel berbamine derivative inhibits cell viability and induces apoptosis in cancer stem-like cells of human glioblastoma, via up-regulation of miRNA-4284 and JNK/AP-1 signaling.
Authors: Yang, Fan, Nam, Sangkil, Brown, Christin, Zhao, Robin, Starr, Renate, Ma, Yuelong, Xie, Jun, Horne, David A, Malkas, Linda H, Jove, Richard, Hickey, Robert J
PLoS ONE, 2014-04-14;9(4):e94443.
Species: Human
Sample Types: Whole Cells
Applications: Bioassay -
Micro-environment causes reversible changes in DNA methylation and mRNA expression profiles in patient-derived glioma stem cells.
Authors: Baysan, Mehmet, Woolard, Kevin, Bozdag, Serdar, Riddick, Gregory, Kotliarova, Svetlana, Cam, Margaret, Belova, Galina I, Ahn, Susie, Zhang, Wei, Song, Hua, Walling, Jennifer, Stevenson, Holly, Meltzer, Paul, Fine, Howard A
PLoS ONE, 2014-04-11;9(4):e94045.
Species: Human
Sample Types: Whole Cells
Applications: Bioassay -
Wild-type and mutant p53 differentially regulate NADPH oxidase 4 in TGF-beta-mediated migration of human lung and breast epithelial cells.
Authors: Boudreau H, Casterline B, Burke D, Leto T
Br J Cancer, 2014-04-08;110(10):2569-82.
Species: Human
Sample Types: Whole Cells
Applications: Bioassay -
Treatment of acute respiratory distress syndrome with allogeneic adipose-derived mesenchymal stem cells: a randomized, placebo-controlled pilot study.
Authors: Zheng G, Huang L, Tong H, Shu Q, Hu Y, Ge M, Deng K, Zhang L, Zou B, Cheng B, Xu J
Respir Res, 2014-04-04;15(0):39.
Species: Human
Sample Types: Whole Cells
Applications: Bioassay -
Leptin-induced adhesion and invasion in colorectal cancer cell lines.
Authors: Yoon K, Park S, Kim J, Lee S, Park C, Cho S, Lee W, Joo Y, Lee J, Kim H, Choi S, Rew J
Oncol Rep, 2014-04-03;31(6):2493-8.
Species: Human
Sample Types: Whole Cells
Applications: Bioassay -
alpha-Taxilin interacts with sorting nexin 4 and participates in the recycling pathway of transferrin receptor.
Authors: Sakane H, Horii Y, Nogami S, Kawano Y, Kaneko-Kawano T, Shirataki H
PLoS ONE, 2014-04-01;9(4):e93509.
Species: Human
Sample Types: Whole Cells
Applications: Cell Culture -
XBP1 promotes triple-negative breast cancer by controlling the HIF1alpha pathway.
Authors: Chen X, Iliopoulos D, Zhang Q, Tang Q, Greenblatt M, Hatziapostolou M, Lim E, Tam W, Ni M, Chen Y, Mai J, Shen H, Hu D, Adoro S, Hu B, Song M, Tan C, Landis M, Ferrari M, Shin S, Brown M, Chang J, Liu X, Glimcher L
Nature, 2014-03-23;508(7494):103-7.
Species: Human
Sample Types: Whole Cells
Applications: Bioassay -
Porcupine is not required for the production of the majority of Wnts from primary human astrocytes and CD8+ T cells.
Authors: Richards M, Seaton M, Wallace J, Al-Harthi L
PLoS ONE, 2014-03-19;9(3):e92159.
Species: Human
Sample Types: Whole Cells
Applications: Bioassay -
Three-dimensional lung tumor microenvironment modulates therapeutic compound responsiveness in vitro--implication for drug development.
Authors: Ekert, Jason E, Johnson, Kjell, Strake, Brandy, Pardinas, Jose, Jarantow, Stephen, Perkinson, Robert, Colter, David C
PLoS ONE, 2014-03-17;9(3):e92248.
Species: Human
Sample Types: Whole Cells
Applications: Bioassay -
MicroRNA-608 and microRNA-34a regulate chordoma malignancy by targeting EGFR, Bcl-xL and MET.
Authors: Zhang, Ying, Schiff, David, Park, Deric, Abounader, Roger
PLoS ONE, 2014-03-12;9(3):e91546.
Species: Human
Sample Types: Whole Cells
Applications: Bioassay -
Sulforaphane and TRAIL induce a synergistic elimination of advanced prostate cancer stem-like cells.
Authors: Labsch S, Liu L, Bauer N, Zhang Y, Aleksandrowicz E, Gladkich J, Schonsiegel F, Herr I
Int J Oncol, 2014-03-10;44(5):1470-80.
Species: Human
Sample Types: Whole Cells
Applications: Bioassay -
High glucose induces human endothelial dysfunction through an Axl-dependent mechanism.
Authors: Lee C, Shieh Y, Hsiao F, Kuo F, Lin C, Hsieh C, Hung Y
Cardiovasc Diabetol, 2014-02-26;13(0):53.
Species: Human
Sample Types: Whole Cells
Applications: Bioassay -
The multifunctional growth factor midkine promotes proliferation and migration in pancreatic cancer.
Authors: Rawnaq T, Dietrich L, Wolters-Eisfeld G, Uzunoglu F, Vashist Y, Bachmann K, Simon R, Izbicki J, Bockhorn M, Gungor C
Mol Cancer Res, 2014-02-24;12(5):670-80.
Species: Human
Sample Types: Whole Cells
Applications: Bioassay -
Screening and discovery of nitro-benzoxadiazole compounds activating epidermal growth factor receptor (EGFR) in cancer cells.
Authors: Sakanyan V, Angelini M, Le Bechec M, Lecocq M, Benaiteau F, Rousseau B, Gyulkhandanyan A, Gyulkhandanyan L, Loge C, Reiter E, Roussakis C, Fleury F
Sci Rep, 2014-02-05;4(0):3977.
Species: Human
Sample Types: Whole Cells
Applications: Bioassay -
MASP-1 induces a unique cytokine pattern in endothelial cells: a novel link between complement system and neutrophil granulocytes.
Authors: Jani P, Kajdacsi E, Megyeri M, Dobo J, Doleschall Z, Futosi K, Timar C, Mocsai A, Mako V, Gal P, Cervenak L
PLoS ONE, 2014-01-29;9(1):e87104.
Species: Human
Sample Types: Whole Cells
Applications: Bioassay -
Nestin regulates proliferation, migration, invasion and stemness of lung adenocarcinoma.
Authors: Narita K, Matsuda Y, Seike M, Naito Z, Gemma A, Ishiwata T
Int J Oncol, 2014-01-24;44(4):1118-30.
Species: Human
Sample Types: Whole Cells
Applications: Bioassay -
Photodynamic therapy with 5-aminolevulinic acid (ALA) impairs tumor initiating and chemo-resistance property in head and neck cancer-derived cancer stem cells.
Authors: Yu, Chuan-Ha, Yu, Cheng-Ch
PLoS ONE, 2014-01-24;9(1):e87129.
Species: Human
Sample Types: Whole Cells
Applications: Bioassay -
Ezrin expression and cell survival regulation in colorectal cancer.
Authors: Leiphrakpam P, Rajput A, Mathiesen M, Agarwal E, Lazenby A, Are C, Brattain M, Chowdhury S
Cell Signal, 2014-01-22;26(5):868-79.
Species: Human
Sample Types: Whole Cells
Applications: Bioassay -
Canine epidermal neural crest stem cells: characterization and potential as therapy candidate for a large animal model of spinal cord injury.
Authors: Gericota B, Anderson J, Mitchell G, Borjesson D, Sturges B, Nolta J, Sieber-Blum M
Stem Cells Transl Med, 2014-01-17;3(3):334-45.
Species: Canine
Sample Types: Whole Tissue
Applications: Bioassay -
Multiple receptor tyrosine kinases converge on microRNA-134 to control KRAS, STAT5B, and glioblastoma.
Authors: Zhang, Y, Kim, J, Mueller, A C, Dey, B, Yang, Y, Lee, D-h, Hachmann, J, Finderle, S, Park, D M, Christensen, J, Schiff, D, Purow, B, Dutta, A, Abounader, R
Cell Death Differ, 2014-01-17;21(5):720-34.
Species: Human
Sample Types: Whole Cells
Applications: Bioassay -
miR-17 regulates the proliferation and differentiation of the neural precursor cells during mouse corticogenesis.
Authors: Mao S, Li H, Sun Q, Zen K, Zhang C, Li L
FEBS J, 2014-01-15;281(4):1144-58.
Species: Mouse
Sample Types: Whole Cells
Applications: Bioassay -
Inhibition of receptor signaling and of glioblastoma-derived tumor growth by a novel PDGFRbeta aptamer.
Authors: Camorani S, Esposito C, Rienzo A, Catuogno S, Iaboni M, Condorelli G, de Franciscis V, Cerchia L
Mol Ther, 2014-01-02;22(4):828-41.
Species: Human
Sample Types: Whole Cells
Applications: Bioassay -
Generation of folliculogenic human epithelial stem cells from induced pluripotent stem cells.
Authors: Yang, Ruifeng, Zheng, Ying, Burrows, Michelle, Liu, Shujing, Wei, Zhi, Nace, Arben, Guo, Wei, Kumar, Suresh, Cotsarelis, George, Xu, Xiaowei
Nat Commun, 2014-01-01;5(0):3071.
Species: Human
Sample Types: Whole Cells
Applications: Bioassay -
Silencing of reversion-inducing cysteine-rich protein with Kazal motifs stimulates hyperplastic phenotypes through activation of epidermal growth factor receptor and hypoxia-inducible factor-2alpha.
Authors: Lee Y, Lee S, Lee K, Nguyen M, Lee M, Park G, Kwon M
PLoS ONE, 2013-12-20;8(12):e84520.
Species: Human
Sample Types: Whole Cells
Applications: Bioassay -
Knockdown of Bmi1 inhibits the stemness properties and tumorigenicity of human bladder cancer stem cell-like side population cells.
Authors: Zhu, Dingjun, Wan, Xuesi, Huang, Hai, Chen, Xu, Liang, Wu, Zhao, Fengjin, Lin, Tianxin, Han, Jinli, Xie, Wenlian
Oncol Rep, 2013-12-13;31(2):727-36.
Species: Human
Sample Types: Whole Cells
Applications: Bioassay -
Epigenetic regulation of the miR142-3p/interleukin-6 circuit in glioblastoma.
Authors: Chiou G, Chien C, Wang M, Chen M, Yang Y, Yu Y, Chien Y, Chang Y, Shen C, Chio C, Lu K, Ma H, Chen K, Liu D, Miller S, Chen Y, Huang P, Shih Y, Hung M, Chiou S
Mol Cell, 2013-12-12;52(5):693-706.
Species: Human
Sample Types: Whole Cells
Applications: Bioassay -
Control of a tumor suppressor PDCD4: Degradation mechanisms of the protein in hepatocellular carcinoma cells.
Authors: Matsuhashi S, Hamajima H, Xia J, Zhang H, Mizuta T, Anzai K, Ozaki I
Cell Signal, 2013-12-12;26(3):603-10.
Species: Human
Sample Types: Whole Cells
Applications: Bioassay -
Chemotherapy activates cancer-associated fibroblasts to maintain colorectal cancer-initiating cells by IL-17A.
Authors: Lotti, Fiorenza, Jarrar, Awad M, Pai, Rish K, Hitomi, Masahiro, Lathia, Justin, Mace, Adam, Gantt, Gerald A, Sukhdeo, Kumar, DeVecchio, Jennifer, Vasanji, Amit, Leahy, Patrick, Hjelmeland, Anita B, Kalady, Matthew, Rich, Jeremy N
J Exp Med, 2013-12-09;210(13):2851-72.
Species: Human
Sample Types: Whole Cells
Applications: Bioassay -
Oncogenic K-Ras and loss of Smad4 mediate invasion by activating an EGFR/NF-kappaB Axis that induces expression of MMP9 and uPA in human pancreas progenitor cells.
Authors: Bera A, Zhao S, Cao L, Chiao P, Freeman J
PLoS ONE, 2013-12-05;8(12):e82282.
Species: Human
Sample Types: Whole Cells
Applications: Bioassay -
APP processing in human pluripotent stem cell-derived neurons is resistant to NSAID-based gamma-secretase modulation.
Authors: Mertens J, Stuber K, Wunderlich P, Ladewig J, Kesavan J, Vandenberghe R, Vandenbulcke M, Van Damme P, Walter J, Brustle O, Koch P
Stem Cell Reports, 2013-12-05;1(6):491-8.
Species: Human
Sample Types: Whole Cells
Applications: Bioassay -
Adult human nasal mesenchymal-like stem cells restore cochlear spiral ganglion neurons after experimental lesion.
Authors: Bas E, Van De Water T, Lumbreras V, Rajguru S, Goss G, Hare J, Goldstein B
Stem Cells Dev, 2013-12-04;23(5):502-14.
Species: Human
Sample Types: Whole Cells
Applications: Bioassay -
CCAAT/enhancer binding protein-mediated regulation of TGFbeta receptor 2 expression determines the hepatoblast fate decision.
Authors: Takayama K, Kawabata K, Nagamoto Y, Inamura M, Ohashi K, Okuno H, Yamaguchi T, Tashiro K, Sakurai F, Hayakawa T, Okano T, Furue M, Mizuguchi H
Development, 2013-11-27;141(1):91-100.
Species: Human
Sample Types: Whole Cells
Applications: Bioassay -
The adherens junction protein afadin is an AKT substrate that regulates breast cancer cell migration.
Authors: Elloul, Sivan, Kedrin, Dmitriy, Knoblauch, Nicholas, Beck, Andrew H, Toker, Alex
Mol Cancer Res, 2013-11-22;12(3):464-76.
Species: Human
Sample Types: Whole Cells
Applications: Bioassay -
p38-Mediated phosphorylation of Eps15 endocytic adaptor protein.
Authors: Zhou Y, Tanaka T, Sugiyama N, Yokoyama S, Kawasaki Y, Sakuma T, Ishihama Y, Saiki I, Sakurai H
FEBS Lett, 2013-11-21;588(1):131-7.
Species: Human
Sample Types: Whole Cells
Applications: Bioassay -
The MAPK pathway is a predominant regulator of HLA-A expression in esophageal and gastric cancer.
Authors: Mimura, Kousaku, Shiraishi, Kensuke, Mueller, Anja, Izawa, Shinichi, Kua, Ley-Fang, So, Jimmy, Yong, Wei-Peng, Fujii, Hideki, Seliger, Barbara, Kiessling, Rolf, Kono, Koji
J Immunol, 2013-11-15;191(12):6261-72.
Species: Human
Sample Types: Whole Cells
Applications: Cell Culture -
Inhibition of PARP1 by small interfering RNA enhances docetaxel activity against human prostate cancer PC3 cells.
Authors: Wu W, Kong Z, Duan X, Zhu H, Li S, Zeng S, Liang Y, Iliakis G, Gui Z, Yang D
Biochem Biophys Res Commun, 2013-11-15;442(1):127-32.
Species: Human
Sample Types: Whole Cells
Applications: Cell Culture -
Mycobacterium tuberculosis type VII secreted effector EsxH targets host ESCRT to impair trafficking.
Authors: Mehra A, Zahra A, Thompson V, Sirisaengtaksin N, Wells A, Porto M, Koster S, Penberthy K, Kubota Y, Dricot A, Rogan D, Vidal M, Hill D, Bean A, Philips J
PLoS Pathog, 2013-10-31;9(10):e1003734.
Species: Human
Sample Types: Whole Cells
Applications: Bioassay -
In vivo analysis of insulin-like growth factor type 1 receptor humanized monoclonal antibody MK-0646 and small molecule kinase inhibitor OSI-906 in colorectal cancer.
Authors: Leiphrakpam, Premila, Agarwal, Ekta, Mathiesen, Michelle, Haferbier, Katie L, Brattain, Michael, Chowdhury, Sanjib
Oncol Rep, 2013-10-25;31(1):87-94.
Species: Human
Sample Types: Whole Cells
Applications: Bioassay -
MicroRNA-224 is involved in the regulation of mouse cumulus expansion by targeting Ptx3.
Authors: Yao G, Liang M, Liang N, Yin M, Lu M, Lian J, Wang Y, Sun F
Mol Cell Endocrinol, 2013-10-18;382(1):244-53.
Species: Mouse
Sample Types: Whole Cells
Applications: Bioassay -
Generation of multipotent foregut stem cells from human pluripotent stem cells.
Authors: Hannan, Nicholas, Fordham, Robert P, Syed, Yasir A, Moignard, Victoria, Berry, Andrew, Bautista, Ruben, Hanley, Neil A, Jensen, Kim B, Vallier, Ludovic
Stem Cell Reports, 2013-10-10;1(4):293-306.
Species: Human
Sample Types: Whole Cells
Applications: Bioassay -
Long-term self-renewal of human ES/iPS-derived hepatoblast-like cells on human laminin 111-coated dishes.
Authors: Takayama K, Nagamoto Y, Mimura N, Tashiro K, Sakurai F, Tachibana M, Hayakawa T, Kawabata K, Mizuguchi H
Stem Cell Reports, 2013-10-03;1(4):322-35.
Species: Human
Sample Types: Whole Cells
Applications: Bioassay -
Enhanced filopodium formation and stem-like phenotypes in a novel metastatic head and neck cancer cell model.
Authors: Chen Y, Huang W, Chang S, Chang K, Kao S, Lo J, Su P
Oncol Rep, 2013-10-01;30(6):2829-37.
Species: Human
Sample Types: Whole Cells
Applications: Bioassay -
Targeting protein kinase CK2 suppresses prosurvival signaling pathways and growth of glioblastoma.
Authors: Zheng Y, McFarland B, Drygin D, Yu H, Bellis S, Kim H, Bredel M, Benveniste E
Clin Cancer Res, 2013-09-13;19(23):6484-94.
Species: Human
Sample Types: Whole Cells
Applications: Cell Culture -
TGF-beta1 promotes lymphangiogenesis during peritoneal fibrosis.
Authors: Kinashi H, Ito Y, Mizuno M, Suzuki Y, Terabayashi T, Nagura F, Hattori R, Matsukawa Y, Mizuno T, Noda Y, Nishimura H, Nishio R, Maruyama S, Imai E, Matsuo S, Takei Y
J Am Soc Nephrol, 2013-08-29;24(10):1627-42.
Species: Human
Sample Types: Whole Cells
Applications: Bioassay -
The novel c-Met inhibitor cabozantinib overcomes gemcitabine resistance and stem cell signaling in pancreatic cancer.
Authors: Hage C, Rausch V, Giese N, Giese T, Schonsiegel F, Labsch S, Nwaeburu C, Mattern J, Gladkich J, Herr I
Cell Death Dis, 2013-05-09;4(0):e627.
Species: Human
Sample Types: Whole Cells
Applications: Bioassay -
Clinical-grade multipotent adult progenitor cells durably control pathogenic T cell responses in human models of transplantation and autoimmunity.
Authors: Reading J, Yang J, Sabbah S, Skowera A, Knight R, Pinxteren J, Vaes B, Allsopp T, Ting A, Busch S, Raber A, Deans R, Tree T
J Immunol, 2013-04-01;190(9):4542-52.
Species: Human
Sample Types: Whole Cells
Applications: Bioassay -
Wingless-type mammary tumor virus integration site family, member 5A (Wnt5a) regulates human immunodeficiency virus type 1 (HIV-1) envelope glycoprotein 120 (gp120)-induced expression of pro-inflammatory cytokines via the Ca2+/calmodulin-dependent protein kinase II (CaMKII) and c-Jun N-terminal kinase (JNK) signaling pathways.
Authors: Li B, Shi Y, Shu J, Gao J, Wu P, Tang S
J Biol Chem, 2013-03-28;288(19):13610-9.
Species: Human
Sample Types: Whole Cells
Applications: Bioassay -
P38/NF-kappaB/snail pathway is involved in caffeic acid-induced inhibition of cancer stem cells-like properties and migratory capacity in malignant human keratinocyte.
Authors: Yang Y, Li Y, Wang K, Wang Y, Yin W, Li L
PLoS ONE, 2013-03-13;8(3):e58915.
Species: Human
Sample Types: Whole Cells
Applications: Bioassay -
Vaccination for invasive canine meningioma induces in situ production of antibodies capable of antibody-dependent cell-mediated cytotoxicity.
Authors: Andersen B, Pluhar G, Seiler C, Goulart M, SantaCruz K, Schutten M, Meints J, O'Sullivan M, Bentley R, Packer R, Thomovsky S, Chen A, Faissler D, Chen W, Hunt M, Olin M, Ohlfest J
Cancer Res, 2013-03-07;73(10):2987-97.
Species: Canine
Sample Types: Whole Cells
Applications: Bioassay -
Neuronal differentiation and extensive migration of human neural precursor cells following co-culture with rat auditory brainstem slices.
Authors: Novozhilova E, Olivius P, Siratirakun P, Lundberg C, Englund-Johansson U
PLoS ONE, 2013-03-07;8(3):e57301.
Species: Human
Sample Types: Whole Cells
Applications: Bioassay -
Insulin signaling via Akt2 switches plakophilin 1 function from stabilizing cell adhesion to promoting cell proliferation.
Authors: Wolf A, Rietscher K, Glass M, Huttelmaier S, Schutkowski M, Ihling C, Sinz A, Wingenfeld A, Mun A, Hatzfeld M
J Cell Sci, 2013-02-26;126(0):1832-44.
Species: Human
Sample Types: Whole Cells
Applications: Bioassay -
mTOR-dependent proliferation defect in human ES-derived neural stem cells affected by myotonic dystrophy type 1.
Authors: Denis J, Gauthier M, Rachdi L, Aubert S, Giraud-Triboult K, Poydenot P, Benchoua A, Champon B, Maury Y, Baldeschi C, Scharfmann R, Pietu G, Peschanski M, Martinat C
J Cell Sci, 2013-02-26;126(0):1763-72.
Species: Human
Sample Types: Whole Cells
Applications: Bioassay -
Deltex-1 activates mitotic signaling and proliferation and increases the clonogenic and invasive potential of U373 and LN18 glioblastoma cells and correlates with patient survival.
Authors: Huber, Roland M, Rajski, Michal, Sivasankaran, Balasubr, Moncayo, Gerald, Hemmings, Brian A, Merlo, Adrian
PLoS ONE, 2013-02-25;8(2):e57793.
Species: Human
Sample Types: Whole Cells
Applications: Bioassay -
The E3 ubiquitin ligases RNF126 and Rabring7 regulate endosomal sorting of the epidermal growth factor receptor.
Authors: Smith, Christop, Berry, Donna M, McGlade, C Jane
J Cell Sci, 2013-02-15;126(0):1366-80.
Species: Human
Sample Types: Whole Cells
Applications: Bioassay -
Minimal residual disease monitoring in neuroblastoma patients based on the expression of a set of real-time RT-PCR markers in tumor-initiating cells.
Authors: Hartomo T, Kozaki A, Hasegawa D, Van Huyen Pham T, Yamamoto N, Saitoh A, Ishida T, Kawasaki K, Kosaka Y, Ohashi H, Yamamoto T, Morikawa S, Hirase S, Kubokawa I, Mori T, Yanai T, Hayakawa A, Takeshima Y, Iijima K, Matsuo M, Nishio H, Nishimura N
Oncol Rep, 2013-02-12;29(4):1629-36.
Species: Human
Sample Types: Whole Cells
Applications: Bioassay -
Gab2 phosphorylation by RSK inhibits Shp2 recruitment and cell motility.
Authors: Zhang X, Lavoie G, Fort L, Huttlin E, Tcherkezian J, Galan J, Gu H, Gygi S, Carreno S, Roux P
Mol Cell Biol, 2013-02-11;33(8):1657-70.
Species: Human
Sample Types: Whole Cells
Applications: Bioassay -
Essential role for endocytosis in the growth factor-stimulated activation of ERK1/2 in endothelial cells.
Authors: Gourlaouen, Morgane, Welti, Jonathan, Vasudev, Naveen S, Reynolds, Andrew R
J Biol Chem, 2013-01-22;288(11):7467-80.
Species: Human
Sample Types: Whole Cells
Applications: Bioassay -
Distinct effects of ligand-induced PDGFRalpha and PDGFRbeta signaling in the human rhabdomyosarcoma tumor cell and stroma cell compartments.
Authors: Ehnman M, Missiaglia E, Folestad E, Selfe J, Strell C, Thway K, Brodin B, Pietras K, Shipley J, Ostman A, Eriksson U
Cancer Res, 2013-01-21;73(7):2139-49.
Species: Human
Sample Types: Whole Cells
Applications: Bioassay -
Diacylglycerol kinase delta modulates Akt phosphorylation through pleckstrin homology domain leucine-rich repeat protein phosphatase 2 (PHLPP2).
Authors: Crotty T, Nakano T, Stafforini D, Topham M
J Biol Chem, 2012-11-26;288(3):1439-47.
Species: Human
Sample Types: Whole Cells
Applications: Bioassay -
The reactivity, distribution and abundance of Non-astrocytic Inner Retinal Glial (NIRG) cells are regulated by microglia, acute damage, and IGF1.
Authors: Zelinka C, Scott M, Volkov L, Fischer A
PLoS ONE, 2012-09-04;7(9):e44477.
Species: Chicken
Sample Types: In Vivo
Applications: In Vivo -
Activation of HER family signaling as a mechanism of acquired resistance to ALK inhibitors in EML4-ALK-positive non-small cell lung cancer.
Authors: Tanizaki J, Okamoto I, Okabe T, Sakai K, Tanaka K, Hayashi H, Kaneda H, Takezawa K, Kuwata K, Yamaguchi H, Hatashita E, Nishio K, Nakagawa K
Clin Cancer Res, 2012-07-27;18(22):6219-26.
Species: Human
Sample Types: Whole Cells
Applications: Bioassay -
Widespread potential for growth-factor-driven resistance to anticancer kinase inhibitors.
Authors: Wilson TR, Fridlyand J, Yan Y, Penuel E, Burton L, Chan E, Peng J, Lin E, Wang Y, Sosman J, Ribas A, Li J, Moffat J, Sutherlin DP, Koeppen H, Merchant M, Neve R, Settleman J
Nature, 2012-07-26;487(7408):505-9.
Species: Human
Sample Types: Whole Cells
Applications: Bioassay -
Fibroblast growth factor-2 maintains a niche-dependent population of self-renewing highly potent non-adherent mesenchymal progenitors through FGFR2c.
Authors: Di Maggio N, Mehrkens A, Papadimitropoulos A, Schaeren S, Heberer M, Banfi A, Martin I
Stem Cells, 2012-07-01;30(7):1455-64.
Species: Human
Sample Types: Whole Cells
Applications: Bioassay -
Regulation of IL-33 expression by IFN-gamma and tumor necrosis factor-alpha in normal human epidermal keratinocytes.
J. Invest. Dermatol., 2012-06-07;132(11):2593-600.
Species: Human
Sample Types: Whole Cells
Applications: Bioassay -
Both LRP5 and LRP6 receptors are required to respond to physiological Wnt ligands in mammary epithelial cells and fibroblasts.
Authors: Goel S, Chin EN, Fakhraldeen SA
J. Biol. Chem., 2012-03-20;287(20):16454-66.
Species: Mouse
Sample Types: Whole Cells
Applications: Bioassay -
Efficient differentiation of human embryonic and induced pluripotent stem cells into functional astrocytes.
Authors: Emdad L, D'Souza SL, Kothari HP, Qadeer ZA, Germano IM
Stem Cells Dev., 2011-07-26;21(3):404-10.
Species: Human
Sample Types: Whole Cells
Applications: Bioassay -
CD133 positive embryonal rhabdomyosarcoma stem-like cell population is enriched in rhabdospheres.
Authors: Walter D, Satheesha S, Albrecht P, Bornhauser BC, D'Alessandro V, Oesch SM, Rehrauer H, Leuschner I, Koscielniak E, Gengler C, Moch H, Bernasconi M, Niggli FK, Schafer BW
PLoS ONE, 2011-05-13;6(5):e19506.
Species: Human
Sample Types: Whole Cells
Applications: Bioassay -
Vandetanib inhibits both VEGFR-2 and EGFR signalling at clinically relevant drug levels in preclinical models of human cancer.
Authors: Brave SR, Odedra R, James NH
Int. J. Oncol., 2011-04-29;39(1):271-8.
Species: Human
Sample Types: Whole Cells
Applications: Bioassay -
Directed differentiation of human pluripotent stem cells into intestinal tissue in vitro.
Authors: Spence JR, Mayhew CN, Rankin SA
Nature, 2010-12-12;470(7332):105-9.
Species: Human
Sample Types: Whole Cells
Applications: Bioassay -
Bmi1 is essential in Twist1-induced epithelial-mesenchymal transition.
Authors: Yang MH, Hsu DS, Wang HW
Nat. Cell Biol., 2010-09-05;12(10):982-92.
Species: Human
Sample Types: Whole Cells
Applications: Bioassay -
Notch and Wnt signaling mediated rod photoreceptor regeneration by Muller cells in adult mammalian retina.
Authors: Del Debbio CB, Balasubramanian S, Parameswaran S, Chaudhuri A, Qiu F, Ahmad I
PLoS ONE, 2010-08-26;5(8):e12425.
Species: Mouse
Sample Types: Whole Cells
Applications: Bioassay -
The chitinase-like protein YKL-40 is secreted by airway epithelial cells at base line and in response to compressive mechanical stress.
Authors: Park JA, Drazen JM, Tschumperlin DJ
J. Biol. Chem., 2010-07-22;285(39):29817-25.
Species: Human
Sample Types: Whole Cells
Applications: Bioassay -
Multiple receptor tyrosine kinases regulate HIF-1alpha and HIF-2alpha in normoxia and hypoxia in neuroblastoma: implications for antiangiogenic mechanisms of multikinase inhibitors.
Authors: Nilsson MB, Zage PE, Zeng L, Xu L, Cascone T, Wu HK, Saigal B, Zweidler-McKay PA, Heymach JV
Oncogene, 2010-03-08;29(20):2938-49.
Species: Human
Sample Types: Whole Cells
Applications: Bioassay -
AZD8931, an equipotent, reversible inhibitor of signaling by epidermal growth factor receptor, ERBB2 (HER2), and ERBB3: a unique agent for simultaneous ERBB receptor blockade in cancer.
Authors: Hickinson DM, Klinowska T, Speake G
Clin. Cancer Res., 2010-02-09;16(4):1159-69.
Species: Human
Sample Types: Whole Cells
Applications: Bioassay -
Kallikrein expression and cathelicidin processing are independently controlled in keratinocytes by calcium, vitamin D(3), and retinoic acid.
Authors: Morizane S, Yamasaki K, Kabigting FD, Gallo RL
J. Invest. Dermatol., 2010-01-21;130(5):1297-306.
Species: Human
Sample Types: Whole Cells
Applications: Bioassay -
Mitogen-activated protein kinase-signaling regulates the ability of Muller glia to proliferate and protect retinal neurons against excitotoxicity.
Authors: Fischer AJ, Scott MA, Ritchey ER, Sherwood P
Glia, 2009-11-01;57(14):1538-52.
Species: Chicken
Sample Types: In Vivo
Applications: In Vivo -
Vascular endothelial growth factor drives autocrine epithelial cell proliferation and survival in chronic rhinosinusitis with nasal polyposis.
Authors: Lee HS, Myers A, Kim J
Am. J. Respir. Crit. Care Med., 2009-09-17;180(11):1056-67.
Species: Human
Sample Types: Whole Cells
Applications: Bioassay -
Dithiolethione compounds inhibit Akt signaling in human breast and lung cancer cells by increasing PP2A activity.
Authors: Switzer CH, Ridnour LA, Cheng RY, Sparatore A, Del Soldato P, Moody TW, Vitek MP, Roberts DD, Wink DA
Oncogene, 2009-08-24;28(43):3837-46.
Species: Human
Sample Types: Whole Cells
Applications: Bioassay -
EphrinA5 acts as a tumor suppressor in glioma by negative regulation of epidermal growth factor receptor.
Authors: Li JJ, Liu DP, Liu GT, Xie D
Oncogene, 2009-03-09;28(15):1759-68.
Species: Human
Sample Types: Whole Cells
Applications: Bioassay -
Docosahexaenoic acid promotes neuronal differentiation by regulating basic helix-loop-helix transcription factors and cell cycle in neural stem cells.
Authors: Katakura M, Hashimoto M, Shahdat HM, Gamoh S, Okui T, Matsuzaki K, Shido O
Neuroscience, 2009-03-09;160(3):651-60.
Species: Rat
Sample Types: Whole Cells
Applications: Bioassay -
Endocytosis of flotillin-1 and flotillin-2 is regulated by Fyn kinase.
Authors: Riento K, Frick M, Schafer I, Nichols BJ
J. Cell. Sci., 2009-03-03;122(0):912-8.
Species: Human, Mouse
Sample Types: Whole Cells
Applications: Bioassay -
Characterization of human skin-derived mesenchymal stem cell proliferation rate in different growth conditions.
Authors: Riekstina U, Muceniece R, Cakstina I, Muiznieks I, Ancans J
Cytotechnology, 2009-02-14;58(3):153-62.
Species: Human
Sample Types: Whole Cells
Applications: Bioassay -
Enhanced radiosensitivity and radiation-induced apoptosis in glioma CD133-positive cells by knockdown of SirT1 expression.
Authors: Chang CJ, Hsu CC, Yung MC, Chen KY, Tzao C, Wu WF, Chou HY, Lee YY, Lu KH, Chiou SH, Ma HI
Biochem. Biophys. Res. Commun., 2009-01-21;380(2):236-42.
Species: Human
Sample Types: Whole Cells
Applications: Bioassay -
Purification and characterization of mouse lacrimal gland epithelial cells and reconstruction of an acinarlike structure in three-dimensional culture.
Authors: Ueda Y, Karasawa Y, Satoh Y, Nishikawa S, Imaki J, Ito M
Invest. Ophthalmol. Vis. Sci., 2008-12-20;50(5):1978-87.
Species: Mouse
Sample Types: Whole Cells
Applications: Bioassay -
Human epidermal growth factor receptor (HER-1:HER-3) Fc-mediated heterodimer has broad antiproliferative activity in vitro and in human tumor xenografts.
Authors: Sarup J, Jin P, Turin L, Bai X, Beryt M, Brdlik C, Higaki JN, Jorgensen B, Lau FW, Lindley P, Liu J, Ni I, Rozzelle J, Kumari R, Watson SA, Zhang J, Shepard HM
Mol. Cancer Ther., 2008-10-01;7(10):3223-36.
Species: Human
Sample Types: Whole Cells
Applications: Bioassay -
Activation of the epidermal growth factor receptor (EGFR) by a novel metalloprotease pathway.
Authors: Bergin DA, Greene CM, Sterchi EE, Kenna C, Geraghty P, Belaaouaj A, Taggart CC, O'Neill SJ, McElvaney NG
J. Biol. Chem., 2008-09-04;283(46):31736-44.
Species: Human
Sample Types: Whole Cells
Applications: Bioassay -
Thalidomide inhibits epidermal growth factor-induced cell growth in mouse and human monocytic leukemia cells via Ras inactivation.
Authors: Noman AS, Koide N, Khuda II, Dagvadorj J, Tumurkhuu G, Naiki Y, Komatsu T, Yoshida T, Yokochi T
Biochem. Biophys. Res. Commun., 2008-07-26;374(4):683-7.
Species: Mouse
Sample Types: Whole Cells
Applications: Bioassay -
Epidermal Growth Factor Receptor Blockade in Combination with Conventional Chemotherapy Inhibits Soft Tissue Sarcoma Cell Growth In vitro and In vivo.
Authors: Ren W, Korchin B, Zhu QS, Wei C, Dicker A, Heymach J, Lazar A, Pollock RE, Lev D
Clin. Cancer Res., 2008-05-01;14(9):2785-2795.
Species: Human
Sample Types: Whole Cells
Applications: Bioassay -
Lineage selection of functional and cryopreservable human embryonic stem cell-derived neurons.
Authors: Ladewig J, Koch P, Endl E, Meiners B, Opitz T, Couillard-Despres S, Aigner L, Brustle O
Stem Cells, 2008-04-17;26(7):1705-12.
Species: Human
Sample Types: Whole Cells
Applications: Bioassay -
Human ES cell-derived neural rosettes reveal a functionally distinct early neural stem cell stage.
Authors: Elkabetz Y, Panagiotakos G, Al Shamy G, Socci ND, Tabar V, Studer L
Genes Dev., 2008-01-15;22(2):152-65.
Species: Human
Sample Types: Whole Cells
Applications: Bioassay -
Tissue engineering for full-thickness burns: a dermal substitute from bench to bedside.
Authors: Kellouche S, Martin C, Korb G, Rezzonico R, Bouard D, Benbunan M, Dubertret L, Soler C, Legrand C, Dosquet C
Biochem. Biophys. Res. Commun., 2007-09-04;363(3):472-8.
Species: Human
Sample Types: Whole Cells
Applications: Bioassay -
Growth factor induction of Cripto-1 shedding by glycosylphosphatidylinositol-phospholipase D and enhancement of endothelial cell migration.
Authors: Watanabe K, Bianco C, Strizzi L, Hamada S, Mancino M, Bailly V, Mo W, Wen D, Miatkowski K, Gonzales M, Sanicola M, Seno M, Salomon DS
J. Biol. Chem., 2007-08-24;282(43):31643-55.
Species: Human
Sample Types: Whole Cells
Applications: Bioassay -
Long-term maintenance of brain tumor stem cell properties under at non-adherent and adherent culture conditions.
Authors: Inagaki A, Soeda A, Oka N, Kitajima H, Nakagawa J, Motohashi T, Kunisada T, Iwama T
Biochem. Biophys. Res. Commun., 2007-07-18;361(3):586-92.
Species: Human
Sample Types: Whole Cells
Applications: Bioassay -
EGF-like ligands stimulate osteoclastogenesis by regulating expression of osteoclast regulatory factors by osteoblasts: implications for osteolytic bone metastases.
Authors: Zhu J, Jia X, Xiao G, Kang Y, Partridge NC, Qin L
J. Biol. Chem., 2007-07-17;282(37):26656-64.
Species: Mouse
Sample Types: Whole Cells
Applications: Bioassay -
Atrial-radiofrequency catheter ablation mediated targeting of mesenchymal stromal cells.
Authors: Schweizer PA, Krause U, Becker R, Seckinger A, Bauer A, Hardt C, Eckstein V, Ho AD, Koenen M, Katus HA, Zehelein J
Stem Cells, 2007-06-01;25(6):1546-51.
Species: Human
Sample Types: Whole Cells
Applications: Bioassay -
Epidermal growth factor-like growth factors prevent apoptosis of alcohol-exposed human placental cytotrophoblast cells.
Authors: Wolff GS, Chiang PJ, Smith SM, Romero R, Armant DR
Biol. Reprod., 2007-03-28;77(1):53-60.
Species: Human
Sample Types: Whole Cells
Applications: Bioassay -
The effects of IL-20 subfamily cytokines on reconstituted human epidermis suggest potential roles in cutaneous innate defense and pathogenic adaptive immunity in psoriasis.
Authors: Sa SM, Valdez PA, Wu J
J. Immunol., 2007-02-15;178(4):2229-40.
Species: Human
Sample Types: Whole Cells
Applications: Bioassay -
Platelet-derived LIGHT induces inflammatory responses in endothelial cells and monocytes.
Authors: Otterdal K, Smith C, Oie E, Pedersen TM, Yndestad A, Stang E, Endresen K, Solum NO, Aukrust P, Damas JK
Blood, 2006-08-01;108(3):928-35.
Species: Human
Sample Types: Whole Cells
Applications: Bioassay -
Epidermal growth factor receptor expression regulates proliferation in the postnatal rat retina.
Authors: Close JL, Liu J, Gumuscu B, Reh TA
Glia, 2006-08-01;54(2):94-104.
Species: Rat
Sample Types: In Vivo
Applications: In Vivo -
Intracerebral infusion of glial cell line-derived neurotrophic factor promotes striatal neurogenesis after stroke in adult rats.
Authors: Kobayashi T, Ahlenius H, Thored P, Kobayashi R, Kokaia Z, Lindvall O
Stroke, 2006-07-27;37(9):2361-7.
Species: Rat
Sample Types: Whole Cells
Applications: Bioassay -
Targeting ADAM-mediated ligand cleavage to inhibit HER3 and EGFR pathways in non-small cell lung cancer.
Authors: Zhou BB, Peyton M, He B, Liu C, Girard L, Caudler E, Lo Y, Baribaud F, Mikami I, Reguart N, Yang G, Li Y, Yao W, Vaddi K, Gazdar AF, Friedman SM, Jablons DM, Newton RC, Fridman JS, Minna JD, Scherle PA
Cancer Cell, 2006-07-01;10(1):39-50.
Species: Human
Sample Types: Whole Cells
Applications: Bioassay -
The injury response of oligodendrocyte precursor cells is induced by platelets, macrophages and inflammation-associated cytokines.
Authors: Rhodes KE, Raivich G, Fawcett JW
Neuroscience, 2006-04-21;140(1):87-100.
Species: Rat
Sample Types: In Vivo
Applications: In Vivo -
Human trophoblast survival at low oxygen concentrations requires metalloproteinase-mediated shedding of heparin-binding EGF-like growth factor.
Authors: Armant DR, Kilburn BA, Petkova A, Edwin SS, Duniec-Dmuchowski ZM, Edwards HJ, Romero R, Leach RE
Development, 2006-01-11;133(4):751-9.
Species: Human
Sample Types: Whole Cells
Applications: Bioassay -
Retinal neurons regulate proliferation of postnatal progenitors and Muller glia in the rat retina via TGF beta signaling.
Authors: Close JL, Gumuscu B, Reh TA
Development, 2005-07-01;132(13):3015-26.
Species: Rat
Sample Types: In Vivo
Applications: In Vivo -
Effect of cytokine treatment on the neurogenesis process in the brain of soman-poisoned mice.
Authors: Collombet JM, Four E, Burckhart MF, Masqueliez C, Bernabe D, Baubichon D, Herodin F, Lallement G
Toxicology, 2005-05-15;210(1):9-23.
Species: Mouse
Sample Types: In Vivo
Applications: In Vivo -
Different aspects of gliosis in retinal Muller glia can be induced by CNTF, insulin, and FGF2 in the absence of damage.
Authors: Fischer AJ, Omar G, Eubanks J, McGuire CR, Dierks BD, Reh TA
Mol. Vis., 2004-12-22;10(0):973-86.
Species: Chicken
Sample Types: In Vivo
Applications: In Vivo -
Human bronchial epithelial cells express and secrete MMP-12.
Authors: Lavigne MC, Thakker P, Gunn J, Miyashiro JS, Wasserman AM, Wei SQ, Pelker JW
Biochem. Biophys. Res. Commun., 2004-11-12;324(2):534-46.
Species: Human
Sample Types: Whole Cells
Applications: Bioassay -
High-level expression of functional chemokine receptor CXCR4 on human neural precursor cells.
Authors: Ni HT, Hu S, Sheng WS, Olson JM, Cheeran MC, Chan AS, Lokensgard JR, Peterson PK
Brain Res. Dev. Brain Res., 2004-09-17;152(2):159-69.
Species: Human
Sample Types: Whole Cells
Applications: Bioassay -
Wa5 is a novel ENU-induced antimorphic allele of the epidermal growth factor receptor.
Authors: Lee D, Cross SH, Strunk KE, Morgan JE, Bailey CL, Jackson IJ, Threadgill DW
Mamm. Genome, 2004-07-01;15(7):525-36.
Species: Mouse
Sample Types: In Vivo
Applications: In Vivo -
Rapid chemokine secretion from endothelial cells originates from 2 distinct compartments.
Authors: Oynebraten I, Bakke O, Brandtzaeg P, Johansen FE, Haraldsen G
Blood, 2004-03-25;104(2):314-20.
Species: Human
Sample Types: Whole Cells
Applications: Bioassay -
Heparin-binding EGF-like growth factor regulates human extravillous cytotrophoblast development during conversion to the invasive phenotype.
Authors: Leach RE, Kilburn B, Wang J, Liu Z, Romero R, Armant DR
Dev. Biol., 2004-02-15;266(2):223-37.
Species: Human
Sample Types: Whole Cells
Applications: Bioassay -
Interferon-gamma inhibits transforming growth factor-beta production in human airway epithelial cells by targeting Smads.
Authors: Wen FQ, Liu X, Kobayashi T, Abe S, Fang Q, Kohyama T, Ertl R, Terasaki Y, Manouilova L, Rennard SI
Am. J. Respir. Cell Mol. Biol., 2004-01-12;30(6):816-22.
Species: Human
Sample Types: Whole Cells
Applications: Bioassay -
Wnt regulation of progenitor maturation in the cortex depends on Shh or fibroblast growth factor 2.
Authors: Viti J, Gulacsi A, Lillien L
J. Neurosci., 2003-07-02;23(13):5919-27.
Species: Mouse
Sample Types: Whole Tissue
Applications: Bioassay -
Dual roles of IL-4 in lung injury and fibrosis.
Authors: Huaux F, Liu T, McGarry B, Ullenbruch M, Phan SH
Proteins containing BRCA1 C-terminal (BRCT) domains play crucial roles in response to and repair of DNA damage. Epithelial cell transforming factor ECT2 is a member of the BRCT protein family, but it, 2003-02-15;170(4):2083-92.
Species: Human
Sample Types: Whole Cells
Applications: Bioassay -
A profibrotic function of IL-12p40 in experimental pulmonary fibrosis.
Authors: Huaux F, 107322, Arras M, Tomasi D, Barbarin V, Delos M, Coutelier JP, Vink A, Phan SH, Renauld JC, Lison D
Interferon-gamma modulates articular chondrocyte and osteoblast metabolism through protein kinase R-independent and dependent mechanisms, 2002-09-01;169(5):2653-61.
Species: Mouse
Sample Types: Whole Cells
Applications: Bioassay -
RGD-peptides for tissue engineering of articular cartilage.
Authors: Jeschke B, Meyer J, Jonczyk A, Kessler H, Adamietz P, Meenen NM, Kantlehner M, Goepfert C, Nies B
Biomaterials, 2002-08-01;23(16):3455-63.
Species: Porcine
Sample Types: Whole Cells
Applications: Bioassay -
Metabolic replacement of kidney function in uremic animals with a bioartificial kidney containing human cells.
Authors: Humes HD, Fissell WH, Weitzel WF, Buffington DA, Westover AJ, MacKay SM, Gutierrez JM
Am. J. Kidney Dis., 2002-05-01;39(5):1078-87.
Species: Human, Porcine
Sample Types: Whole Cells
Applications: Bioassay -
Apical and basolateral EGF receptors regulate gastric mucosal paracellular permeability.
Authors: Chen MC, Goliger J, Bunnett N, Soll AH
Am. J. Physiol. Gastrointest. Liver Physiol., 2001-02-01;280(2):G264-72.
Species: Canine
Sample Types: Whole Cells
Applications: Bioassay -
Regulation of vascular endothelial growth factor expression in human colon cancer by insulin-like growth factor-I.
Authors: Akagi Y, Liu W, Zebrowski B, Xie K, Ellis LM
Cancer Res., 1998-09-01;58(17):4008-14.
Species: Human
Sample Types: Whole Cells
Applications: Bioassay
FAQs
-
The product literature for recombinant human EGF indicates to reconstitute at 500 μg/mL. Can I reconstitute to a lower concentration?
For recombinant human EGF, stability and activity testing has been performed after reconstitution to 500 μg/mL. We cannot guarantee performance of the protein after reconstitution to a lower concentration. We would recommend reconstituting and storing at 500 μg/mL in single-use aliquots, diluting to the working concentration just prior to use.
Reviews for Recombinant Human EGF Protein, CF
Average Rating: 4.8 (Based on 31 Reviews)
Have you used Recombinant Human EGF Protein, CF?
Submit a review and receive an Amazon gift card.
$25/€18/£15/$25CAN/¥75 Yuan/¥2500 Yen for a review with an image
$10/€7/£6/$10 CAD/¥70 Yuan/¥1110 Yen for a review without an image
Filter by:
Reason for Rating: We've been using the Recombinant Human EGF Protein, CF for several months in our organoid cultures (colorectal cancer and epithelial models), and it consistently delivers excellent results.
Reason for Rating: EGF was used to check if it can promote organoid formation.
Reason for Rating: this product is very repeatable, we used it in our cell culture medium
Reason for Rating: Media component for cell maintenance and protein production
Reason for Rating: Performed well on differentiating iPS cells into neurons
Reason for Rating: 10 ng/ml to induce migration of breast cancer cells.
Reason for Rating: Tested with the same application on different species and the result is always excellent